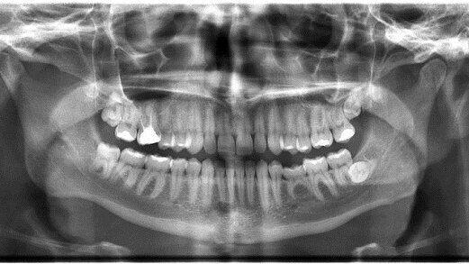
GÖTEBORG - Een röntgenopname van de kaak kan voorspellen of een patiënt een verhoogd risico loopt op fracturen in de rest van het lichaam. Dit melden onderzoekers van de Universiteit van Göteborg in Nature Reviews Endocrinology.
In een eerdere studie hebben onderzoekers van dezelfde universiteit bewezen dat bij een dunne botstructuur in het trabeculaire bot in de onderkaak er een grotere kans is op breuken in andere delen van het lichaam. Zij hebben nu aangetoond dat tandheelkundige röntgenfoto’s de botstructuur in de onderkaak laten zien, zodat voorspeld kan worden wie een verhoogd risico op fracturen loopt.
“Röntgenopnamen van de kaak bevatten veel informatie over de botstructuur,” zegt onderzoeker Grethe Jonasson. “Door het analyseren van deze beelden kunnen tandartsen mensen met een verhoogd risico op fracturen identificeren, lang voordat de eerste fractuur zich voordoet.”
De studie is gebaseerd op gegevens uit een bevolkingsonderzoek onder vrouwen in Göteborg. Sinds 1968 werden 731 vrouwen tussen 38 en 60 jaar meerdere malen onderzocht. Beelden van hun kaakbot werden geanalyseerd en vergeleken met de incidentie van latere fracturen.
De botstructuur van de kaak was dun bij ongeveer 20% van de vrouwen in de leeftijd van 38 tot 54. Op latere leeftijd liepen deze vrouwen een significant hoger risico op fracturen. Naarmate mensen ouder worden, is het verband tussen de botstructuur in de kaak en breuken in andere delen van het lichaam sterker. Hoewel de studie werd uitgevoerd bij vrouwen, denken de onderzoekers dat het verband ook geldt voor mannen. (bron: Tandartspraktijk)
SEOUL, ZUID-KOREA ‒ Het identificeren van risicofactoren voor vroeggeboorte is cruciaal om zorgverleners, ouders en beleidsmakers onderbouwde beslissingen...
AMSTERDAM – Patiënten met een leukoplakie in de mond groter dan 4 cm lopen het grootste risico op het ontwikkelen van mondkanker. In ...
AARHUS, Denemarken ‒ Steeds meer onderzoek onderstreept het belang van ecologisch verantwoorde strategieën bij de preventie van cariës. Een nieuwe ...
UTRECHT – Voor mondzorgverleners zijn medische hulpmiddelen onmisbaar voor de diagnostiek en behandeling. Vanaf 26 mei 2021 gelden er strengere eisen aan ...
SENDAI, JAPAN – Onderzoekers van de Tohoku University Graduate School of Dentistry in Japan zijn erachter gekomen dat het produceren van een kroon met ...
DEN HAAG – Een op de drie tandartsen verstrekt de patiënt vooraf geen offerte bij een behandeling die duurder is dan 250 euro, terwijl dit wel verplicht ...
UTRECHT – Veel volwassenen luisteren nauwelijks (nog) naar hun frisse ideeën en werkelijke verlangens. Een gemiste kans, want juist mondzorgteams die het...
AMSTERDAM – De samenstelling van het speeksel van vrouwen is anders dan dat van mannen. Dit stelt Andrei Prodan (ACTA) in zijn proefschrift. Het ...
AMSTERDAM – Tandarts Mark van N., die in Nederland wordt vastgehouden, mag worden uitgeleverd naar Frankrijk. Dat heeft de rechtbank van Amsterdam ...
WASHINGTON – In het voorschrijven van pijnstillers door tandartsen is veel ruimte voor verbetering. Dat schreven negen tandartsen, farmaceuten en ...
Live webinar
di. 19 mei 2026
5:00 (CET) Amsterdam
Live webinar
di. 19 mei 2026
7:00 (CET) Amsterdam
Prof. Dr. med. dent. Ivo Krejci
Live webinar
wo. 20 mei 2026
1:00 (CET) Amsterdam
Dr. Graham Carmichael BDSc (Hons), DClinDent (Pros), FRACDS, Dr. Robert Gottlander DDS
Live webinar
wo. 20 mei 2026
3:00 (CET) Amsterdam
Live webinar
wo. 20 mei 2026
5:00 (CET) Amsterdam
Live webinar
wo. 20 mei 2026
7:00 (CET) Amsterdam
Prof. Dr. med. dent. Tim Joda PhD, MSc, eMBA
Live webinar
do. 21 mei 2026
6:00 (CET) Amsterdam
Dr. Leonardo Muniz DDS, MSC
To post a reply please login or register