Causale therapie staat voor doelmatige zorg. Cariës is een gedragsziekte. De praktijk (bevestigd in onderzoek) heeft geleerd dat het behandelen van een gedragsziekte met technische middelen niet heeft geleid tot bevredigende resultaten. Zo is nog onvoldoende bekend wat er mogelijk is met het verlenen van prioriteit aan een etiologische behandeling bij alle kinderen vanaf het eerste contact. De kunst is om ouders zelfvertrouwen te geven in de verzorging van het gebit van hun kinderen. Dat is niet eenvoudig, maar wel mogelijk, zelfs bij kinderen met multicariës van ouders met een lage sociaaleconomische status.
Natuurlijk verloopt dit proces met vallen en opstaan. Het is echter een bijzondere ervaring om te zien hoe ouders in kleine stappen de regie in eigen hand nemen onder de begeleiding van een betrokken mondzorgverlener. Kinderen worden daardoor nog maar zelden blootgesteld aan de risico’s van farmacologische interventies en met name behandeling onder algehele anesthesie. Uiteraard zijn naast causale behandeling als basiszorg regelmatig maatregelen nodig als de causale zorg niet toereikend is zonder onacceptabele risico’s te nemen. Daarbij hebben behandelingen die zo weinig mogelijk schade toebrengen aan het individu de voorkeur. In de mondzorg voor kinderen hebben kindvriendelijke behandelingen als Atraumtatic Restorative Treatment (ART) en Hall-kronen de voorkeur boven traditionele restauratieve behandeling. Bij diepe cariëslaesies kan in 95% van de gevallen worden volstaan met een indirecte overkapping in plaats van een pulpotomie.
De kunst is en blijft echter om de symptomatische zorg te beperken ten gunste van de causale aanpak. Dat stelt hoge eisen aan de communicatieve vaardigheden en vele tandartsen en mondhygiënisten zullen behoefte hebben aan bij- en nascholing op dit terrein. Daarnaast is het een kwestie van langdurige training om ingesleten gewoonten te vervangen door een effectieve vorm van communicatie. Hoe meer collega’s deze weg gaan volgen, hoe groter de druk op de overheid en de zorgverzekeraars zal worden om doelmatige zorg adequaat te honoreren. Aan de hand van casuïstiek wordt getoond hoe prioritering van de etiologische behandeling de doorslag kan geven in het bevorderen van de mondgezondheid, zoals ook aan de orde kwam tijdens Voorkomen is de beste zorg, het recente congres van het Ivoren Kruis (november 2019).
(bron: Palenstein Helderman WH van, Gruythuysen RJ, Bruers JJ, Strijp AJ van, Loveren C van. Een omslag in cariësbehandeling bij kinderen: ‘Gewoon Gaaf’. Ned Tijdschr Tandheelkd 2015;122:132-8 / Richtlijn Mondzorg voor jeugdigen, KNMT, 2012)
Casus: Prioritering causale behandeling bij severe early childhood caries
Afbeelding 1: Laat de ouders bij de mondinspectie en behandelplanning op de stoel van de assistent zitten en betrek hen bij het zorgplan.
Afbeelding 2: Laat de ouders bij de mondinspectie en behandelplanning op de stoel van de assistent zitten en betrek hen bij het zorgplan.
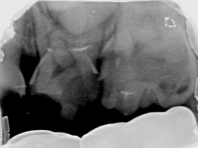
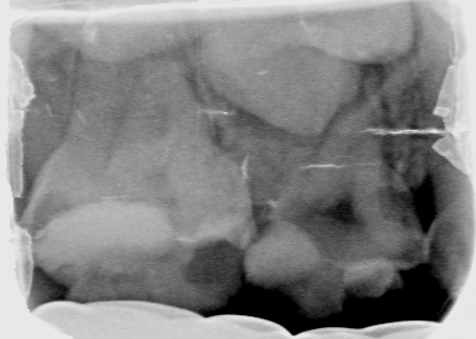
Afbeelding 3a: Röntgenfoto's op de leeftijd van 6 jaar, juli 2018.
Afbeelding 3b: Röntgenfoto's op de leeftijd van 6 jaar, juli 2018.
Afbeelding 3c: Röntgenfoto's op de leeftijd van 6 jaar, juli 2018.
Afbeelding 3d: Röntgenfoto's op de leeftijd van 6 jaar, juli 2018.
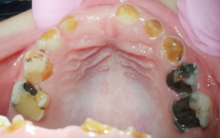
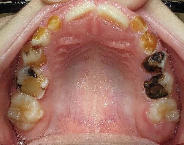
Afbeelding 4a: Kleurfoto’s op de leeftijd van 6 jaar, juli 2018. Alle cariëslaesies in de bovenkaak zijn arrested, in de 55, 64 en 65 met ondersteuning van SDF. Laesies die tijdens het aanbrengen arrested waren, zijn niet verkleurd.
Afbeelding 4b: Kleurfoto’s op de leeftijd van 6 jaar, juli 2018. Alle cariëslaesies in de bovenkaak zijn arrested, in de 55, 64 en 65 met ondersteuning van SDF. Laesies die tijdens het aanbrengen arrested waren, zijn niet verkleurd.
Intake, september 2015
Jenny, een Marokkaans meisje van 3,5 jaar, werd verwezen naar een tandarts-pedodontoloog vanwege een zeer carieus gebit, pijn bij zoetigheid en zeer slechte coöperatie. Van begin af aan kreeg ze een flesje met zoete inhoud mee naar bed wegens een zuivelallergie. Later volgden vaak pakjes met sapjes en veel snoep. Jenny is een pittig meisje met een sterk karakter. Ze weet haar zachtaardige ouders goed te bespelen en krijgt altijd haar zin. Poetsen was telkens een gevecht, ze verzette zich steeds. De moeder probeerde door te zetten, maar dat lukte niet; haar zwangerschap maakte het nog moeilijker voor haar. Mondonderzoek lukte alleen met hulp van de ouders. Diagnose: grote cariëslaesies in bijna alle melkelementen.
Leermomenten
Wanneer een angstig kind voor de intake komt, laat het dan eerst spelen en bouw contact met de ouders op. Dat biedt mogelijkheden voor het kind om te ‘ontdooien’. Let bij problemen (zoals onzekerheid over verblijfsstatus, extra belasting door zwangerschap) op de achtergrond, alsmede de oorzaak die de ouders zelf geven. Pas daarbij motivational interviewing toe en reflecteer op wat er veranderd kan worden.
De ouders van Jenny hebben gekozen om het aanbod aan zoete drankjes te verminderen en door te zetten met tandenpoetsen.
September – december 2015
De behandeling begon met drie achtereenvolgende maandelijkse afspraken voor poetstraining. Tijdens het poetsen door de ouders op de tandartsstoel stribbelde Jenny flink tegen, gilde ze boos, schopte ze en gooide ze met alles wat ze pakken kon. Na afloop wilde ze steeds twee cadeautjes. Als ze haar zin niet kreeg, werd ze boos. Met doorzetten, duidelijk grenzen aangeven en veel geduld kwam ze steeds een stapje dichter bij coöperatief gedrag. Geadviseerd werd om thuis Junior tandpasta (1450 ppm fluoride) te gebruiken vanwege de actieve cariëslaesies.
Leermomenten
Als het kind geen pijn heeft, wordt gestart met het trainen van de ouders in plaquebeheersing en in de omgang met het kind (Ekstrand, 2005). Poetstraining op de tandartsstoel maakt het kind vertrouwd met de tandheelkundige situatie. Het poetsen overlaten aan een ouder is minder beangstigend. De ouders spelen de rol van behandelaar. Ze leren efficiënter te poetsen bij hun kind. De tandarts zit op de stoel van de assistent, een non-verbaal signaal dat de ouder de belangrijkste behandelaar is (Van Palenstein, 2015).
December 2015 – juni 2016
Na de geboorte van een broertje werd thuis slechter geluisterd en gepoetst. In overleg met de ouders wordt besloten de sterk aangetaste 84 en 85 te restaureren met RVS-kronen. Dat lukte met veel moeite en de hulp van de vader, maar na afloop was Jenny heel boos op de vader. Daarna kwam Jenny 4 maanden niet opdagen en verscheen ze pas nadat ze last kreeg van de 55 en 54 bij het eten. De symptomen wezen op reversibele pulpitis. Actieve grote caviteiten van de 54 en 55 zijn na het poetsen afgesloten met een laagje RMGIC om het cariësproces te remmen. De caviteiten werden gespoeld en gedroogd met wattenbolletjes. De behandeling verliep zeer moeizaam. De vader hielp mee, maar Jenny bleef boos. Tijdens de derde behandelzitting zijn de diep-carieuze 74 en 75 gerestaureerd met RVS-kronen. Het gedrag veranderde niet. Voor behandeling van de 64 en 65 kwam ze weer niet opdagen.
Leermomenten
- Wanneer het cariësproces na de trainingsperiode niet stopt door de inspanningen van de ouders, gebruik van tandpasta met hoger fluoridegehalte en er te veel risico op pijn of ontsteking bestaat, wordt besloten om minimaal-invasief te restaureren (Gruythuysen, 2012).
- Restaureren van meervlakscaviteiten met RVS/Hall-kronen is makkelijker voor het kind dan met composietrestauraties en geeft betere langetermijnresultaten (Santamaria et al, 2018). Het nadeel van restauratie is dat de cariësactiviteit hierdoor wordt gemaskeerd (Gruythuysen, 2018).
November 2017
Pas na 1,5 jaar werd Jenny weer gezien. De moeder poetste meestal na, maar soms lukte het niet. Er werd slecht gepoetst. Jenny kreeg nog steeds pakjes sap en veel chips.
Tijdens twee afspraken voor poetstraining, motiverende gesprekken met de ouders over de mondgezondheid van Jenny in de toekomst (ze willen graag een gezond gebit) en het bespreken van opvoedtips (goed gedrag belonen, negatief gedrag negeren; grenzen stellen; duidelijke afspraken maken over consumptie van sap en chips) kwam er een keerpunt in gedrag: de ouders besloten om het streven naar mondgezondheid effectiever door te zetten. Het poetsen verbeterde aanzienlijk, ze zijn gestopt met zoete drankjes en hebben daarnaast duidelijk grenzen gesteld aan de wensen van Jenny. De ouders vertelden dat door deze aanpak Jenny thuis rustiger en gelukkiger is geworden en ze waren dankbaar voor de ondersteuning. Tijdens de volgende controle- en wenafspraken begin 2018 verminderde het aantal actieve cariëslaesies sterk. Er werd zilverdiaminefluoride aangebracht op de nog actieve vlakken van de 64/65 en 54/55.
Sindsdien zijn de cariëslaesies inactief. Jenny kwam iedere 2-3 maanden voor controle en om te oefenen. De medewerking bij het poetsen van Jenny varieerde. Bij ieder bezoek werd plaque gekleurd (wat Jenny niet leuk vond) en trainden de ouders de verbeterpunten. Zij gaven de voorkeur aan Niet-restauratieve caviteitsbehandeling (NRC) voor behandeling van de bovenmolaren. Jenny heeft sinds het aanbrengen van een laagje glasionomeercement in 2016 geen last meer gehad van de 55 en 54.
Leermomenten
- Verandering van gedrag verloopt niet lineair. Het is belangrijk bij terugval motivational interviewing te continueren en niet op te geven.
- Zilverdiaminefluoride kan helpen om actieve dentinecariës te stabiliseren.
Juli 2018
Jenny is 6 jaar. Er worden röntgenopnames en kleurenfoto’s gemaakt (Afb. 3 en 4). Op de röntgenfoto’s lijken de bovenmolaren ernstig aangetast, maar ze zijn hard en inactief. De niet-gerestaureerde bovenmolaren en kronen met gerestaureerde ondermolaren zijn vrij van ontsteking. Jenny kwam voor mondonderzoek om de 4-6 mnd.
Leermomenten
Voor het maken van röntgenfoto’s werd een doormidden geknipt maat 0 fosforplaatje gebruikt. Maat 0 is voor veel jonge kinderen te groot en moeilijk te accepteren.
Afbeelding 5a: Kleurfoto’s op de leeftijd van 7 jaar, juli 2019. Alle cariëslaesies in de bovenkaak zijn arrested, hard en glanzend, goed bereikbaar voor het poetsen. De mondhygiëne is goed. De eerste blijvende molaren breken door.
Afbeelding 5b: Kleurfoto’s op de leeftijd van 7 jaar, juli 2019. Alle cariëslaesies in de bovenkaak zijn arrested, hard en glanzend, goed bereikbaar voor het poetsen. De mondhygiëne is goed. De eerste blijvende molaren breken door.
Afbeelding 6: Dwars door de tandboog poetsen van de doorkomende blijvende molaren bij een andere patiënt.
Afbeelding 7: De eerste blijvende molaren in de onderkaak met zeer diepe, complexe ontkalkte fissuren. Hier is sealen geïndiceerd.
Juli 2019
Jenny is 7 jaar. De eerste blijvende molaren zijn doorgebroken, het glasionomeercement in de 55 vertoont slijtage, maar de laesie is goed bereikbaar voor de tandenborstel. De moeder heeft geleerd om alle bovenmolaren en de doorbrekende ondermolaren dwars te poetsen (Afb. 6). Jenny wil mooiere kiezen in de bovenkaak, maar ze verkiest monitoren boven restauratie. Vanwege de inactieve cariëslaesies ontbreekt de noodzaak om restauratief in te grijpen. De fissuren van de blijvende bovenmolaren zijn gaaf en in de ondermolaren zijn ontkalkte fissuren aanwezig. Daarom werd fluoridevernis aangebracht en preventieve begeleiding met plaquekleuring gecontinueerd.
September 2019
De cariëslaesies in de melkmolaren zijn nog steeds inactief en het dentine is hard en glanst. De moeder besteedt daar veel aandacht aan. De blijvende molaren zijn nu volledig doorgebroken en de fissuren zijn schoon. De 16 en 26 zijn cariësvrij, de 36 en 46 hebben zeer diepe, moeilijk te reinigen carieuze fissuren en werden met heel veel moeite geseald met RMGIC. Tell-Show-Do, modelleren van de procedure en een rustige uitleg hebben daarbij geholpen. In de bovenkaak zijn geen sealants nodig. Jenny verzet zich tegen fluorideapplicatie. Advies: thuis na het poetsen niet spoelen.
Leermomenten
Sinds de intake van 4 jaar geleden is er geen verschil in het resultaat van de restauratief behandelde ondermolaren en niet-restauratief behandelde bovenmolaren. Bij alle molaren is de cariës gestopt zonder pijn en/of ontsteking. Het kind wordt veel minder belast en accepteert behandeling beter bij NRC en begeleiding van de ouders om mondverzorging te verbeteren. Verwijzing voor behandeling onder narcose bleek overbodig.
Over de auteur
L. (Lina) Jasulaityte is tandarts-pedodontoloog. Ze behaalde in 1996 in Litouwen haar tandartsdiploma en aldaar een jaar later haar kindertandartsdiploma. In 2007 voltooide ze in Nederland met succes haar Masteropleiding pedodontologie. Ze is sinds 2008 werkzaam bij Jeugdtandzorg West in Den Haag en behandelt zeer jonge kinderen met veel cariës en een complexe problematische achtergrond. Ze besteedt het grootste deel van haar werk aan het motiveren en begeleiden van de ouders en kinderen.
Literatuur
- Advies Preventie fissuurcariës. Ivoren Kruis, 2012.
- Ekstrand KR, Christiansen ME. Outcomes of a non-operative caries treatment programme for children and adolescents. Caries Res 2005;39(6):455-67.
- Gruythuysen RJM. Niet-Restauratieve Caviteitsbehandeling. Houten: Accredidact, 2012.
- Gruythuysen R. Kindvriendelijke mondzorg. Houten: Accredidact, 2018/4.
- van Palenstein Helderman WH, Gruythuysen RJ, Bruers JJ, van Strijp AJ, van Loveren C. Een omslag in cariësbehandeling bij kinderen: ‘Gewoon Gaaf’. Ned Tijdschr Tandheelkd 2015;122(3):132-8.
- Santamaría RM, Innes NPT, Machiulskiene V, Schmoeckel J, Alkilzy M, Splieth CH. Alternative Caries Management Options for Primary Molars: 2.5-Year Outcomes of a Randomised Clinical Trial. Caries Res 2018;51(6):605-14.
Mondzorg bij jeugdigen: ruimte voor early adopters
In april 2010 heeft de Raad voor de Volksgezondheid en Zorg (RVZ) de discussienota Zorg voor je gezondheid! uitgebracht. De nota pleit voor een omslag van zorg en ziekte (zz) naar gedrag en gezondheid (gg). In politiek Den Haag hoor je bijna iedere dag dat preventie de redding is voor de gezondheidszorg. De tandheelkunde voor jeugdigen, als (bijna) enige deel uitmakend van de vergoede zorg, zou hier een voorbeeldfunctie kunnen vervullen. Immers, de kennis hoe het gebit gezond te houden is er, preventieve behandelingen zijn er en de recente paradigmaverschuiving van het restaureren naar het managen van cariës wordt meer en meer wetenschappelijk onderbouwd en wint aan populariteit.
Het managen van cariës heeft veel voordelen: patiënten leren eigen verantwoordelijkheid te nemen voor de eigen mondgezondheid (en die van hun kinderen) en behandelingen worden veel minder ingrijpend. Dit laatste vindt zijn oorsprong in onderzoek waaruit blijkt dat niet de micro-organismen in het carieuze weefsel, maar de tandplaque op het carieuze weefsel de drijvende kracht is in het cariësproces. Plaque verwijderen van de cariëslaesie is voldoende om het cariësproces te stoppen. Alle andere behandelingen maskeren de cariësactiviteit en zullen het cariësrisico niet verminderen. Het is dan ook een legitieme vraag wat de bedoeling is van de (kinder)tandheelkunde: cariësactieve kinderen afleveren met veel vullingen en extracties of cariës-inactieve kinderen afleveren die goed voor hun gebit zorgen?
Zoals bij elke paradigmaverschuiving heb je early adopters, de kwartiermakers, late en zeer late adopters die vertrouwen op de onjuiste zekerheden geleerd tijdens de studie. De early adopters kunnen een weg inslaan die aanvankelijk niet het gewenste resultaat levert, maar leren hiervan, sturen bij en geven niet op tot hun doel is bereikt. In deze serie willen we early adopters die in het managen van cariës een hoger doel zien dan in het routinematig restaureren aan het woord laten. Ze zullen vertellen over hun aanpak in de praktijk. We wensen u veel leesplezier, maar ook veel stof om over na te denken, te assimileren en te adopteren.
Bent u early adopter, spreekt dit initiatief u aan en wilt u een casus delen met collega’s? Meldt u zich dan bij de initiatiefnemers en/of de redactie van Dental Tribune. De gevraagde bijdrage betreft vooral casuïstiek (600-700 woorden) en ondersteunend beeldmateriaal.
Cor van Loveren
James Huddleston Slater sr.
Jo Frencken
René Gruythuysen
Tags:
Tijdens het eerste bezoek werd bij een 51-jarige patiënte bij rontgen- (afb. 1) en mondonderzoek een matige randaansluiting van de restauraties in de ...
UTRECHT – Uit angst voor het coronavirus is een kwart van de Nederlanders al sinds maart vorig jaar niet meer naar de tandarts geweest, volgens onderzoek ...
ZEIST – Tijdens het 11e VPM (Vereniging Promotie Mondhygiëne) Congres is Bertine van Roy verkozen tot Mondhygiënist van het Jaar. De keuze ...
NEW YORK, VS – De prevalentie van mondziekten en depressie zal de komende decennia naar verwachting toenemen. Recente bevindingen suggereren dat er een ...
UTRECHT – Twee jaar na de oorspronkelijk geplande finale gaat de verkiezing Tandartspraktijk van het jaar weer van start. De drie finalisten van de editie...
AMSTERDAM – De drie finalisten voor de verkiezing tot Tandartspraktijk van het jaar 2020 presenteren zich aan tandheelkundig Nederland met elk een ...
De afgelopen weken las u al over de acht genomineerde praktijken voor Tandartspraktijk van het jaar. Welke drie imponeerden de prejury het meest en zullen ...
David Bowie was zonder twijfel een belangrijke figuur in de popmuziek van de jaren ’70 en ’80. Hij is ook een van de vele celebrity’s die ...
Hier is de langverwachte, officiële bekendmaking van de finalisten van de verkiezing tot Tandartspraktijk van het jaar 2017. Bent u ook benieuwd welke ...
Live webinar
do. 30 april 2026
1:00 (CET) Amsterdam
Dr. Renato Leonardo D.M.D.
Live webinar
do. 30 april 2026
7:00 (CET) Amsterdam
Live webinar
zo. 3 mei 2026
6:00 (CET) Amsterdam
Dr. Rickard Brånemark MSc, MD, PhD, Dr. Robert Gottlander DDS
Live webinar
ma. 4 mei 2026
2:00 (CET) Amsterdam
Live webinar
di. 5 mei 2026
4:00 (CET) Amsterdam
Live webinar
di. 5 mei 2026
6:00 (CET) Amsterdam
Live webinar
di. 5 mei 2026
7:00 (CET) Amsterdam
Dr. Maximilian Dobbertin M.Sc
To post a reply please login or register