In 2018 werd patiënte naar de KvPA doorverwezen om te kijken of de esthetiek van met name het bovenfront verbeterd zou kunnen worden. Het betreft hier een patiënte met multipele agenesie met elf ontbrekende elementen, met uitzondering van de verstandskiezen.
Begin jaren negentig was het nog gebruikelijk om bij veel ontbrekende elementen, afhankelijk van de skeletale classificatie en de mogelijkheden binnen de orthodontie, de diastemen zo veel mogelijk te sluiten en de beide wel aangelegde cuspidaten te reguleren naar de laterale snijtandposities en vervolgens de posities distaal daarvan te verbreden voor het plaatsen van implantaten. Daarbij werd nauwelijks gekeken naar de anatomie van de cuspidaten, die in vele gevallen sterk afwijken van een laterale incisief en die lastig omgebouwd kunnen worden tot de gewenste vorm.
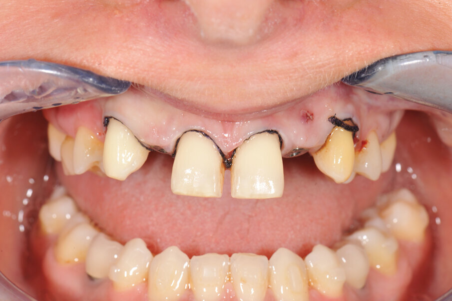
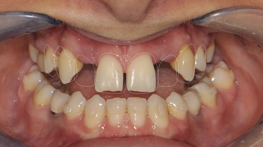
In deze casus is indertijd voor tissue level-implantaten gekozen en na ongeveer achttien jaar in functie is de esthetiek, mede door de vorm van de cuspidaten en het zichtbaar worden van de implantaten, discutabel te noemen (afbeelding 1 en 2).
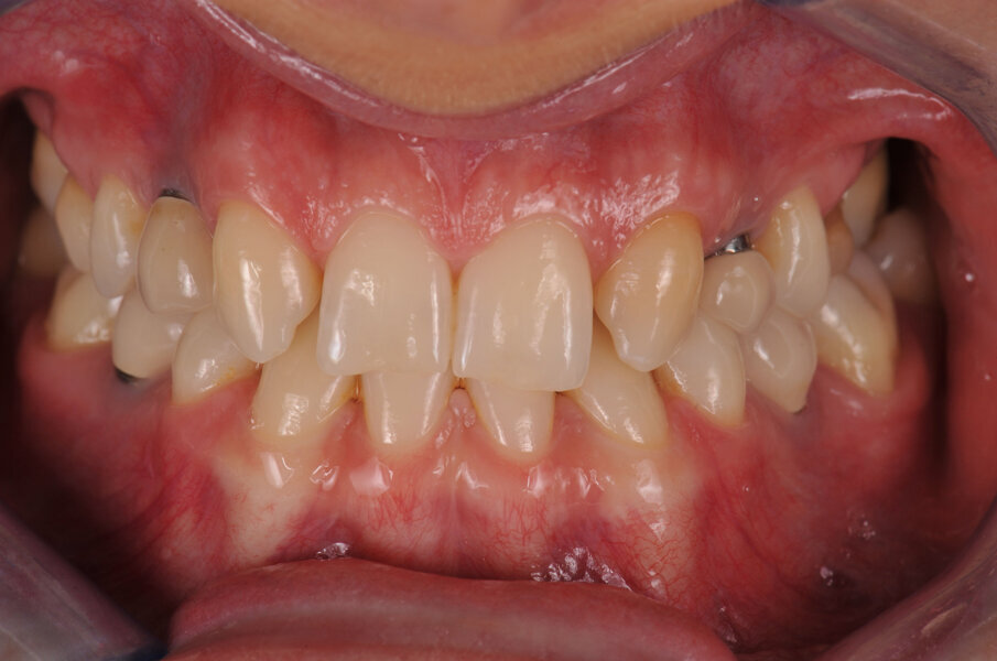
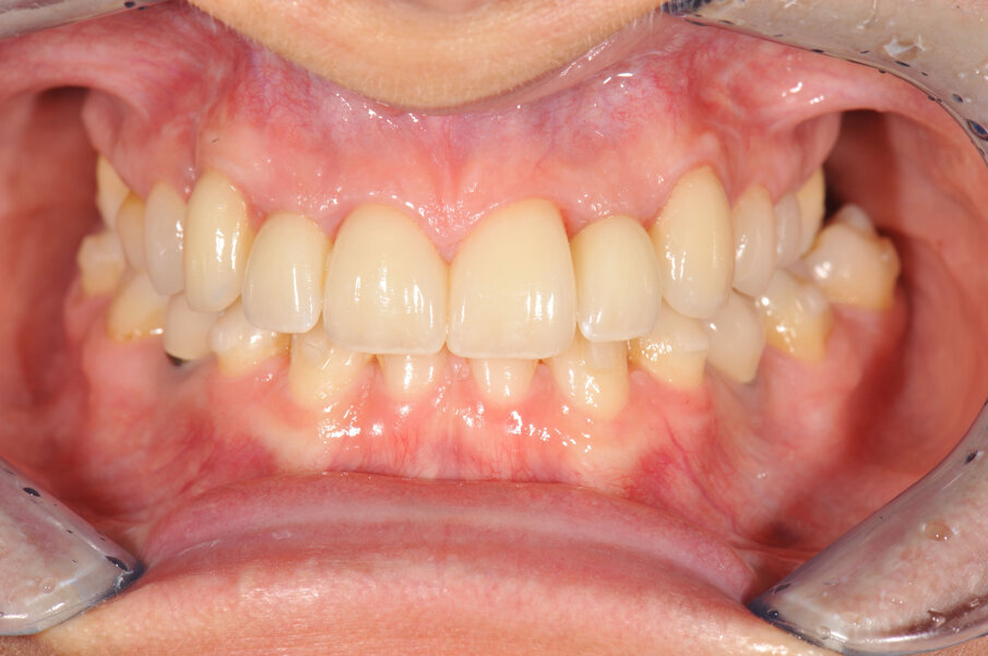
Om de behandeling niet nodeloos ingewikkeld te maken, is een set-up gemaakt waarin is gekeken of we met een restauratief/orthodontisch behandelplan uit de voeten kunnen om zo orthognatische chirurgie te vermijden. Er werd een wax-up gemaakt en deze werd met Luxatemp gepast bij de patiënte om te beoordelen of we dimensionaal goed zouden uitkomen. Deze mock-up werd ook gemaakt om patiënte te laten zien welk uiteindelijk esthetisch resultaat we zouden kunnen benaderen (afbeelding 3 en 4).
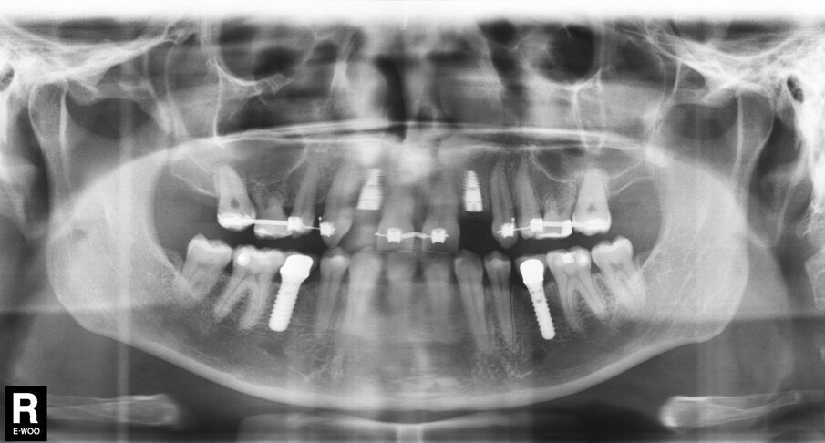
In samenspraak met de patiënte en in goed overleg met de behandelend orthodontist werd besloten de implantaten op de posities 13 en 23 te verwijderen, de cuspidaten naar distaal te verplaatsen en de angulatie van de elementen te corrigeren, zodat het plaatsen van twee implantaten op de posities van de laterale incisieven goed mogelijk zou worden (afbeelding 5 en 6).
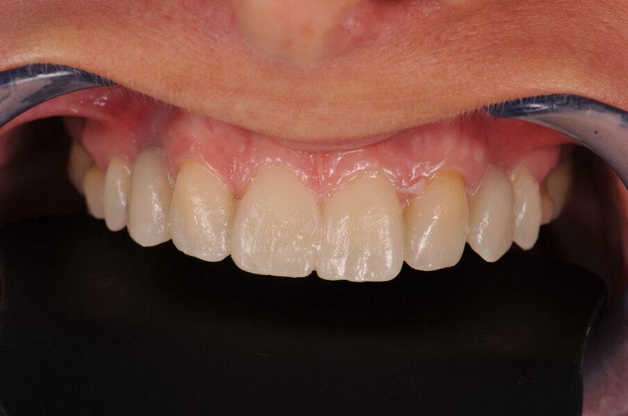
Door de regulatie van de cuspidaten naar distaal is botappositie opgetreden, waardoor bij het plaatsen van de twee implantaten een minimale botopbouw volgens een GBR-techniek noodzakelijk was (afbeelding 7-9). Via digital smile design werd de uiteindelijke vorm gesimuleerd (afbeelding 10 en 11). Er werden twee verschroefde zirkonium kronen met opgebakken porselein vervaardigd voor de implantaten en er werden facings van lithiumdisilicaat gemaakt bij de centrale incisieven en cuspidaten (afbeelding 12-17).
Discussie
Bij een complexe behandeling als bovenstaande is een uitstekende samenwerking van cruciaal belang voor de uiteindelijke uitkomst. In nauw overleg met orthodontist Nicoline van der Kaaij, restauratief tandarts Paul de Kok, tandtechnicus Eric van der Winden en de implantoloog (de auteur van dit artikel) zijn de planningen gemaakt, bijgestuurd en uiteindelijk uitgevoerd. De behandeling werd in 2019 gestart en is in 2021 afgerond. De rol van de ziektekostenverzekeraar was hierbij van cruciaal belang. We hebben een uitstekende dialoog met de adviserend tandarts gehad, wat heeft geleid tot een optimale samenwerking.
Bij (multipele) agenesiepatiënten hebben we te maken met patiënten met een ontwikkelingsstoornis. Bij een ontwikkelingsstoornis elders in het lichaam worden behandelingen doorgaans vergoed vanuit de basisverzekering, ook bij eventuele complicaties daarvan in de toekomst. Bij multipele agenesiepatiënten is vergoeding vanuit de basisverzekering zeker mogelijk. Helaas moet ik vaststellen dat voordat tot machtiging wordt overgegaan verschillende stations moeten worden gepasseerd. Wie de adviserend tandarts is om een casus mee te bespreken wordt niet meegedeeld. Het is erg lastig een adviserend tandarts überhaupt te kunnen spreken, telefonisch contact is alleen mogelijk op initiatief van de adviserend tandarts. Verder is het zo dat de mond en het kauwstelsel een dynamisch geheel vormen. Dit betekent dat er in verschillende periodes van het leven aanvullende of ʻrevisieʼ-behandelingen nodig zullen zijn. Ook en vooral hier is de samenwerking tussen zorgprofessional en ziektekostenverzekeraar van cruciaal belang. Ik spreek de hoop uit dat de ziektekostenverzekeraars zich dit realiseren en dat zij naast de zorg voor de ʻverzekerdenʼ ook de zorg voor de behandelaren in het oog houden. De zorg voor de behandelprofessionals kan en moet bij een hoop verzekeraars worden verbeterd om het gezamenlijke doel, optimale behandeling voor de verzekerden, te waarborgen.
Tags:
Na augmentatie van grote verticale en horizontale botdefecten met behulp van de Yxoss CBR® - patiënt specifieke titanium matrix, is het geaugmenteerde ...
Monique is een jonge vrouw van 25 jaar met een licht verstandelijke beperking. Ze is één keer eerder voor een kennismaking bij tandarts Sanne geweest. Ze ...
Op 24 januari 2025 te Hilversum, komen de experts op het gebied van gebitsslijtage samen om u onder te dompelen in kennis.
Dr. Bruce McFarlane Certified Specialist in Orthodontics Fellow: Royal College of Dentists of Canada Diplomate: American Board of Orthodontics
Live webinar
wo. 15 april 2026
8:00 (CET) Amsterdam
Live webinar
do. 16 april 2026
2:00 (CET) Amsterdam
Linda Hecker MS, BSDH, RDH
Live webinar
do. 16 april 2026
6:00 (CET) Amsterdam
Dr. Pär-Olov Östman, Dr. Robert Gottlander DDS
Live webinar
vr. 17 april 2026
6:00 (CET) Amsterdam
Live webinar
vr. 17 april 2026
7:00 (CET) Amsterdam
Dr. Stuart Yeaton BDentSc, MOrth
Live webinar
ma. 20 april 2026
7:00 (CET) Amsterdam
Dr. Alberto Monje DDS, MS, PhD
To post a reply please login or register