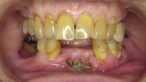
KYOTO, JAPAN – Bisfosfonaten, medicijnen die vaak worden gebruikt om botaandoeningen als osteoporose te behandelen, leiden mogelijk tot een verhoogd risico op een ernstige botontsteking van de kaak. Onderzoekers van de Universiteit van Kyoto ontdekten dat vooral oudere patiënten die bisfosfonaten intraveneus toegediend hadden gekregen vaker met osteonecrose van de kaak te maken kregen.
Het onderzoek werd uitgevoerd onder 3216 mannelijke en vrouwelijke patiënten van 20 jaar of ouder, van wie de meerderheid leed aan osteoporose of een vorm van kanker. Ze hadden een tandextractie ondergaan bij de afdeling Orale en Aangezichtschirurgie van het Universiteitsziekenhuis van Kyoto tussen april 2006 en juni 2009. Ongeveer 4% (126) van de mensen had een orale (99) of intraveneuze behandeling met bisfosfonaten (27) gekregen, terwijl 96% (3090) niet was behandeld met bisfosfonaten.
Onderzoekers ontdekten dat 42 maanden na de tandextractie de cumulatieve incidentie van osteonecrose van de kaak significant hoger was bij patiënten die bisfosfonaten hadden genomen. Vijf patiënten aan wie bisfosfonaten waren voorgeschreven ontwikkelden osteonecrose in de kaak, tegen slechts één patiënt in de controlegroep.
Er was een significant verschil wat betreft de leeftijd en prevalentie van kanker of osteoporose tussen de twee groepen. Het risico op osteonecrose van de kaak was een stuk hoger bij patiënten boven de 65 jaar die intraveneus bisfosfonaten toegediend hadden gekregen.
Ook bleek uit het onderzoek dat alveolair botverlies een risicofactor kan zijn voor bisfosfonaatgerelateerde osteonecrose van de kaak na tandextractie. De onderzoekers suggereren daarom dat ontsteking van het paradontale weefsel mensen vatbaar maakt voor bisfosfonaatgerelateerde osteonecrose. Een preventieve behandeling van orale bacteriën is volgens hen essentieel voor een gunstig resultaat van de tandextractie.
Bisfosfonaten worden doorgaans voorgeschreven om verder botverlies te voorkomen, pijn te verzachten en de dichtheid van botmineralen te verhogen bij patiënten met botziekten. Een onderzoek dat in 2003 werd gepubliceerd in het International Journal of Oral and Maxillofacial Surgery suggereerde als eerste dat osteonecrose een bijwerking kan zijn van een behandeling met bisfosfonaten. In de literatuur wordt de geschatte incidentie van bisfosfonaatgerelateerde osteonecrose van de kaak tussen de 8,3% en 40% geschat.
Het beschreven onderzoek is gepubliceerd in het novembernummer van het International Journal of Oral and Maxillofacial Surgery. (bron: Dental Tribune International)
TAIWAN – Diagnostische dentale röntgenfoto’s zorgen niet voor een hoger risico op kwaadaardige hersentumoren. Dat concluderen Chinese ...
LEIPZIG, DUITSLAND – Plattelandsgemeenschappen in de VS worden geconfronteerd met een groeiende mondgezondheidscrisis doordat de toegang tot ...
BUFFALO, NY, VS – Onderzoek heeft aangetoond dat het roken van cannabis schadelijk kan zijn voor de algehele gezondheid en nadelige effecten kan ...
DEN BURG – Op het strand van Texel is een zwart stuk kaak met kiezen gevonden van een prehistorisch reuzenhert. “Het lag op de bodem van een ...
NEWTON, MASSACHUSETTS, VS – Flossen kan ervoor zorgen dat de hoeveelheid per- en polyfluoralkylstoffen (PFAS) in het lichaam toeneemt. Dit is ...
AUCKLAND, NIEUW-ZEELAND – Naast de vijf bekende smaken is onze tong ook in staat koolhydraten te ‘proeven’. Dat ontdekten onderzoekers van...
BUFFALO, VS – Parodontitis is al met vele aandoeningen in verband gebracht als risicofactor, zoals diabetes en hart- en vaatziekten. Aan dat rijtje ...
PROVIDENCE, VS – Er is waarschijnlijk een verband tussen de orale bacteriën die parodontitis veroorzaken en alvleesklierkanker, ook wel ...
SZCZECIN, POLEN – 26% van de wedstrijdzwemmers en 10% van de recreatieve zwemmers heeft last van tanderosie. Dit blijkt uit onderzoek van de ...
SYDNEY, AUSTRALIË – Bij sommige vrouwen kunnen hormonale veranderingen tijdens de zwangerschap leiden tot mondgezondheidsproblemen, zoals cariës en ...
Live webinar
do. 14 mei 2026
6:00 (CET) Amsterdam
Live webinar
do. 14 mei 2026
8:00 (CET) Amsterdam
Prof. Hani Ounsi DDS PhD FICD
Live webinar
di. 19 mei 2026
5:00 (CET) Amsterdam
Live webinar
di. 19 mei 2026
7:00 (CET) Amsterdam
Prof. Dr. med. dent. Ivo Krejci
Live webinar
wo. 20 mei 2026
1:00 (CET) Amsterdam
Dr. Graham Carmichael BDSc (Hons), DClinDent (Pros), FRACDS, Dr. Robert Gottlander DDS
Live webinar
wo. 20 mei 2026
3:00 (CET) Amsterdam
Live webinar
wo. 20 mei 2026
7:00 (CET) Amsterdam
Prof. Dr. med. dent. Tim Joda PhD, MSc, eMBA
To post a reply please login or register