Search Dental Tribune

De Invisalign Smile Architect-software maakt het combineren van orthodontische en restauratieve behandelplannen mogelijk

(Alle afbeeldingen: Pietro Venezia)

ma. 9 oktober 2023

Bewaar

Moderne behandelplannen omvatten meestal een multidisciplinaire aanpak. Digitalisering vereenvoudigt de communicatie tussen professionals (tandprotheticus, parodontoloog, orthodontist) en tussen clinici en tandtechnici. In de software van Invisalign Smile Architect worden orthodontie en restauratieve tandheelkunde gebundeld binnen één krachtig platform. Professionals kunnen de restauratieve doelen visualiseren in het gelaat van de patiënt. Wijzigingen kunnen aangebracht worden in het orthodontische behandeplan om een optimaal klinisch resultaat te bereiken.

Dit gloednieuwe hulpmiddel opent de weg naar wat de moderne tandheelkunde nodig heeft: een voorspelbare, minimaal invasieve benadering waarbij elementen kunnen worden gepositioneerd in overeenstemming met het restauratieve ontwerp. Vanuit dit perspectief spreken we steeds vaker over P.G.O. (Prothetisch Geleide Orthodontie).

Klinische casus

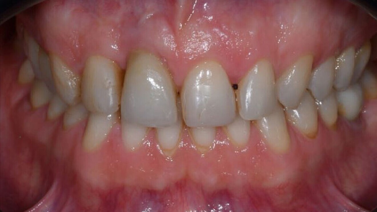
De 39-jarige patiënt kwam bij ons met het verzoek om zijn glimlach te verbeteren. De eerste esthetische analyse bracht het volgende aan het licht:

  • disproportionele spacing;
  • aanwezigheid van diasteem;
  • verkeerde inclinatie van de tandassen;
  • te veel ruimte tussen de buccale vlakken van de elementen in de bovenkaak en de mondhoeken (afb. 1, 2).
Afb. 1

Afb. 1

Afb. 2

Afb. 2

Met de iTero- scanner werd een intraorale scan gemaakt en via de Invisalign Practice App konden zowel intra- als extra-orale beelden worden verzameld.

Met het Invisalign platform kunnen in enkele minuten foto’s van het gezicht van de patiënt worden gemaakt die vervolgens worden gematcht met de intraorale scan. Het resultaat van de tanduitlijning in het gelaat van de patiënt kan vervolgens zichtbaar worden gemaakt met de Invisalign Outcome Simulator Pro-software.

Daarna worden de foto’s en scans geüpload op het Invisalign-platform. Ook wordt aangegeven welke elementen bij de restauratieve fase worden betrokken.

De behandelaar krijgt een behandelplan dat volledig aanpasbaar is, zowel op het niveau van de uitlijning van de tanden als op restauratief niveau – allemaal met behulp van de Invisalign Smile Architect-software. Daarna kan worden gewerkt aan de vorm van de restauraties (afb. 3) en de volumes en tandvleesniveaus (afb. 4). Ook is het mogelijk om de gezichtsparameters (middellijn, verloop van de incisale rand en breedte van de neus) aan te passen (afb. 5).

Tevens is vast te stellen welke resultaten kunnen worden behaald met de geïntegreerde ortho-restauratieve behandeling (afb. 6).

Afb. 6a

Afb. 6a

Afb. 6b

Afb. 6b

Met de software kan ook worden bepaald welke tandmassa moet worden verwijderd – met of zonder de restauratieve behandeling, waarbij de minimaal invasieve benadering vanuit een ideale tanduitlijning wordt gevisualiseerd (afb. 7).

Afb. 7

Afb. 7

Wanneer de behandelaar de uitvoering van alle vereiste bewegingen heeft beoordeeld, kan hij de aligners aanvragen. Nadat de orthodontische behandeling is voltooid, kan men verdergaan met de restauratieve behandeling, altijd via een volledige digitale workflow (afb. 8, 9).

Afb. 8

Afb. 8

Afb. 9

Afb. 9

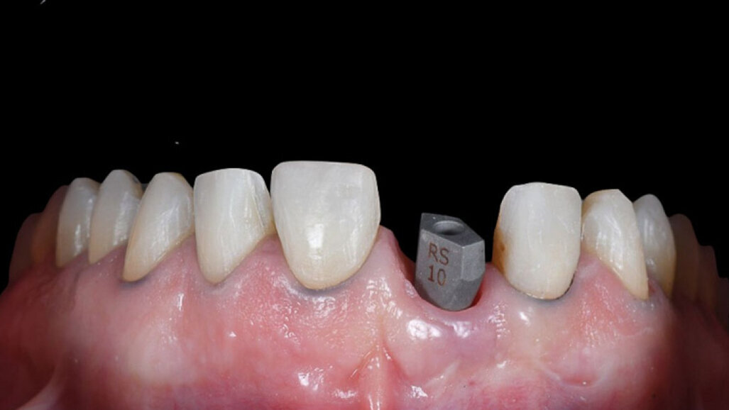
De synergie tussen de digitale workflows en de Invisalign Smile Architect-software maakt een optimaal totaalresultaat mogelijk op een zeer voorspelbare manier (afb. 10).

Afb. 10

Afb. 10

To post a reply please login or register
advertisement
advertisement