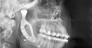
NIJMEGEN – De eerste resultaten van patiënten die een volledig 3D-geprinte prothese hebben gekregen, zijn spectaculair. Dat meldt het Radboudumc, dat sinds eind vorig jaar met de printtechniek werkt. Niet alleen is de patiënt zes maanden eerder ‘klaar’ dan voorheen, ook is de kwaliteit van de implantaatplaatsing dankzij de 3D-print aanzienlijk verbeterd.
De door het Radboudumc ontwikkelde 3D-methode wordt sinds november 2014 gebruikt voor patiënten die een implantaatgedragen prothese voor de bovenkaak nodig hebben. Het begin van de behandeling voor het 3D-gebit is hetzelfde als voorheen: eerst wordt met bot uit de bekkenkam van de patiënt het versleten kaakbot weer opgebouwd, zodat er na zes maanden voldoende botvolume is. Tijdens de tweede operatie worden zes implantaten in de opgebouwde bovenkaak geplaatst, waarop direct de 3D-geprinte prothese wordt vastgeklikt.
Deze directe plaatsing is mogelijk doordat in het nieuwe 3D-lab tot op de tiende millimeter nauwkeurig een implantaatplanning kan worden gemaakt. Hierdoor is de plaatsing van de implantaten zekerder dan bij de ‘standaard’-planning. De 3D-printer kan de prothese vervolgens exact op maat printen, zodat deze in dezelfde sessie als de implantaten geplaatst worden.
Het resultaat: zes maanden tijdswinst en een veel grotere precisie en kwaliteit in de implantaatplaatsing. Uit de feedback van patiënten blijkt dat zij over de geprinte prothese zeer te spreken zijn. Naast de kortere behandeling ervaren zij ook meer zekerheid over het vastzitten van de prothese.
(bron: Radboudumc)
UTRECHT – Volgens Manon van Splunter, voorzitter van NVM-mondhygiënisten, zou er juist in deze coronatijd meer aandacht uit moeten gaan naar een goede ...
UTRECHT – De Universiteit Utrecht (UU) heeft een 3D-geprint kaakimplantaat geplaatst bij een 12-jarige labrador die kampte met een kaaktumor. Het is de ...
AMSTERDAM – Na vier jaar intensief onderzoek hebben onderzoekers van het Antoni van Leeuwenhoek vorig jaar voor het eerst een op maat gemaakte ...
Een kroon op een implantaat die in zijn geheel uit de 3D-printer is komen rollen. Lang leek het toekomstmuziek, maar inmiddels zijn de eerste exemplaren al ...
MELBOURNE – Een jonge Australiër heeft een unieke kaakgewricht-prothese gekregen: de ‘kunstkaak’ van titanium is vervaardigd met een ...
SOESTERBERG – Een Nederlandse patiënt heeft de wereldwijd eerste 3D-geprinte kroon geplaatst gekregen. Het gaat om een 3D-geprinte MFH-kroon ...
INDIA – Een team van onderzoekers van verschillende universiteiten in India heeft een methode ontwikkeld voor het vervaardigen van een op maat ...
UTRECHT – Patiënten met een volledige of gedeeltelijke prothese lopen een hoger risico op ondervoeding, blijkt uit onderzoek van de Universiteit van ...
HOUTEN – Met zijn besluit om de mondhygiënist vanaf 2020 grotere zelfstandige bevoegdheid te geven, lijkt minister voor Medische Zorg Bruno Bruins zich ...
AMSTERDAM – De Nederlandse mondzorg is sinds vorige week een kleurrijke figuur armer. Onverwacht overleed Jacques Baart, vlak voor zijn officiële ...
Live webinar
do. 14 mei 2026
6:00 (CET) Amsterdam
Live webinar
do. 14 mei 2026
8:00 (CET) Amsterdam
Prof. Hani Ounsi DDS PhD FICD
Live webinar
di. 19 mei 2026
5:00 (CET) Amsterdam
Live webinar
di. 19 mei 2026
7:00 (CET) Amsterdam
Prof. Dr. med. dent. Ivo Krejci
Live webinar
wo. 20 mei 2026
1:00 (CET) Amsterdam
Dr. Graham Carmichael BDSc (Hons), DClinDent (Pros), FRACDS, Dr. Robert Gottlander DDS
Live webinar
wo. 20 mei 2026
3:00 (CET) Amsterdam
Live webinar
wo. 20 mei 2026
7:00 (CET) Amsterdam
Prof. Dr. med. dent. Tim Joda PhD, MSc, eMBA
To post a reply please login or register