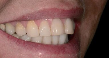
HOUTEN – De wijze waarop we het element restaureren, blijkt de achilleshiel van het endodontisch behandelde gebitselement te zijn. Daarom is het belangrijk dat tandartsen zich verdiepen in een veelbelovende behandelaanpak. Deze wordt beschreven in twee nieuwe e-learnings van AccreDidact. Beide hebben als onderwerp Restaureren na endodontische behandeling en zijn geschreven door universitair docent Joep Laverman (ACTA) en tandarts-endodontoloog Marga Ree.
Na de wortelkanaalbehandeling moet het gebitselement worden gerestaureerd. Niet voor elke tand of kies is de beginsituatie hetzelfde. Bij gebitselementen waarvan (nagenoeg) alleen de endodontische opening hoeft te worden gesloten, voldoet een eenvoudige composietvulling. Veel endodontisch behandelde gebitselementen kampen echter met een groter verlies aan tandweefsel. Deze elementen moeten worden opgebouwd en veelal daarna nog worden voorzien van een partiële of totale kroon. Hiervoor bestaan verschillende materialen en technieken, zowel directe als indirecte.
In de loop der jaren is de wijze van restaureren van endodontisch behandelde elementen sterk veranderd, blijkt uit de eLearning. Jarenlang is gedacht dat de levensduur van deze gebitselementen veilig was te stellen door ze te voorzien van een metalen stiftopbouw en een totale kroon. Door onderzoek zijn echter nieuwe gezichtspunten ontstaan. Mechanisch sterke opbouwmaterialen hebben plaatsgemaakt voor zogenoemde biomimetische opbouwmaterialen. Dit zijn adhesieve materialen met op tandweefsel gelijkende eigenschappen, vooral in mechanisch maar ook in optisch opzicht.
De nieuwe inzichten zijn nog grotendeels gebaseerd op in-vitro-onderzoek. De klinische resultaten zijn weliswaar beperkt, maar veelbelovend. De nieuwe behandelaanpak oogst daardoor steeds meer bijval.
De eLearning en het bijbehorende cahier gaan in op de belangrijkste succesfactoren die de levensduur van het endodontisch behandelde gebitselement bepalen en de afweging of een endodontisch behandeld gebitselement moet worden voorzien van een totale kroon. Verder komen de keuze om een endodontisch behandeld gebitselement met de directe dan wel indirecte techniek op te bouwen, de voor- en nadelen van de diverse wortelstiften en opbouwmaterialen en de behandelplanning bij het vervaardigen van een plastische en gegoten stiftopbouw aan bod.
De eLearnings van AccreDidact zijn Q-keurmerk-geaccrediteerd en zijn per gemaakte aflevering goed voor 4 KRT-punten. Het losse cahier kost 47,50 euro. Meer informatie en de mogelijkheid tot abonneren of afzonderlijk bestellen is te vinden op www.accredidact.nl.
LONDEN – In een recent gepubliceerd rapport over alcoholmisbruik in het Verenigd Koninkrijk benadrukken onderzoekers het belang van de rol van ...
ROME – Dental Tribune International, de internationale keten van tandheelkundige media, profileert zich steeds meer door het aanbieden van ...
BOEKAREST – Door de forse slijtage die tanden in de mond ondergaan, moeten vullingen vaak gerepareerd worden. Op zoek naar een vulmateriaal dat niet ...
NIEUWEGEIN – Bijna één op de vijf ouderen heeft bij opname in het verpleeghuis problemen met de mondzelfzorg. Dat blijkt uit een ...
Digitalisering kan tandtechnici en tandartsen dichter bij elkaar brengen. Hoe die nieuwe mogelijkhe-den het beste kunnen worden benut binnen een ...
Kies je voor direct of voor indirect restaureren?Die keuze hoeft niet zo
zwart-wit te zijn, laat deze casus zien. Door middel van chairside veneers werd het...
VANCOUVER, CANADA – Onderzoekers van de Universiteit van British Columbia (UBC) leiden een omvangrijk, supranationaal klinisch onderzoek naar ...
Dentsply Sirona introduceert een nieuw workshopprogramma: Root to Crown. De disciplines Endo, Resto Direct en Resto Indirect komen hierin aan bod onder ...
Bij de keuze tussen direct of indirect restaureren spelen allerlei factoren mee. Hoeveel eigen, gezond weefsel is er over? Gaat het om een esthetische ...
Ontspannen Naar De Tandarts is een online platform voor mensen met tandartsangst. Het richt zich op de mentale voorbereiding van patiënten voorafgaand ...
Live webinar
di. 19 mei 2026
5:00 (CET) Amsterdam
Live webinar
di. 19 mei 2026
7:00 (CET) Amsterdam
Prof. Dr. med. dent. Ivo Krejci
Live webinar
wo. 20 mei 2026
1:00 (CET) Amsterdam
Dr. Graham Carmichael BDSc (Hons), DClinDent (Pros), FRACDS, Dr. Robert Gottlander DDS
Live webinar
wo. 20 mei 2026
3:00 (CET) Amsterdam
Live webinar
wo. 20 mei 2026
5:00 (CET) Amsterdam
Live webinar
wo. 20 mei 2026
7:00 (CET) Amsterdam
Prof. Dr. med. dent. Tim Joda PhD, MSc, eMBA
Live webinar
do. 21 mei 2026
6:00 (CET) Amsterdam
Dr. Leonardo Muniz DDS, MSC
To post a reply please login or register