Natuurlijk wil iedereen dat een kind zo min mogelijk wordt belast tijdens mondzorgverlening. Dat lukt zolang ‘pure primaire preventie’ succesvol is, want dan blijft een gebit ‘Gewoon Gaaf’. Helaas is, zelfs bij kinderen die keurig tweemaal daags met fluoridehoudende tandpasta poetsen en niet meer dan vijf eet- en drinkmomenten per etmaal hebben, soms cariës actief. Dan is het belangrijk om op te kunnen schalen met de drie andere gereedschappen die passen binnen kindvriendelijke mondzorg: zilverdiaminefluoride applicatie, glasionomeer (nood-)vulling en de Hall-techniek. Deze middelen leiden sowieso tot uitstel van de conventionele behandeling met boor en spuit en meestal zelfs tot afstel!
Zilverdiaminefluoride (ZDF)
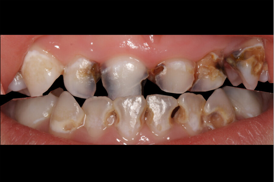
Zilverdiaminefluoride wordt sinds de jaren zestig van de vorige eeuw veelvuldig succesvol toegepast, zoals te lezen is in de reviews van Chu en Lo.1 Het bevat 44800 ppm fluoride, dus ongeveer de dubbele concentratie van de middelen die we gewend zijn zoals Duraphat en Enamelast, die 22600 ppm bevatten. Bovendien heeft het vrije zilverionen die een bactericide werking hebben (afbeelding 1-4).
Afbeelding 1. Casus 1: 18-12-19. Kiespijn dreigt. ZDF aanbrengen veroorzaakte minutenlang pijn.
Afbeelding 2. Casus 1: 13-03-20. Na 4 maanden zwart verkleurd en symptoomvrij met vitale pulpa.
Afbeelding 3. Casus 2: 29-09-17. Eerste bezoek. Actieve cariës-instructies en ZDF aangebracht.
Afbeelding 4. Casus 2: 09-02-18. Tweede bezoek. Na 4 maanden klachtenvrij.
Glasionomeercement
Glasionomeercement staat reeds decennia bekend om de fluoride-afgifte ervan. Ongeveer twintig jaar geleden maakte ik kennis met Fuji Triage van GC en ik gebruik het materiaal met relatief hoge fluoride-afgifte nog steeds tot grote tevredenheid. Het is mijn voorkeursmateriaal om M1’s mee te sealen, ontbrekend hypoplastisch glazuur mee aan te vullen en ook om noodvullingen mee te maken (afbeelding 5-6).
Afbeelding 5. Casus 2: 25-05-18. De caviteit in 74 blijkt niet goed reinigbaar, daarom Fuji Triage geplaatst.
Afbeelding 6. Casus 2: 18-10-18. Fuji Triage ‘noodvulling’ voldoet na 5 maanden.
De Hall-techniek
Dit is een relatief nieuwe vorm (2007) van cariësmanagement in het melkgebit. Het betreft het plaatsen van voorgevormde RVS confectiekronen zónder te verdoven of te prepareren met roterend instrumentarium. Met name deze techniek is even eenvoudig als doeltreffend en verschillende retrospectieve studies toonden aan dat bij de juiste indicatiestelling de slagingspercentages hoger zijn dan 95% (afbeelding 7-11).
Afbeelding 7. Casus 3: 13-02-19. Intraorale foto 55 bij 3-jarig kind met zuigflescariës.
Afbeelding 8. Casus 3: 13-02-19. Intraorale foto 65 bij 3-jarig kind met zuigflescariës.
Afbeelding 9. Casus 3: 18-10-19. BWR, zie 55.
Afbeelding 10. Casus 3: 18-10-19. BWL, zie 65.
Afbeelding 11a-b. Casus 3: 23-01-20. In november met Hall-techniek geplaatste kroon met ‘50%-prognose’ om enerzijds pijn en anderzijds narcose te voorkomen.
Afbeelding 11a-b. Casus 3: 23-01-20. In november met Hall-techniek geplaatste kroon met ‘50%-prognose’ om enerzijds pijn en anderzijds narcose te voorkomen.
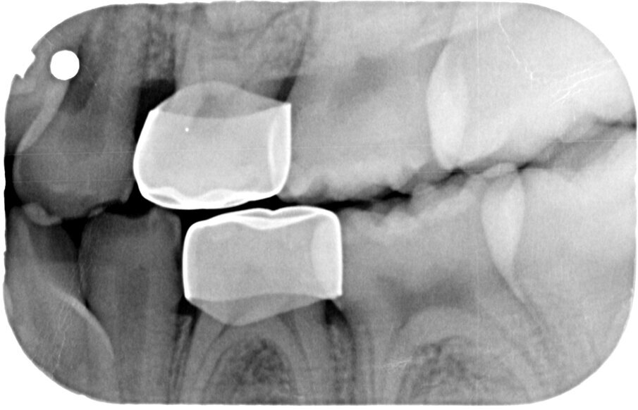
Groot voordeel van de Hall-techniek is dat deze eigenlijk altijd eenmalig is. De kans op herbehandeling vanwege loslaten, breuk, secundaire cariës of wat dan ook is lager dan bij elke andere therapie. De diepte of de grootte van de caviteit is van secundair belang. De prognose van de therapie wordt bepaald door de afwezigheid van pulpa-pathologie en door de aanwezigheid van een op een bitewing zichtbare laag van gezond dentine, ‘a clear band of dentine’, tussen de caviteit en de pulpa (afbeelding 12-13).
Afbeelding 12a-b. Casus 4: 21-02-18. BWR en BWL. Angstig meisje met pijn bij eten en poetsen bij 84 en 74.
Afbeelding 12a-b. Casus 4: 21-02-18. BWR en BWL. Angstig meisje met pijn bij eten en poetsen bij 84 en 74.
Afbeelding 13a-b. Casus 4: 04-03-19. BWR en BWL na 1 jaar in 2 tempi middels de Hall-techniek succesvol zonder spuit, boor of angst behandeld.
Afbeelding 13a-b. Casus 4: 04-03-19. BWR en BWL na 1 jaar in 2 tempi middels de Hall-techniek succesvol zonder spuit, boor of angst behandeld.
Het gebruik van de RVS-confectiekroon bij behandeling van tijdelijke molaren heeft geweldige win-win-mogelijkheden:
- Win: kinderen ondergaan minder injecties en behandelingen met roterend instrumentarium. Er is dus minder angstopbouw.
- Win: korte stoeltijd én lage kosten van de behandeling (code R29*).
- Win: de behandeling kan gedelegeerd worden.
- Win: minder (her-)behandelingen.
Over de auteur
Tandarts-pedodontoloog Arie H. O. Riem werkte vanaf zijn afstuderen in 1988 met bijzondere zorggroepen. Hij ontwikkelde met Danielle Majtlis-de Haes Kinderkliniek TandInZicht in De Bilt. De praktijk wil kinderen begeleiden om de mondgezondheid te optimaliseren. Preventie, gedragsbegeleiding en indien nodig het behandelen van tandbederf zijn onderdelen van de aanpak. De kinderkliniek biedt een breed aanbod van behandelingsmogelijkheden waaronder sedatie en narcose.
Literatuur
- Chu CH, Lo EC. Promoting caries arrest in children with silver diamine fluoride: a review. Oral Health Prev Dent. 2008;6(4):315-21.
- Gao SS, Zhang S, Mei ML, Lo EC, Chu CH. Caries remineralisation and arresting effect in children by professionally applied fluoride treatment - a systematic review. BMC Oral Health. 2016 Feb 1;16:12.
- Mei ML, Lo EC, Chu CH. Clinical Use of Silver Diamine Fluoride in Dental Treatment. Compend Contin Educ Dent. 2016 Feb;37(2):93-8; quiz100.
- The Hall Technique: A minimal intervention, child centred approach to managing the carious primary molar. https://dentistry.dundee.ac.uk/files/3M_93C%20HallTechGuide2191110.pdf
Tags:
De Nederlandse mondzorgmarkt is de afgelopen twintig jaar sterk in beweging. Waar de overdracht van een tandartspraktijk vroeger vaak een overzichtelijke ...
AMERSFOORT – Door het tekort aan mondzorgverleners dreigen steeds meer mensen in Nederland niet de gewenste mondzorg te krijgen. Dat stelt de Organisatie ...
Als praktijkhouder of praktijkmanager ben je geen arbeidsrechtjurist. Hoe zorg je toch voor goede overeenkomsten en voorkom je vervelende verrassingen in de...
Voor de eerste keer is Dental Expo, dé vakbeurs voor de totale mondzorg in Nederland, gehuisvest op een nieuwe plek: de Evenementenhal Gorinchem. Centraal ...
UTRECHT – De KNMT wil patiënten bewuster maken van het belang van duurzaamheid in de mondzorg en wat ze daar zelf aan kunnen doen. Met dat doel heeft de ...
Hoeveel preventieve mondzorg voor kinderen magen mondzorgverleners in 2026 declareren zonder machtiging? Johnny Joker, een initiatief dat kinderen, ouders ...
AMSTERDAM – Ook tandartsen en mondhygiënisten hebben de plicht om in hun persoonlijk leven en werk aandacht te besteden aan duurzaamheid. Dat was de ...
AMSTERDAM – De lichting 2021 van de lijst van 30 jonge talenten die Elsevier Weekblad jaarlijks opstelt is volgens Elsevier bevlogen door idealisme. ...
Wanneer neem je je kind voor het eerst mee naar de tandarts? Is een slecht gebit erfelijk? DentaVox, onderzoeker binnen de internationale dentale markt, ...
In 2000 schreven Yvonne Buunk-Werkhoven (mondhygiënist en sociaal psycholoog) en Warner Kalk (tandarts) gezamenlijk een beleidsdocument over een ...
Live webinar
do. 16 april 2026
2:00 (CET) Amsterdam
Linda Hecker MS, BSDH, RDH
Live webinar
do. 16 april 2026
6:00 (CET) Amsterdam
Dr. Pär-Olov Östman, Dr. Robert Gottlander DDS
Live webinar
vr. 17 april 2026
6:00 (CET) Amsterdam
Live webinar
vr. 17 april 2026
7:00 (CET) Amsterdam
Dr. Stuart Yeaton BDentSc, MOrth
Live webinar
ma. 20 april 2026
7:00 (CET) Amsterdam
Dr. Alberto Monje DDS, MS, PhD
Live webinar
wo. 22 april 2026
5:00 (CET) Amsterdam
MDT Andreas Chatzimpatzakis
To post a reply please login or register