Search Dental Tribune

Artikelen

Filter

Campagne 'Tand eruit? Tand erin!'

UTRECHT – In het voorjaar en de zomer spelen kinderen weer meer buiten en kan het zo maar gebeuren dat een kind een tand verliest bij sporten, ...

Bewaar

Mijden van de tandarts vanwege geld

DEN HAAG – Mensen in een huishouden met een lagere welvaart zeggen vaker dan mensen met een hogere welvaart dat ze een bezoek aan de tandarts hebben ...

Bewaar

WIZDOM: nieuwe standaard digitaal leerplatform voor tandheelkunde

LEIPZIG, BERLIJN – WIZDOM is het eerste digitale kennis- en leerplatform speciaal voor de tandheelkunde. Het biedt examenrelevante inhoud, moderne ...

Bewaar

Van freelance contract naar loondienstverband: Regelingen rond provisie, vakantie en ziekte

Of het nieuwe initiatiefwetsvoorstel voor het zzp-schap meer oplossingen gaat bieden voor de samenwerking in de mondzorgpraktijk is nog onduidelijk. Als je ...

Bewaar

Column Casper Bots: Flossen after tea

Het is interessant en leerzaam om parttime als tandarts in Liverpool te mogen werken. Naast de cultuurverschillen leer ik iedere keer weer nieuwe Engelse ...

Bewaar

KNMT pleit voor betere ondersteuning migrerende tandartsen in Europa

GDANSK, POLEN – KNMT-voorzitter Hans de Vries pleit voor betere Europese afstemming op het gebied van opleiding, registratie en integratie van migrerende ...

Bewaar
advertisement

Column Erik Ranzijn: ‘Het’

Sinds mensenheugenis gaan Hannah en ik op zaterdag naar de markt op de Lindengracht in de Amsterdamse Jordaan. Voor wie dit niet weet: de Jordaan is een ...

Bewaar

How to take care of your teeth and gums

UTRECHT – Speciaal voor expats in Nederland heeft de KNMT de Engelstalige folder ‘How to take care of your teeth and gums’ uitgebracht, zodat ...

Bewaar

De juiste mondzorg op het juiste moment

AMERSFOORT – Door het tekort aan mondzorgverleners dreigen steeds meer mensen in Nederland niet de gewenste mondzorg te krijgen. Dat stelt de Organisatie ...

Bewaar

Mr.dr. Wolter Brands over omgaan met privacy in mondzorgpraktijken: “Vaak is het beter om te zwijgen”

“Ga eens in je eigen wachtkamer zitten om te ervaren hoe privacy in je praktijk is geregeld,” raadt tandarts en jurist Wolter Brands tandartsen en ...

Bewaar

Mondgezondheid bedreigd door klimaatverandering

NEW DELHI, INDIA — Terwijl de effecten van de klimaatverandering op de algemene gezondheid goed gedocumenteerd zijn, is de invloed ervan op de ...

Bewaar

Film: Ill met by moonlight (1957), geregisseerd door Michael Powell en Emeric Pressburger

Tijdens de Tweede Wereldoorlog ontvoerden een Britse officier en Griekse verzetsstrijders op Kreta een Duitse generaal. Bij de voorbereiding van deze ...

Bewaar
advertisement

Lessen uit tuchtrechtelijke uitspraken

UTRECHT – Volgens het Jaarverslag Tuchtcolleges voor de Gezondheidszorg 2024 werden vorig jaar 22 klachten gegrond verklaard in de 43 tuchtrechtelijke ...

Bewaar

Ivoren Kruis komt met nieuw Advies Cariëspreventie

Internationale ontwikkelingen en nieuwe technieken en producten maakten een nieuw Advies Cariëspreventie van het Ivoren Kruis noodzakelijk. Voor de ...

Bewaar

Parodontitis als belangrijke voorspeller van vroeggeboorte

SEOUL, ZUID-KOREA ‒ Het identificeren van risicofactoren voor vroeggeboorte is cruciaal om zorgverleners, ouders en beleidsmakers onderbouwde beslissingen...

Bewaar

Column Richard Mastwijk: Focus is een vereiste

Op het moment dat ik deze column schrijf, heb ik naar mijn stellige voornemen mijn laatste marathon gelopen. De marathon van Rotterdam, die claimt ‘de ...

Bewaar
advertisement

Schonere en duurzame mondzorg

UTRECHT – De KNMT wil patiënten bewuster maken van het belang van duurzaamheid in de mondzorg en wat ze daar zelf aan kunnen doen. Met dat doel heeft de ...

Bewaar

Hoogleraar Erwin Berkhout: “Contrasten geven helderheid en maken het leven mooi”

“De interpretatie van grijswaarden in de radiologie zie ik als metafoor voor het echte leven. Ze versterken het contrast. Veel contrast kan tot spanning ...

Bewaar

Advieskaarten voor preventief consult jonge kinderen

UTRECHT – Ter ondersteuning van de voorlichting aan ouders die met kinderen in de leeftijd van 0 tot 5 jaar voor een consult komen, heeft de KNMT negen ...

Bewaar

Kodak-momentje

Wanneer ik aan een nieuwe column begin, check ik altijd eerst mijn mobiele agenda en foto’s om te zien wat ik sinds de laatste keer heb meegemaakt. Een ...

Bewaar
advertisement

Veel enkelvoudige implantaten functioneren ook na veertig jaar nog

Göteborg, Zweden ‒ Enkelvoudige tandimplantaten hebben over een periode van vijf tot tien jaar een hoog succespercentage. Controle op lange termijn ...

Bewaar

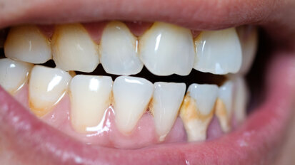
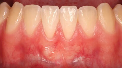
Campagne 'Roze en Krachtig is Prachtig'

EENRUM – Donderdag 5 juni is het internationaal de Dag van het Tandvlees. Dat is een gelegenheid om het bewustzijn rond gezond tandvlees te vergroten. ...

Bewaar
advertisement

Filmpje pakken

Mijn vriend Lex is een groot liefhebber van Bob Dylan. Eigenlijk vooral van zijn muziek en teksten, want verder vindt hij Bob maar ‘een rare ...

Bewaar

KNMT-steun voor ‘Actieplan tegen vapen’

DEN HAAG / UTRECHT – VWS-staatssecretaris Karremans wil actie gaan voeren tegen vapen. Donderdag 24 april besprak hij met een Tweede Kamercommissie in een...

Bewaar

Zzp-update 2025: Naheffingen vormen het grootste risico

In juni vorig jaar1 presenteerden we in Dental Tribune een plaatsbepaling rondom het werken als of met zzp’er(s). Het einde van het handhavingsmoratorium ...

Bewaar

Groter bewustzijn over mondkanker dringend nodig

LONDEN, VERENIGD KONINKRIJK ‒ Een nieuw rapport van de Oral Health Foundation heeft een aantal verontrustende cijfers naar voren gebracht over zowel de ...

Bewaar
advertisement

Column Reinier van de Vrie: Opnemen

Ongetwijfeld heeft een patiënt je weleens glazig aangekeken omdat je tandheelkundig jargon gebruikte. En omgekeerd zul je zelf ook weleens hebben moeten ...

Bewaar

Nieuwe discussie over fluoridering en het IQ van kinderen

DURHAM, N.C., VS ‒ Het fluorideren van water in de VS om tandcariës te voorkomen wordt door het Amerikaanse Centers for Disease Control and Prevention ...

Bewaar

Peri-implantaire ontstekingen: Ontstekingen kunnen beter worden voorkomen

Met de groei van het aantal implantaten is ook het aantal peri-implantaire ontstekingen toegenomen. Lange tijd werd dit probleem onvoldoende onderkend. Met ...

Bewaar

Blue Jasmine (2013), geregisseerd door Woody Allen: Tandarts dr. Flicker kust receptioniste Jasmine

Het New-Yorkse jetset-leven van de verwende Jasmine in de film Blue Jasmine stort volledig in als haar echtgenoot betrokken blijkt te zijn bij duistere ...

Bewaar
advertisement
advertisement