“Composiet is fantastisch materiaal, maar je moet er zelf wat van maken,” zo startte tandarts Arend van den Akker een workshop over layering – het aanbrengen van laagjes – in het voorfront. Voor layering moet je tijd nemen om goed in de materie te kunnen groeien, weten wat je doet en vooral: veel zelf doen.
De workshop die Van den Akker in zijn praktijk in Alphen aan den Rijn geeft over layering met composiet voor een tiental cursisten maakt deel uit van de jaarcursus Esthetische Tandheelkunde van Dental Best Practice. Dat is een cursus in diverse modules. De workshop over layering bestaat uit een theoretisch deel in de middag, en een hands-on training in de avond. Het instrumentarium waarmee gewerkt wordt, is voor deze workshop beschikbaar gesteld door Ivoclar Vivadent. Datzelfde geldt voor de kit IPS Empress Direct met onder meer glazuur- en dentinematerialen, speciaal ontwikkeld voor de vervaardiging van zeer esthetische restauraties, die de deelnemers na afloop mee mogen nemen. In die kit zit ook een gebruiksaanwijzing en worden de nodige tips en trucs gegeven.
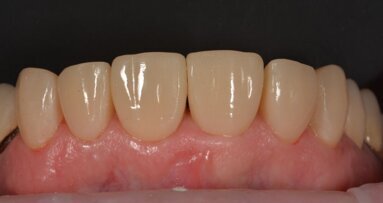
Een groot voordeel van IPS Empress Direct-composiet uit de kit van Ivoclar Vivadent is dat die vier minuten verwerkingstijd heeft, waardoor men voldoende tijd heeft om de verschillende lagen goed vorm te geven. De materialen uit de kit moeten laagsgewijs worden aangebracht (layeren), hetzij eenvoudig met glazuur over dentine (dual) of gecompliceerd door meerdere lagen met speciale kleureffecten aan te brengen (multiple). Volgens Van den Akker is er zo met een minimum aan materialen binnen redelijke tijd een hoge kwaliteitsrestauratie met een mooie hoogglans te realiseren, mede door de zeer goede polijstbaarheid van het materiaal.
In het theoretische deel van de workshop geeft Van den Akker een flink aantal tips en laat hij met behulp van camera en beeldscherm zien hoe je laagje voor laagje het composiet kunt opbrengen op een element. Daarbij werkt hij met een loepbril met 4,5 vergroting. Hij raadt iedere tandarts die de layeringtechniek toepast aan te werken met vergroting. En verder moet je layering gewoon veel doen om het goed in de vingers te krijgen. “Eigenlijk is het niets anders dan tandtechniek in de mond,” zegt Van den Akker.
Kleurbepaling
In het algemeen gaat Van den Akker uit van het principe less is more, dat wil zeggen minimaal invasief werken. Maar cariës, oud composiet en verkleuringen moeten absoluut verwijderd worden. Bij verkleuringen moet er zeker tot minimaal 1,0 mm diep worden geboord.
De belangrijkste aspecten die het succes van een behandeling bepalen zijn de kleur, vorm en oppervlaktestructuur. Kleurbepaling – altijd vóór het droogleggen te doen – is volgens Van den Akker niet anders dan kleurmatching.
Het helpt bij de kleurbepaling om te determineren met welk type persoon je te maken hebt. Er zijn op grond daarvan een aantal vuistregels voor fronttanden. Voor oudere patiënten is dat over het algemeen de kleur A3,5 of A4 en cervicaal is soms zelfs IVA6 het meest geschikt. Bij mensen van middelbare leeftijd is dat A3 en voor jongeren is het A1 of A2.
Een goede tip bij kleurbepalen is om de composieten in een laagdikte van 0.3-0.5 mm uit te harden op het te behandelen element of buurelement en een gepolariseerde foto te maken. Ook de vorm en de oppervlaktestructuur van een element hebben invloed op de kleur. Die bepalen bij de fijnafwerking bijvoorbeeld ook hoe hoog de glans moet zijn. Verder gaat Van den Akker in de workshop uitgebreid in op diverse aspecten van kleur, zoals fluorescentie, translucentie, opalescentie, hue, chroma en value.
Mondfoto’s
Van den Akker adviseert om goede mondfoto’s te maken. Die geven heel veel informatie en kunnen ook behulpzaam zijn bij de kleurbepaling. Zet digitaal de exposure bijvoorbeeld wat lager, waardoor de karakteristieken van een element veel beter zichtbaar worden. En zet de belichting vast op een kleur dichtbij 5500 graden Kelvin. Gebruik verder niet te veel lichtflits, omdat de karakteristieken van een element dan minder goed zichtbaar zijn.
Van den Akker adviseert om patiënten niet tussendoor mee te laten kijken naar de keuze van de kleur, want patiënten hebben de neiging om een te lichte kleur te kiezen. Onwillekeurig word je door hen daarin beïnvloed. Temeer ook, omdat tijdens de behandeling de kleur van het element nog verandert. Pas als je zelf zeker bent van het eindresultaat kun je de patiënt laten zien wat het is geworden.
Uitharden
Een veel gemaakte fout in de praktijk is dat composieten niet goed worden uitgehard, zo is de ervaring van Van den Akker. Het uitharden moet zo dicht mogelijk (zeker binnen 10 mm) op het element gebeuren. Veel behandelaars zetten de lamp al aan in de beweging naar het element toe en zetten de lamp er niet dicht genoeg op. Dat betekent dat er niet lang en goed genoeg is uitgehard, met alle mogelijke gevolgen. Voor dat probleem heeft Ivoclar Vivadent nu een oplossing met de nieuwe uithardingslamp Bluephase G4, die waarschuwt als de lamp niet goed wordt geplaatst. Daarmee kan het eigenlijk niet meer fout gaan, denkt Van den Akker. Dat neemt volgens hem niet weg dat je je apparatuur altijd goed moet kennen en moet weten wat deze doet en hoe je de apparatuur moet gebruiken.
Een probleem van alle composieten is dat ze krimpen, maar in frontrestauraties speelt krimp een mindere rol. En hoe zit het met de hechtkracht? De bonding uit de Ivoclar-kit wordt daarop getest door buiten de mond twee delen aan elkaar te lijmen. Twee cursisten krijgen met een ketting de delen met de nodige trekkracht aanvankelijk niet van elkaar. Pas na een flinke ruk lukt dat om maar aan te geven hoe sterk een goed uitgevoerde bondingprocedure is.
Uiteindelijk zijn er vijf dimensies van een composiet die het eindresultaat bepalen: de kleur, de karakteristieken (mammelons, vlekjes, rooklijnen en dergelijke), de vorm en outline (driehoekig, rond en vierkant), de oppervlaktestructuur en de oppervlakteglans.
Tevredenheid
Van den Akker constateert dat er een groot verschil is tussen patiënt- en tandartstevredenheid. “Je moet jezelf steeds weer de vraag stellen tot hoever je wilt gaan. Sowieso moet je patiënten niet teveel beloven. Je kunt zeggen dat je het mooier kunt maken, maar perfect herstel is soms niet goed mogelijk.” Zelf vindt hij dat een zekere disharmonie en asymmetrie leven geeft in een element en een gezicht. “Is dat niet mooier dan volledige symmetrie? Daar moet je dan ook de patiënt van weten te overtuigen.”
Van den Akker adviseert om patiënten na een half jaar tot een jaar nog een keer terug te laten komen om de restauratie eventueel bij te werken. Biologische processen maken het proces soms onvoorspelbaar, waardoor er nog veranderingen in kleur en structuur van een element kunnen optreden. Soms moet je gewoon ook afwachten wat er gebeurt. Door uitdroging kan een tand bijvoorbeeld tijdens de behandeling veel te wit worden, wat na enkele weken weer helemaal goed komt. Getuige de geconcentreerde aandacht en de vele gedetailleerde vragen van de deelnemers, was dit zeker een module die in een behoefte voorziet.
Deelnemers
Deelnemers waarderen de cursus en geven deze een 9 als rapportcijfer. “Ik wil mijn werk in de praktijk nog heel graag verbeteren”, vertelt Mirte Nieuwpoort van praktijk Molenvliet in Alphen aan den Rijn. “Ik ken cursusleider Arend heel goed omdat we gezamenlijk met een paar praktijken uit Alphen aan den Rijn de inkoop doen voor composieten. We kunnen daar uren over praten. Ik vind het leuk om nu in zo’n cursus ook de nieuwe composieten die aangeboden worden intensief uit te proberen. Met een aantal composieten werk ik natuurlijk al, maar zo krijg ik goed zicht op nieuwe toepassingen. Hier leer je net de fijne kneepjes van het vak.”
De Spaanse Javier Cruces Tova van praktijk De Watersnip uit Deventeris 2,5 jaar geleden uit Spanje naar Nederland gekomen. “In de vier jaar nadat ik ben afgestudeerd in Sevilla is er al zoveel veranderd. Je moet je dus wel bijscholen. Ik wil me steeds blijven vernieuwen en verbeteren, zeker ook op restauratief gebied. De praktijk waar ik werk stelt het ook als voorwaarde dat hun tandartsen dit soort cursussen volgen. Hier leer je weer nieuwe technieken. Je denkt dat je het goed doet, maar het kan altijd beter. De combinatie van veel kennis en hands-on trainingen vind ik heel prettig.”
Nadia Popava uit de buurt van Hasselt, België, volgde de cursus in Nederland, omdat deze in België niet doorging. “Mijn doel is om patiënten met restauratieve tandheelkunde gelukkig te maken”, zegt de Belgische tandarts. “Deze cursus vind ik heel interessant, omdat je veel tips en trucs leert, bijvoorbeeld hoe je met de verschillende vulmaterialen moet omgaan. Door DSD-planning kun je veel beter plannen en voorspelbaar werken.”
Meer cursussen van Ivoclar Vivadent
Geïnteresseerden, met name tandartsen die esthetiek hoog in het vaandel hebben staan, kunnen zich inschrijven voor diverse cursussen, zoals:
1. Meer esthetiek met composiet in het front
2. Meer esthetiek met composiet voor de startende tandarts
3. Academia Esthetica – Master Workshop
Meer informatie is te vinden op http://www.ivoclarvivadent.nl/nl/cursussen-in-benelux.
Tags:
Het jaarlijkse DAED Congres brengt u esthetiek uit alle werelddelen op het hoogste niveau. Ook deze 9e editie belooft Masters of Masters in Esthetic ...
Bij esthetische tandheelkunde kun je denken aan Instagramplaatjes van mensen met hagelwitte, gebleekte tanden, maar het vakgebied omvat meer dan alleen ...
Kleine restauraties aan de insicale rand zijn buitengewoon complex. Daarnaast is de ruimte die je hebt zeer beperkt om te werken met verschillende ...
Bij esthetische tandheelkunde kun je denken aan Instagramplaatjes van mensen met hagelwitte, gebleekte tanden, maar het vakgebied omvat meer dan alleen ...
Na een zoektocht van zo’n twintig jaar denkt implantoloog drs. Edith Groenendijk samen met collega dr. Tristan Staas een protocol voor immediate placement...
Wat zijn de esthetische resultaten van het gebruik van 3M™ Filtek™ Universal Restorative in een zwaar gerestaureerd bovenfront? In deze klinische casus ...
Dentsply Sirona introduceert een nieuw workshopprogramma: Root to Crown. De disciplines Endo, Resto Direct en Resto Indirect komen hierin aan bod onder ...
HELMOND – De Inspectie voor de Gezondheidszorg (IGZ) heeft Tandartsen Helmond met onmiddellijke ingang gesloten. De praktijk is onvoldoende in staat ...
LONDEN, ENGELAND – Uit onderzoek blijkt dat tandheelkundige epitheelcellen en mesenchymale cellen samen in-vitro tandachtige structuren kunnen vormen, ...
BANBURY, ENGELAND – Traditionele tandpastatubes zijn een probleem voor het milieu en de praktijk, omdat ze vaak niet worden meegenomen in ...
Live webinar
do. 14 mei 2026
6:00 (CET) Amsterdam
Live webinar
do. 14 mei 2026
8:00 (CET) Amsterdam
Prof. Hani Ounsi DDS PhD FICD
Live webinar
di. 19 mei 2026
5:00 (CET) Amsterdam
Live webinar
di. 19 mei 2026
7:00 (CET) Amsterdam
Prof. Dr. med. dent. Ivo Krejci
Live webinar
wo. 20 mei 2026
1:00 (CET) Amsterdam
Dr. Graham Carmichael BDSc (Hons), DClinDent (Pros), FRACDS, Dr. Robert Gottlander DDS
Live webinar
wo. 20 mei 2026
3:00 (CET) Amsterdam
Live webinar
wo. 20 mei 2026
7:00 (CET) Amsterdam
Prof. Dr. med. dent. Tim Joda PhD, MSc, eMBA
To post a reply please login or register