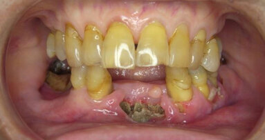
LEIPZIG, DUITSLAND – Plattelandsgemeenschappen in de VS worden geconfronteerd met een groeiende mondgezondheidscrisis doordat de toegang tot gefluorideerd water en mondzorg afneemt. Deze tweeledige uitdaging dreigt de decennialange vooruitgang in het voorkomen van tandcariës teniet te doen, vooral bij kinderen en gezinnen met een laag inkomen.
Waterfluoridering wordt sinds het midden van de twintigste eeuw toegepast en heeft bijgedragen aan het terugdringen van cariës met ongeveer 25% bij zowel kinderen als volwassenen. Bezorgdheid over mogelijke gezondheidsrisico's heeft er echter toe geleid dat fluoridering in sommige regio’s is stopgezet. Experts op het gebied van de volksgezondheid waarschuwen dat dergelijke beslissingen een onevenredig groot effect kunnen hebben op bevolkingsgroepen die afhankelijk zijn van gefluorideerd water als primair middel om cariës te voorkomen.
Het probleem wordt verergerd door het tekort aan tandartsen op het platteland. In veel regio’s zijn er niet voldoende tandartsen of zijn er geen tandartsen die het Amerikaanse Medicaid accepteren. Deze schaarste dwingt mensen grote afstanden af te leggen voor mondzorg of er helemaal van af te zien, wat leidt tot onbehandelde gebitsproblemen en grotere gezondheidsverschillen.
Het afbrokkelen van de Medicaid-steun zal het probleem verder verergeren en zal ernstige gevolgen hebben voor de mondzorg. Voorgestelde federale bezuinigingen dreigen de financiering van mondzorg te verminderen, waardoor het voor gezinnen met een laag inkomen nog moeilijker wordt om toegang te krijgen tot noodzakelijke zorg. Zonder voldoende verzekeringsdekking worden preventieve behandelingen en routinecontroles voor velen financieel onbereikbaar.
Inspanningen om deze uitdagingen aan te gaan, zijn onder andere behandeling met silverdiaminefluoride om cariës te stoppen, een bijzonder nuttig alternatief voor patiënten die niet gemakkelijk toegang hebben tot de reguliere mondzorg. Daarnaast onderzoeken sommige staten de inzet van tandheelkundige therapeuten om basiszorg te verlenen in achterstandsgebieden, met als doel de kloof in beschikbaarheid van tandartsen te overbruggen.
Ondanks deze initiatieven vormt de combinatie van verminderde waterfluoridering, een beperkt aantal tandheelkundige medewerkers en mogelijke bezuinigingen op Medicaid een aanzienlijke bedreiging voor de mondgezondheid op het Amerikaanse platteland. Experts wijzen op de noodzaak van uitgebreide strategieën om ervoor te zorgen dat alle regio’s toegang hebben tot essentiële mondzorg en preventie.
BUFFALO, NY, VS – Onderzoek heeft aangetoond dat het roken van cannabis schadelijk kan zijn voor de algehele gezondheid en nadelige effecten kan ...
FALUN, ZWEDEN – Laat opblijven of opstaan bij het krieken van de dag – op het eerste gezicht lijkt er geen verband te bestaan tussen individuele...
ALBANY, VS – Een New Yorkse tandarts heeft een screeningsinstrument voor cariës ontwikkeld waarmee tandartsen het aantal cariës ...
BOSTON, VS – Onderzoekers hebben onlangs het verband onderzocht tussen licht-gepolymeriseerde, op hars gebaseerde en fluoride-afgevende ...
LONDEN, VK – Tijdens de menopauze ervaren vrouwen hormonale veranderingen, die de algemeen bekende cognitieve, fysieke en psychologische symptomen ...
Het tandartsentekort is een probleem dat in meer delen van Nederland speelt, maar vooral in Zuid-West Nederland erg nijpend is. Uit cijfers van de KNMT ...
KYOTO, JAPAN – Bisfosfonaten, medicijnen die vaak worden gebruikt om botaandoeningen als osteoporose te behandelen, leiden mogelijk tot een verhoogd ...
BUFFALO, VS – Parodontitis is al met vele aandoeningen in verband gebracht als risicofactor, zoals diabetes en hart- en vaatziekten. Aan dat rijtje ...
PROVIDENCE, VS – Er is waarschijnlijk een verband tussen de orale bacteriën die parodontitis veroorzaken en alvleesklierkanker, ook wel ...
SZCZECIN, POLEN – 26% van de wedstrijdzwemmers en 10% van de recreatieve zwemmers heeft last van tanderosie. Dit blijkt uit onderzoek van de ...
Live webinar
do. 14 mei 2026
6:00 (CET) Amsterdam
Live webinar
do. 14 mei 2026
8:00 (CET) Amsterdam
Prof. Hani Ounsi DDS PhD FICD
Live webinar
di. 19 mei 2026
5:00 (CET) Amsterdam
Live webinar
di. 19 mei 2026
7:00 (CET) Amsterdam
Prof. Dr. med. dent. Ivo Krejci
Live webinar
wo. 20 mei 2026
1:00 (CET) Amsterdam
Dr. Graham Carmichael BDSc (Hons), DClinDent (Pros), FRACDS, Dr. Robert Gottlander DDS
Live webinar
wo. 20 mei 2026
3:00 (CET) Amsterdam
Live webinar
wo. 20 mei 2026
7:00 (CET) Amsterdam
Prof. Dr. med. dent. Tim Joda PhD, MSc, eMBA
To post a reply please login or register