Search Dental Tribune

Verbeter je glimlach met composiet

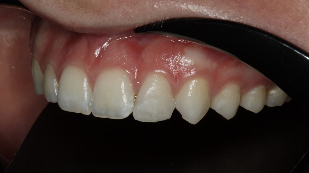
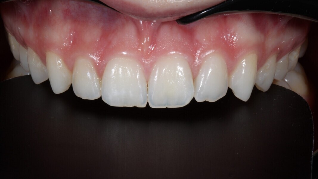
Fig. 1: Beginsituatie. (Afbeeldingen: Dr María Cura)

ma. 7 juli 2025

Bewaar

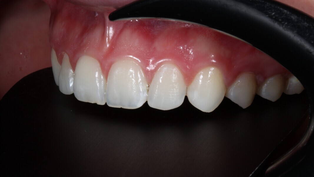
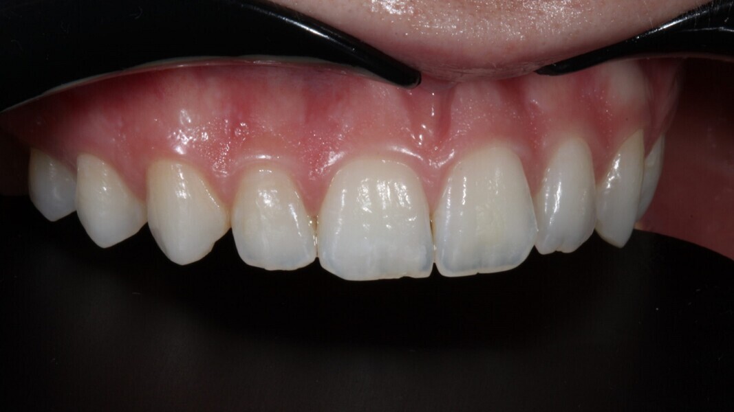
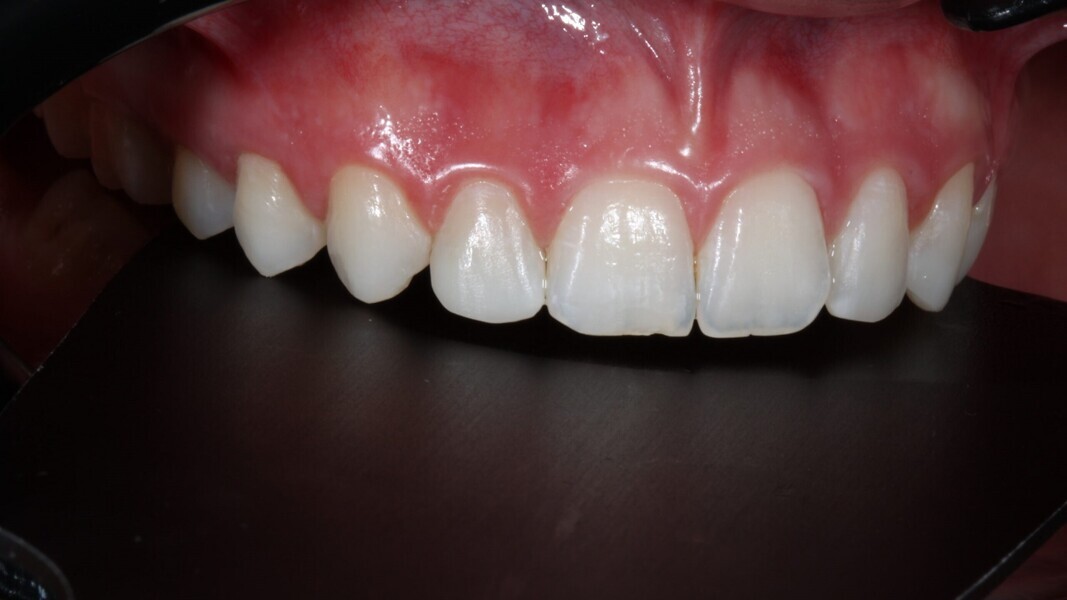
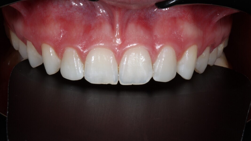
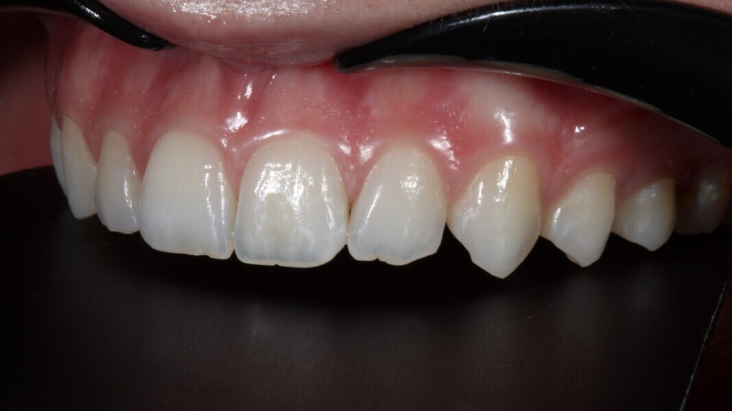
Kleine restauraties aan de insicale rand zijn buitengewoon complex. Daarnaast is de ruimte die je hebt zeer beperkt om te werken met verschillende dekkingsniveaus. Werken met één kleur is dan ideaal om het eenvoudig te houden, maar we moeten wel een esthetisch resultaat bereiken.

Een 21-jarige vrouw die verder gezond was, kwam naar ons toe met klachten over haar glimlach: “Ik wil graag een mooiere glimlach. Mijn voortanden lijken gebroken en mijn hoektanden zijn te puntig.” 3M Filtek Easy Match heeft een opaciteit die zich natuurlijk aanpast, waardoor het materiaal zo translucent is als glazuur en zo opaak als dentine, waar ik dat nodig heb.

Redactionele opmerking:

Vergelijkbare producten van Solventum:

3M Filtek Easy Match Universeel Restauratiemateriaal

  • Met slechts 3 tinten bereikt u een uitstekende kleurmatch met de glimlach van vrijwel iedere patiënt
  • Vereenvoudigde kleurselectie, zonder in te leveren op opaciteit
  • Gestroomlijnde voorraad helpt verspilling van weinig gebruikte composieten tegen te gaan
  • Stevige verwerking
  • Uitstekende slijtageweerstand en glansretentie

3M Scotchbond Universal Plus Adhesief

  • Hogere radiopaciteit
  • Hecht aan door cariës aangetast dentine en dicht dit af (interne Solventum gegevens)
  • Geavanceerde hechting aan ieder tandheelkundig en restauratief oppervlak, waaronder glaskeramiek
  • Werkt zowel lichtuithardend als zelfuithardend, zonder extra activator
  • Vrij van BPA-derivaten, zoals BisGMA
To post a reply please login or register
advertisement
advertisement