Kies je voor direct of voor indirect restaureren?Die keuze hoeft niet zo
zwart-wit te zijn, laat deze casus zien. Door middel van chairside veneers werd het bovenfront esthetisch hersteld. Zowel analoge als digitale technieken zijn hierbij zeer behulpzaam.
Bij het herstel van integriteit van gebitselementen speelt de hoeveelheid resterend tandweefsel een belangrijke rol. Niet alleen omdat we er tegenwoordig graag aan willen hechten (adhesieve tandheelkunde), maar ook omdat het referentie kan geven over hoe het element er in zijn oorspronkelijke en natuurlijke vorm uitzag.
Bij voldoende referentie kunnen we vaak het herstel in de mond met de hand en plastische materialen (meestal composieten) direct uitvoeren; bij gebrek aan referentie wordt het lastiger. Soms bestaan er additionele technieken om referentie terug te geven en om het directe werk te vereenvoudigen, zoals het gebruik van een mal of de stempeltechniek met behulp van een ’waxup’.
Artificiële intelligentie kan de tandarts en tandtechnicus van dienst zijn om deze procedure over te nemen. Intraoraal scannen biedt daarbij het grote voordeel dat er zelfs al direct kan worden begonnen met het vervaardigen van de restauratie (chairside dentistry). Op deze manier komen indirect en direct werken dus wel heel dicht bij elkaar.
Kwaliteit, efficiency en esthetiek
De verschillende digitale of analoge reconstructieve systemen samen met de te gebruiken materialen en hun specifieke eigenschappen bepalen daarbij de vorm van de preparatie en de manier van (liefst adhesief) cementeren. Backward planning speelt hierbij een steeds grotere rol, waarbij op grond van de aanwezige en benodigde ruimte tezamen met materiaaleigenschappen keuzen moeten worden gemaakt. Vroege en tijdige communicatie met het laboratorium speelt in dit verband dan ook een steeds grotere rol.
De drie kernwaarden kwaliteit, efficiency en esthetiek vormen de rode draad. Patiënt, (algemeen) practicus en tandtechnicus willen allen graag een restauratie die lang meegaat, goed biologisch integreert in de mond en geen klachten geeft. Maar het moet ook liefst met een eenvoudige en effectieve procedure te vervaardigen zijn. Tot slot is esthetiek, een optische en harmonische integratie in de mond vandaag de dag een belangrijke vereiste. De bijgaande casus laat zien wat we hiermee bedoelen.
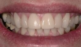
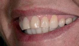
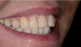
Afbeelding 1-4: Mondfoto’s en intraorale scans. In een eerste bezoek werd de wens met de patiënt besproken en werd er een aantal mondfoto’s gemaakt.
Afbeelding 1-4: Mondfoto’s en intraorale scans. In een eerste bezoek werd de wens met de patiënt besproken en werd er een aantal mondfoto’s gemaakt.
Afbeelding 1-4: Mondfoto’s en intraorale scans. In een eerste bezoek werd de wens met de patiënt besproken en werd er een aantal mondfoto’s gemaakt.
Afbeelding 1-4: Mondfoto’s en intraorale scans. In een eerste bezoek werd de wens met de patiënt besproken en werd er een aantal mondfoto’s gemaakt.
Afbeelding 5: Een digitale smile analyse werd uitgevoerd en een voorlopige planning werd gemaakt. De 21 en 11 moeten ongeveer 0,5 tot 0,75 mm worden verlengd.
Afbeelding 6: Kleur bepalen met gepolariseerd licht.
Afbeelding 7: Na het geven van de anesthesie werd de try-in gescand voor de zogenaamde biocopy.
Afbeelding 8: Na de preparatie werd een tweede scan gemaakt.
Afbeelding 9: Beeld direct postoperatief.
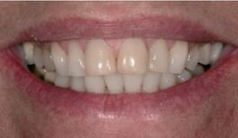
Afbeelding 10: Het beginbeeld.
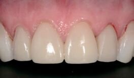
Afbeelding 11: Het eindresultaat na rehydratie. De kernwaarden kwaliteit, efficiency en esthetiek komen hier alle drie aan bod.
Casus
Patiënt werd doorgestuurd door een collega. De patiënt wenste esthetisch herstel van het bovenfront.
Testdrive
Op printmodellen werd een waxup vervaardigd van het bovenfront. Naar aanleiding van de testdrive met Luxatemp werd gekeken hoe deze lengte van de frontelementen uit zou pakken in de smile. Tevens werd de kleur bepaald met gepolariseerd licht en werden de wensen en verwachtingen besproken. Het voordeel van de biocopy is nu dat we in de software precies de aanduiding hebben waar we de nieuwe snijrand willen leggen. Kortom: de eindsituatie is in beeld gebracht samen met de preparatie. Het voordeel van de mockup is ook dat er doorheen kan worden geslepen en we niet onnodig tandmateriaal wegslijpen. De porseleinen facings werden geslepen uit IPS Empress keramiek met de MCXL slijpmachine (Dentsply Sirona). Na een try in en een kleine aanpassing werden de facings vervolgens adhesief gecementeerd met Variolink Esthetic (Ivoclar). Tot slot vond er direct intraoraal aan de 13, 23 en 22 met IPS Empress Direct (Ivoclar) composiet een vormcorrectie plaats.
Motivatie en conclusie
Een Digital Smile Design (DSD) is een absolute must om tot een goede architectuur te komen. Deze moet het liefst altijd even worden uitgetest. Door de combinatie van DSD, waxups, directe en indirecte technieken met CAD/CAM kon deze patiënt uiteindelijk in een halve dag geheel worden behandeld. Zo combineren we de kracht van deze verschillende methoden tot een sterk geheel.
Tags:
Dentsply Sirona introduceert een nieuw workshopprogramma: Root to Crown. De disciplines Endo, Resto Direct en Resto Indirect komen hierin aan bod onder ...
Bij de keuze tussen direct of indirect restaureren spelen allerlei factoren mee. Hoeveel eigen, gezond weefsel is er over? Gaat het om een esthetische ...
Willen jullie helpen met het opzetten van structurele mondzorgpreventie? Die vraag ontving het Ivoren Kruis van de GGD op Bonaire. Het Ivoren Kruis zei ...
KRALENDIJK – Tandartsen op Bonaire zijn bezorgd over de bezuinigingsmaatregelen die minister Schippers van VWS heeft doorgevoerd voor de ...
HOUTEN – De wijze waarop we het element restaureren, blijkt de achilleshiel van het endodontisch behandelde gebitselement te zijn. Daarom is het ...
Een groot en uiteenlopend aanbod aan beschikbare restauratiematerialen, bevestigingscementen en bevestigingscomposieten toepasbaar voor verschillende ...
Quality Practice Tandheelkunde viert zijn tweede lustrum en presenteert u topklinische nascholing met de nadruk op inspiratie, liefde voor het vak en ...
Veel tandartsen ervaren dat het voortzetten van de praktijk steeds lastiger is. De resultaten staan onder druk en het vele harde werken wordt onvoldoende ...
SÃO JOSÉ DOS CAMPOS, Brazilië – Orofaciaal trauma komt veel voor onder sporters, waardoor gebitsbescherming essentieel is. Al honderd jaar worden er ...
In dit exclusieve interview duiken we in de visionaire wereld van de biomimetische tandheelkunde met dr. Pascal Magne, een pionier op dit gebied. Wereldwijd...
Live webinar
do. 14 mei 2026
6:00 (CET) Amsterdam
Live webinar
do. 14 mei 2026
8:00 (CET) Amsterdam
Prof. Hani Ounsi DDS PhD FICD
Live webinar
di. 19 mei 2026
5:00 (CET) Amsterdam
Live webinar
di. 19 mei 2026
7:00 (CET) Amsterdam
Prof. Dr. med. dent. Ivo Krejci
Live webinar
wo. 20 mei 2026
1:00 (CET) Amsterdam
Dr. Graham Carmichael BDSc (Hons), DClinDent (Pros), FRACDS, Dr. Robert Gottlander DDS
Live webinar
wo. 20 mei 2026
3:00 (CET) Amsterdam
Live webinar
wo. 20 mei 2026
7:00 (CET) Amsterdam
Prof. Dr. med. dent. Tim Joda PhD, MSc, eMBA
To post a reply please login or register