De vraag van veel tandartsen naar een kleiner kleurenpalet wordt steeds meer vervuld. Tokoyuma Dental ging een stap verder met de invoering van OMNICHROMA: een composiet dat zich zelfstandig aanpast aan de kleuren van de omringende elementen. Aan de hand van drie cases wordt het product in de alledaagse praktijk uitgeprobeerd.
Directe esthetische anterieure restauraties met composiet zijn de afgelopen decennia de standaard geworden. 1, 2, 10, 16, 17 Rekening houdend met een paar essentiële voorbereidingsrichtlijnen zoals afronden van de marges 15 en bondingstechniek 5, worden esthetische, functionele en duurzame minimaal invasieve restauraties verkregen die vaak de vergelijking met veneerrestauraties kunnen doorstaan. 3, 6, 8
Het assortiment composietmaterialen is vrij onoverzichtelijk: systemen vervangen elkaar snel of veranderen eenvoudig hun naam. Eén trend is op dit moment echter duidelijk zichtbaar: minder kleuren. Daardoor wordt het gemakkelijker om een voorraad aan te leggen. Dit resulteert in kostenbesparingen door het verminderen van de verspilling van vervallen materialen vanwege een gebrek aan indicatie voor gebruik. Voorbeelden als Enamel Plus HRi (Micerium), Amaris (Voco), Ceram.X (Dentsply) of momenteel Filtek Universal (3M) tonen aan dat de tandheelkundige industrie wil voldoen aan de wens van de gebruiker naar een beperkt, maar nog steeds voldoende bereik van kleuren. Talloze gepubliceerde case studies bewijzen dat dit werkt. 4, 7, 9, 11 - 14
Maar in plaats van een beperkt kleurenpallet slechts één kleur? Tokuyama Dental ging deze uitdaging aan het begin van het jaar aan met de marktintroductie van een innovatief esthetisch composiet dat, na een geschil over handelsmerken op de International Dental Show (IDS) 2019, de interim-naam ‘Color through Light‘ kreeg en nu weer beschikbaar is onder de originele naam OMNICHROMA. Het pallet bestaat uit slechts één draaispuit (of capsules). Om verkleurde structuren of een ongewenste translucentie van de mondholte te maskeren, wordt een extra ‘blocker’ aangeboden. Dat is het: meer reductie is echt niet meer mogelijk. In de eerste eigen experimenten in caviteiten in de plastic tanden van de Vita-kleurenring, verdwijnt het materiaal indrukwekkend van B1 tot C4. Dit moedigde ons aan om het materiaal in vivo uit te proberen.
Case 1: Diasteem dichten bij een 37-jarige vrouwelijke patiënt
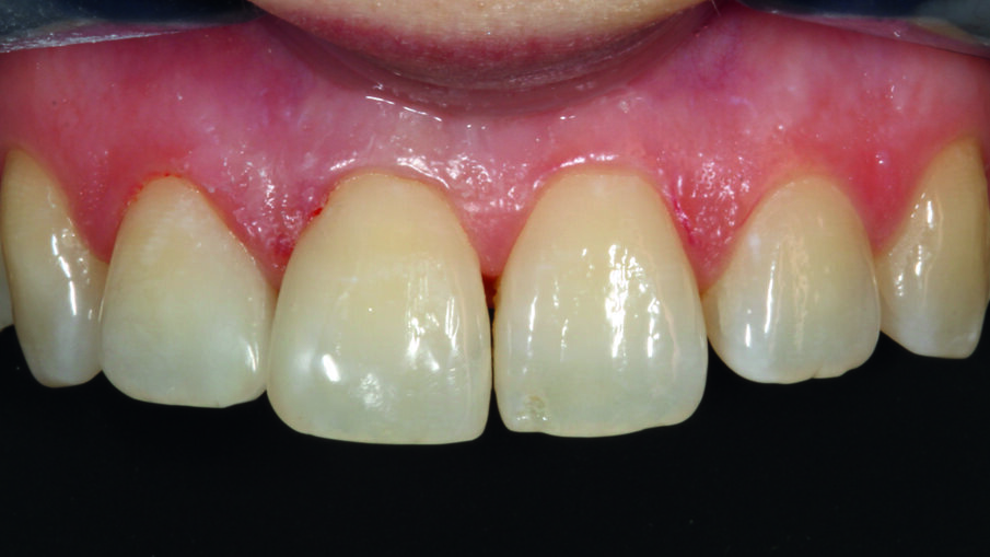
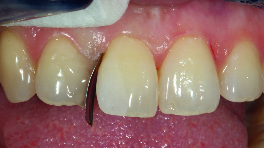
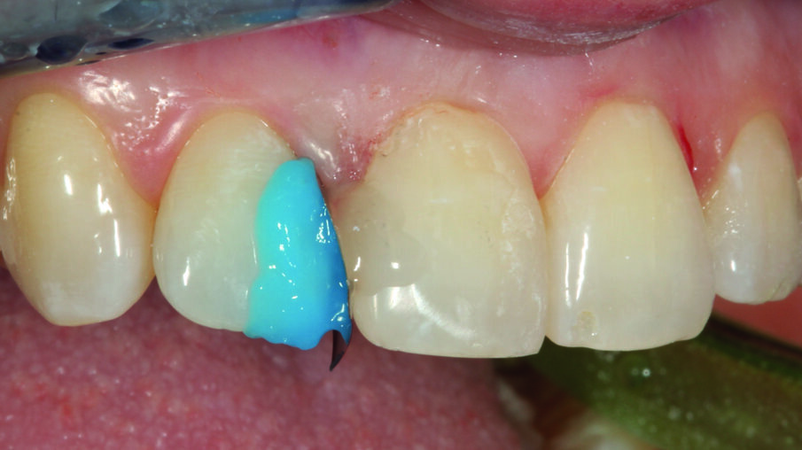
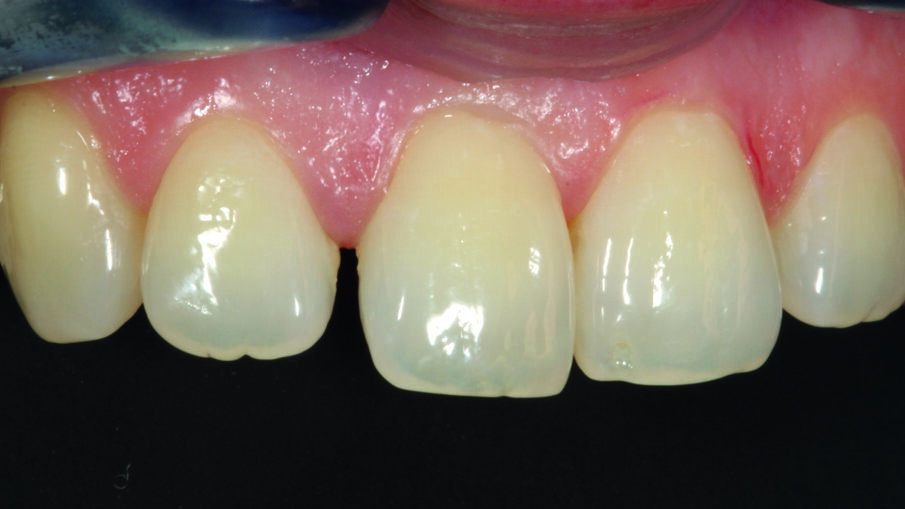
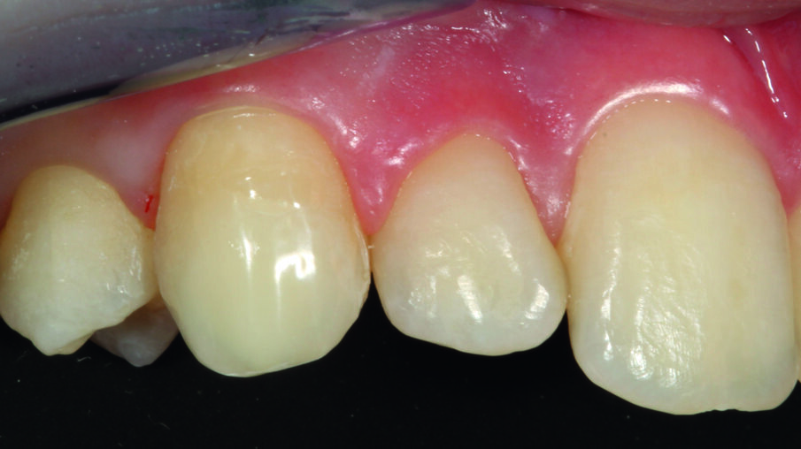
De 37-jarige patiënt had de wens om de resterende kloof tussen elementen 12 en 11 te dichten na voltooiing van de orthodontische behandeling (afbeelding 1 en 2). Na het opruwen van het kleefoppervlak met een Soflex-schijf (3M), werd het in stappen uitgevoerd met behulp van een verticaal ingebrachte gedeeltelijke matrix bevestigd aan de aangrenzende tand met Clip (Voco) (afbeelding 3) 6, 7, 9. Het krijtachtige etspatroon op element 11 toont de situatie na het conditioneren van fosforzuur. Na de proximale opbouw van element 11 met OMNICHROMA (Tokuyama Dental) werd element 12 afgesloten voor zijn mesiale opbouw (afbeelding 4). Afbeelding 5 toont de fosforzuurconditionering van element 12. Afbeeldingen 6 en 7 tonen de voltooide afdichting gemaakt van OMNICHROMA. De ’blocker‘ werd hier niet gebruikt. Het resultaat toont een overtuigend resultaat voor de eenvoud van het materiaal, dat zeker kan concurreren met concepten die werken met verschillende lagen.
Case 2: Vervorming van glazuurvorming op element 13 bij een 18-jarige patiënt
Afbeelding 8 illustreert de beginsituatie van een esthetische glazuurvormingsstoornis op element 13 na eerder melktandtrauma in de kindertijd bij een 18-jarige jongen. De sterk bruin verkleurde gebieden werden voorzichtig verwijderd met een bolvormige Rotring-diamant. Delen van de wit-ondoorzichtige verkleuring werden achtergelaten als een esthetisch compromis in overleg met de patiënt om de kern van de tand te beschermen (afbeelding 9). Een dunne laag van de opake ’blocker‘ werd aangebracht om de diepte van het defect om de resterende ondoorzichtige gebieden te maskeren. Afbeelding 10 toont de restauratie met OMNICHROMA. Ondanks het verlaten van de wit-opake gebieden, was het materiaal in staat het glazuurdefect goed te maskeren en de patiënt de moed te geven om te lachen. Afbeelding 11 toont dezelfde situatie tijdens een vervolgbezoek na één jaar. De motivatie voor mondhygiëne is helaas aanzienlijk afgenomen: het beeld laat echter zien dat er minder plaque-gebieden op de composietrestauratie zijn dan op de aangrenzende tandstructuren.
Case 3: Incisale chipping op element 13 bij een 17-jarige patiënt
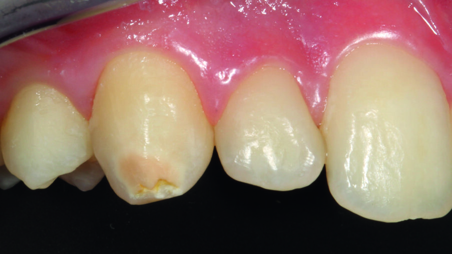
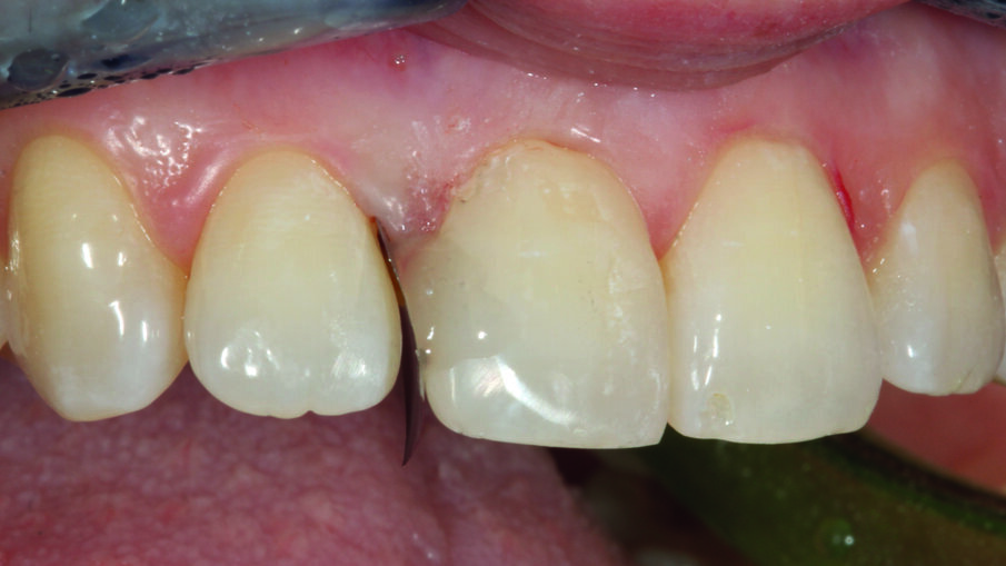
De 17-jarige patiënt kwam met zijn moeder en had de wens om element 12 distaal incisaal te construeren en het incisale afgebroken stukje van bij element 13 te herstellen. Er was geen anamnestische aanwijzing van een mogelijke oorzaak voor incisale chipping op element 13. Beide tanden waren ook gerestaureerd met het nieuwe OMNICHROMA-composiet in één beschikbare kleur. Ook hier werd de ’blocker‘ niet gebruikt. Afbeelding 13 illustreert de restauratie met een zeer goede kleuradaptatie van de randopbouw en het incisale defect.
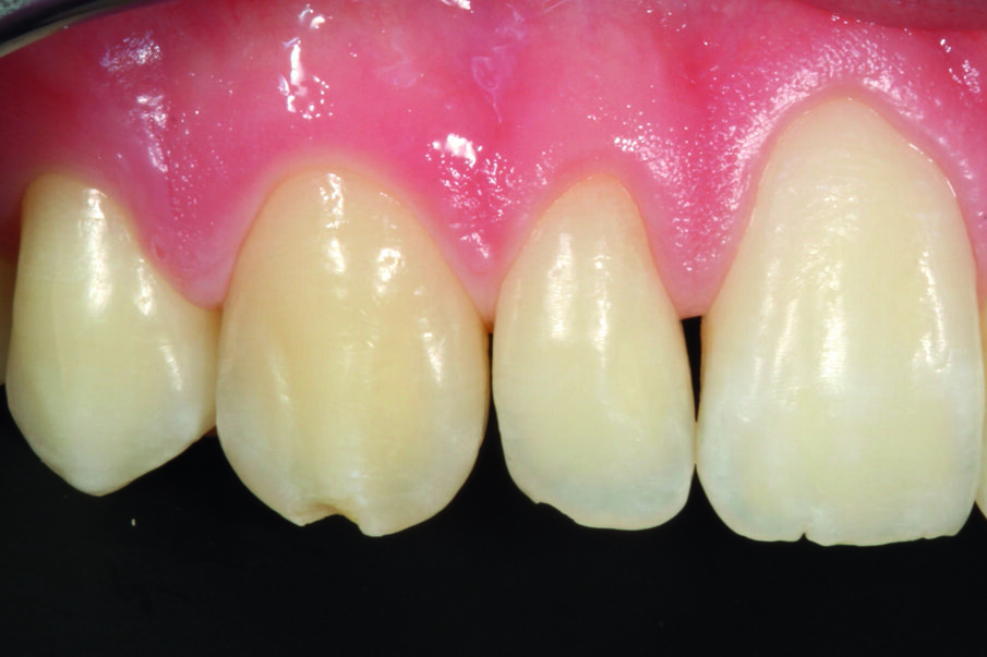
Afbeelding 1. Beginsituatie: opening tussen de middelste en laterale rechter snijtand.
Afbeelding 2. Beginsituatie: opening tussen middelste en laterale rechter snijtand. Van rechts-zijdelings gezien.
Afbeelding 3. Bekleding met behulp van een verticaal ingevoegde deelmatrix, bevestigd aan de tand. Het krijtachtige etspatroon op element 11 toont de situatie na het conditioneren met fosforzuur.
Afbeelding 4. Na proximale opbouw van element 11 met OMNICHROMA: bekisting van element 12 voor zijn mesiale opbouw.
Afbeelding 5. Fosforzuurconditionering van element 12.
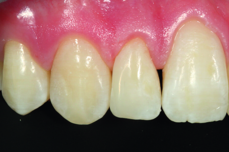
Afbeelding 6. Diasteemsluiting met OMNICHROMA gezien vanuit rechts-lateraal.
Afbeelding 7. Diasteemsluiting met OMNICHROMA en face.
Afbeelding 8. Beginsituatie: esthetisch storende glazuurvorming op element 13 na melktandtrauma in de kindertijd.
Afbeelding 9. Verwijdering van de beschadigde glazuurgebieden zonder het oppervlak te beschadigen.
Afbeelding 10. Restauratie met OMNICHROMA: het materiaal was in staat om de resterende ondoorzichtige gebieden goed te bedekken.
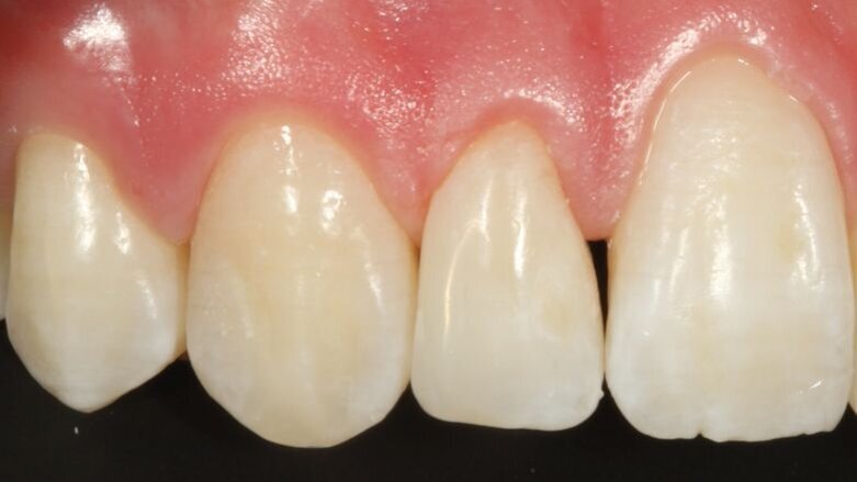
Afbeelding 11. Opname tijdens een controle na één jaar. Er zijn minder plaque-gebieden op de composietrestauratie dan op de aangrenzende tandstructuren.
Afbeelding 12. Beginsituatie: incisaal chippen van element 13.
Afbeelding 13. Restauratie met OMNICHROMA: zeer goede kleuraanpassing van de randopbouw.
Conclusie
De eenvoud van het materiaal is indrukwekkend en overtuigend. Het reikt zeker nog te ver om te beweren dat alle directe voorste indicaties met deze ene kleur kunnen worden bedekt. Hiervoor moeten aanzienlijk meer gevallen worden geëvalueerd - vooral met tinten die niet elke dag moeten worden behandeld. Wanneer het materiaal is aangepast aan de tand, is men in eerste instantie bang om het uit te harden omdat het wit-ondoorzichtig lijkt. In gedachte is nog eens 15 minuten behandelingstijd gepland voor het verwijderen van de restauratie die niet overeenkomt met de kleur en voor de nieuwe restauratie met een ’juist‘ anterieur esthetisch composiet. Het ’aha-effect‘ treedt dan op na polymerisatie: het vulmateriaal OMNICHROMA is plotseling niet meer zichtbaar op of in de tand! Een spannend verhaal dat de verbeelding inspireert voor veel behandelingsindicaties.
De aanschaf, aanvankelijk als aanvulling op het momenteel gebruikte laagsysteem bestaande uit verschillende tinten, is verrassend goedkoop. Dit komt door het lage materiaalgebruik en de aanschaf van slechts twee verpakkingen (OMNICHROMA en OMNICHROMA Blocker) die nodig zijn voor een nieuw composietsysteem. Het risico van een slechte investering wordt daarmee aanzienlijk verminderd.
Mijn advies zou daarom zijn om het nieuwe materiaal naast uw bestaande, bewezen meerkleurensysteem uit te proberen. Naar mijn mening zijn vooral cervicale vullingen een ideaal testgebied. Het lef voor verdere indicaties en grotere restauraties komt dan waarschijnlijk automatisch.
Over de auteur
Prof. dr. Claus-Peter Ernst is mede-eigenaar van Praxisklinik medi+ in Mainz, Duitsland. Daarnaast is hij hoogleraar aan de Johannes Gutenberg-Universität Mainz, met als aandachtspunten onder meer adhesieve en esthetische tandheelkunde, composiet, lichtpolymerisatie, profylaxe en hulpmiddelen op het gebied van mondhygiëne.
product in de alledaagse praktijk uitgeprobeerd.
Met het nieuwe duaalhardende Futurabond® U in de SingleDose brengt VOCO het enige echt universele adhesief in een wegwerp-applicatievorm op de markt. ...
Bent u een tandarts of assistent die intraorale en OPG/Ceph röntgenopnamen maakt of daartoe opdracht geeft, dan bent u verplicht om elke 5 jaar nascholing ...
GENT - In 2011 slaagde 21,1% van de deelnemers aan het verplichte toelatingsexamen voor de opleiding van arts en tandarts. Dat is vergelijkbaar met ...
Steeds meer tandartsen zoeken naar mogelijkheden om op een meer bedrijfskundige en ondernemende manier naar hun praktijk te kijken. Kritische klanten, sober...
De tandarts en mondhygiënist werken steeds vaker samen vanuit één praktijk. Dat blijkt uit onderzoek van tandarts.nl onder 5.100 tandartspraktijken in ...
Op 25 mei 2018 ging de Algemene Verordening Gegevensbescherming (AVG) van kracht. De invoering van deze wet, die de bescherming van persoonsgegevens regelt,...
15 procent van de kinderen is in 2024 niet naar de tandarts geweest voor een periodieke controle. Ouders lijken vooral de kosten te vrezen, hoewel mondzorg ...
In Noord-Holland Noord zitten vier locaties van TOED, ofwel ‘Tandartsen Onder Eén Dak’. Een regionale samenwerking tussen meerdere tandartspraktijken, ...
Hagay Shemesh is aangesteld als hoogleraar Endodontologie bij ACTA. Hiermee krijgt het vakgebied Endodontologie voor het eerst een eigen volwaardige ...
Studenten Tandheelkunde Anne Landwer Johan en Rosemarijn van de Woestijne zijn de winnaars geworden van de Backer Dirks Preventieprijs 2026. Ze kregen de ...
Een tandartspraktijk met bioscoop, speelhal en zelfs een heuse mascotte. Het klinkt als een bijzondere combinatie, maar bij het Amerikaanse Rodeo Dental ...
To post a reply please login or register