Wat zijn de esthetische resultaten van het gebruik van 3M™ Filtek™ Universal Restorative in een zwaar gerestaureerd bovenfront? In deze klinische casus deelt tandarts Valentin Vervack zijn bevindingen.
Casus
Deze patiënte kwam in eerste instantie naar onze praktijk omdat er een vulling uitgevallen was van haar linker centrale snijtand. Er werd na bespreking echter gekozen om deze snel op te vullen en de volledige anterieure zone aan te pakken, vanwege de gehavende restauraties die op alle tanden aanwezig waren. De patiënte stoorde zich wel aan deze situatie, maar wist niet wat mogelijk was en kon ook niet veel geld uitgeven om hier wat aan te doen. Er werden klinische foto’s gemaakt en er werd een digitale scan genomen om een digitale tandopstelling te kunnen maken. Deze laatste is vervolgens gebruikt om een mock-up in de mond over te brengen om het geplande resultaat te kunnen tonen aan de patiënte.
Uitdagingen
De tanden waren veelvuldig en reeds lang geleden gevuld, waardoor er een hele range aan verschillende kleuren en materialen aanwezig was in de 6 voorste tanden. Enkele tanden waren ook al verkleurd en ingesleten, waardoor we niet zomaar de oude vulling konden vervangen.
Uitkomsten
Door het gebruik van één soort opaciteit van het directe composiet krijgen we een mooi effen resultaat, wat voor de patiënt de overgang van de oude naar de nieuwe situatie niet te zwaar maakt. Ook de overige elementen vertonen niet veel schakering in verschillende kleuren of opaciteiten. Deze composiet is voor dit soort patiënten dus ideaal.
Het gebruik van de digitale tandopstelling in combinatie met het Essential Shape protocol van Style Italiano maakt dat we een heel voorspelbare workflow hebben, waarmee we een duidelijk eindbeeld kunnen voorstellen aan de patiënt.
De beginsituatie: we zien sterk versleten centrale snijtanden met verkeerde lengte-breedte-proporties met veel verschillende tand-tinten.
Vooraanzicht van het bovenfront: veel oude vullingen zijn aan vervanging toe door slechte randaanpassing en/of verkeerde kleuren.
Een digitale afdruk werd genomen waar een digitale tandopstelling op werd ontworpen.
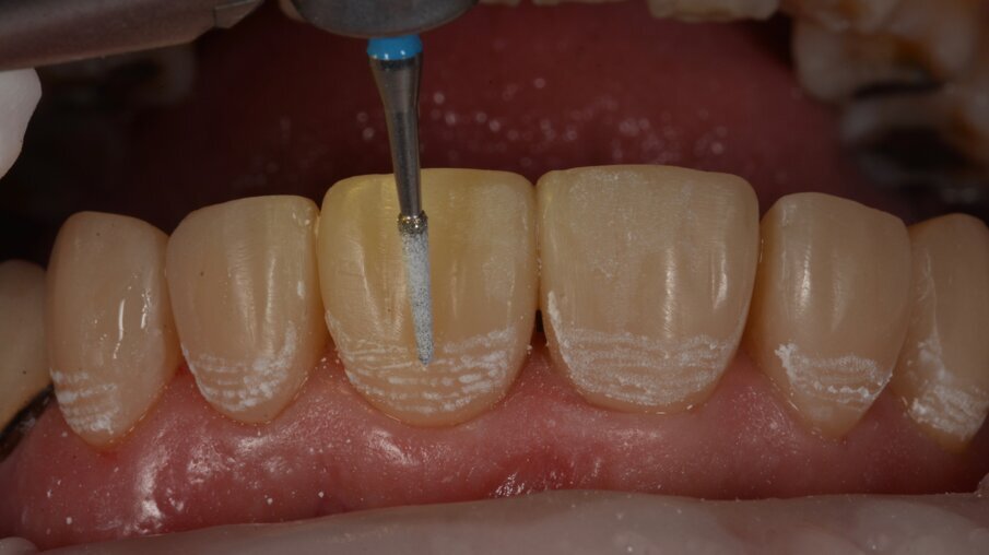
De mock-up in de mond werd gebruikt om minimaal invasief buccaal een kleine chamfer te verkrijgen om de verkleurde elementen te kunnen maskeren.
Dieptegroeven werden getrokken met een gekalibreerde boor door de mock-up om een uniforme dikte van het composiet te voorzien.
De kleurkeuze werd op voorhand bepaald aan de hand van de 3MTM Filtek Universal Restorative kleursleutels.
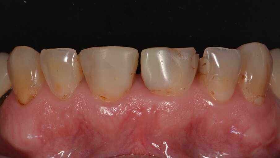
Resultaat na verwijderen van alle oude composieten en minimale buccale wegname. De vulling op tand 21 werd behouden omdat deze de week ervoor pas werd geplaatst.
Aan de hand van het digitale model werd een palatale putty gemaakt, die dienst deed als basis van onze nieuwe opbouw.
Glazuur werd selectief geëtst gedurende 15 seconden.
3MTM ScotchbondTM Universal adhesief werd gedurende 35 seconden aangebracht en vervolgens uitgehard. Na het etsen zien we duidelijk dat we door de minimale preparatie buccaal hoofdzakelijk aan glazuur kunnen binden.
Eerst wordt een dunne laag 3M Filtek Universal Restorative aangebracht op de putty en uitgestreken met een kwastje om de kans op luchtbellen te verkleinen.
Het resultaat na voorzichtig wegnemen van de palatale putty.
Om de interdentale ruimtes op te bouwen maken we gebruik van een rechtopstaande niervormige matrix. Door de convexiteit van de matrix naar buccaal te plaatsen hebben we al een referentie om het buccale vlak te modelleren. Het wit-roze materiaal dicht bij de pulpa is de 3M Filtek Universal Restorave Pink Opaquer, die het verkleurde dentine zal maskeren om zo een uniformere kleur te kunnen verkrijgen.
De resterende holte werd via buccaal verder in laagjes opgevuld.
Het intermediair resultaat na opvullen van de buccale vlakken. Voor het afwerken en polijsten werd gebruik gemaakt van het Essential Shape protocol ontworpen door Style Italiano.
Zodra de primaire anatomie is aangebracht kunnen we de secundaire anatomie aanbrengen in de vorm van oppervlakkige mamelons. Deze worden ook eerst aangebracht met potlood en dan ingekerfd met een traag draaiende diamantboor.
Tertiaire anatomie werd aangebracht met behulp van een traagdraaiende diamantboor zonder waterkoeling.
Verdere tertiaire anatomie kan worden aangebracht met een oud rood 3MTM Sof-LexTM Polijstschijfje op laag toerental.
Door zonder waterkoeling te werken zien we duidelijk waar de anatomie is aangebracht.
Hoogglans werd bereikt door met de paarse 3MTM Sof-LexTM Spiral te polijsten met hoog toerental met waterkoeling gedurende 5-10 minuten.
Indien gewenst kan nog worden nagepolijst met een diamantpasta en een geitenhaar borstel.
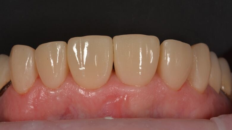
Eindresultaat.
Hoogglans kan perfect bereikt worden. Een mooi emergence profiel kan worden gezien.
Tevreden patiënt = tevreden tandarts.
Over de auteur
Drs. Valentin Vervack rondde in 2013 de opleiding tandheelkunde af aan de Universiteit Gent, waarna hij als algemeen tandarts ging werken bij het UZ Gent en in verschillende privépraktijken. In 2017 startte hij een samen met zijn vader en vrouw een eigen praktijk in Gent. Sindsdien combineert hij het werk daar met diverse rollen als assisterend academisch personeel aan de Universiteit Gent. In 2018 won Vervack de Style Italiano Bulk One Contest.
AMSTERDAM – Promovendus Tie Liu (ACTA) heeft een biologisch afgeleid, biomimetisch calciumfosfaat botsubstituut ontwikkeld voor klinische toepassingen...
Na een zoektocht van zo’n twintig jaar denkt implantoloog drs. Edith Groenendijk samen met collega dr. Tristan Staas een protocol voor immediate placement...
De vraag van veel tandartsen naar een kleiner kleurenpalet wordt steeds meer vervuld. Tokoyuma Dental ging een stap verder met de invoering van OMNICHROMA: ...
HOUTEN – ZorgkaartNederland bestond in december twee jaar. Op deze veelbesproken website worden bezoekers aangemoedigd hun ervaringen te plaatsen over...
MÜNCHEN – Twee ontstoken molaren zijn mogelijk de oorzaak van het langzame herstel van Arjen Robben. Dat suggereert het Duitse boulevardblad Bild. De ...
In het Verenigd Koninkrijk zijn in 2025 in ziekenhuizen 33.976 tandextracties bij kinderen uitgevoerd vanwege cariës. Dat komt neer op elk kwartier een ...
Het Summox One System lost het personeelstekort in de tandheelkunde structureel op en maakt uw praktijk veiliger, efficiënter en compliant. In 2026 staat ...
To post a reply please login or register