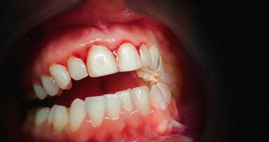
De jaarlijkse publicatieprijs van de Vereniging Medisch Tandheelkundige Interactie (VMTI) is uitgereikt aan ACTA-promovenda Laura Ziukaite. Zij ontving de prijs voor haar proefschrift ‘Prevalence of diabetes mellitus in people clinically diagnosed with periodontitis: A systematic review and meta-analysis of epidemiologic studies’.
Aan de hand van een systematische review en meta-analyse onderzocht Ziukaite de relatie tussen diabetes mellitus en parodontitis. Van de 803 relevante publicaties die zij vond, bleken 27 te voldoen aan de inclusiecriteria.
Ziukaite, werkzaam als tandarts-parodontoloog, bekeek de prevalentie en de kansverhouding (odds) van diabetes bij proefpersonen met en zonder parodontitis. Daarin werd onderscheid gemaakt tussen patiënten die de diagnose diabetes professioneel hadden laten vaststellen of dit zelf rapporteerden.
Bij proefpersonen met parodontitis bleek de prevalentie van diabetes 13,1%. Bij proefpersonen zonder parodontitis lag dit percentage op 9,6%. De odds ratio van het hebben van diabetes was 2.27 (95 CI [1.90;2.72]) voor de groep met parodontitis, in vergelijking met de groep zonder parodontitis.
Ziukaite concludeert dat de gemiddelde prevalentie en odds ratio van het hebben van diabetes hoger zijn bij proefpersonen met parodontitis dan bij proefpersonen zonder de aandoening. Bij zelfrapportage wordt de prevalentie onderschat in vergelijking met professioneel vastgestelde diabetes. Ook werden geografische verschillen ontdekt: de hoogste diabetesprevalentie onder proefpersonen met parodontitis werd gevonden in studies die plaatshadden in Azië, de laagste in studies gedaan in Europa.
De VTMI Wetenschapsprijzen worden jaarlijks uitgereikt aan onderzoekers die zich bezighouden met onderzoek op het terrein van de medisch-tandheelkundige interactie. Het VTMI-bestuur hoopt met de prijzen (jonge) onderzoekers te motiveren tot het doen van onderzoek op het raakvlak van de tandheelkunde en de geneeskunde.
(bron: NVvP)
Tags:
NEW YORK – De ziekte van Alzheimer staat in sommige gevallen in verband met chronische parodontitis. Dat blijkt uit Deens-Amerikaans ...
DUNEDIN, NIEUW-ZEELAND – De gezondheidseffecten en bijwerkingen van marihuanagebruik zijn al lang en breed besproken door artsen, wetenschappers, ...
GUANGZHOU, CHINA – Mannen met parodontitis lopen drie keer meer kans op erectiestoornissen. Dat blijkt uit onderzoek van de Jinan University in Guangzhou....
HANGZHOU, CHINA – Een grote precisie in het plannen en uitvoeren van implantaatprocedures is belangrijk voor een hoge successcore. Om functionele en ...
BARCELONA, SPANJE - Spaanse wetenschappers hebben nieuw bewijs gevonden voor het verband tussen parodontitis en diabetes mellitus type 2. In een recent ...
GOES – “Een van de grootste zorgverzekeraars in Nederland ontkent de relatie tussen diabetes en parodontitis.” Dat meldde Friso Voerman ...
OKAYAMA, JAPAN – Onderzoekers van Okayama University hebben in een recente studie onderzocht of onvrijwillige activiteit van de wangkauwspier (m. ...
OKAYAMA, JAPAN – Aangezien parodontitis in verband is gebracht met systematische gezondheidscondities, waaronder hartaandoeningen, diabetes, kanker en ...
MINNEAPOLIS, VS ‒ Sinds de verkiezing van Donald Trump tot president in 2024 is de discussie over waterfluoridering in de Verenigde Staten steeds meer ...
LONDEN, Verenigd Koninkrijk/Nijmegen – Patiënten met ernstige vormen van gebitsslijtage kunnen een restauratieve behandeling nodig hebben. Het kan ...
Live webinar
do. 14 mei 2026
6:00 (CET) Amsterdam
Live webinar
do. 14 mei 2026
8:00 (CET) Amsterdam
Prof. Hani Ounsi DDS PhD FICD
Live webinar
di. 19 mei 2026
5:00 (CET) Amsterdam
Live webinar
di. 19 mei 2026
7:00 (CET) Amsterdam
Prof. Dr. med. dent. Ivo Krejci
Live webinar
wo. 20 mei 2026
1:00 (CET) Amsterdam
Dr. Graham Carmichael BDSc (Hons), DClinDent (Pros), FRACDS, Dr. Robert Gottlander DDS
Live webinar
wo. 20 mei 2026
3:00 (CET) Amsterdam
Live webinar
wo. 20 mei 2026
7:00 (CET) Amsterdam
Prof. Dr. med. dent. Tim Joda PhD, MSc, eMBA
To post a reply please login or register