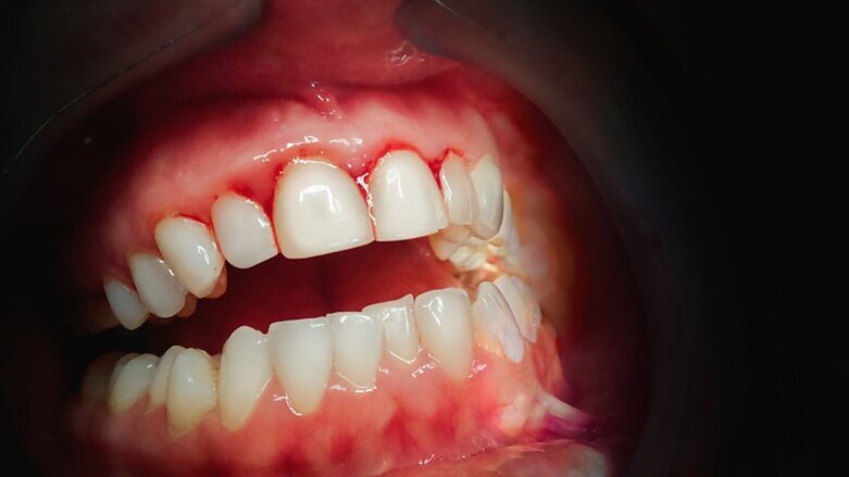
OKAYAMA, JAPAN – Onderzoekers van Okayama University hebben in een recente studie onderzocht of onvrijwillige activiteit van de wangkauwspier (m. masseter) een bepaald patroon laat zien dat samenhangt met de ernst van parodontitis. Na gedetailleerde metingen te hebben uitgevoerd bij een groep mensen variërend in de mate van parodontale aandoeningen, concludeerden de wetenschappers dat bruxisme mogelijk gerelateerd is aan de gradatie van parodontitis.
In totaal namen 31 proefpersonen deel aan de studie, waarvan 16 geen tot milde parodontitis hadden en de overige 15 matige tot ernstige parodontitis. Om de resultaten zo nauwkeurig mogelijk te meten, kregen deelnemers een draagbaar apparaat voor elektromyografie (EMG), waarmee de elektrische activiteit van spieren kan worden gemeten. Zo konden ze dag en nacht worden gemonitord.
Aanvullend op het dragen van het apparaat, moesten proefpersonen een dagboek bijhouden, waarin ze onder meer moesten aangeven wanneer zij een maaltijd aten. Zo konden de onderzoekers de data filteren op spieractiviteit die gerelateerd was aan iets anders dan het onvrijwillig knarsen met de tanden. Beweging van de tanden door spraak werd eveneens uit de gegevens gefilterd, door het monitoren van stemactiviteit middels een microfoon verbonden aan het EMG-apparaat.
Uit het onderzoek bleek dat, zowel tijdens uren die slapend als wakker werden doorgebracht, de wangkauwspier significant langer actief was in de groep met matige tot ernstige parodontitis, dan in de groep zonder parodontitis of met een milde vorm. Omdat echter andere condities in de mond, zoals het ontbreken van tanden of het gebruik van uitneembare protheses, niet meegenomen is in deze studie, net als de beperkingen van het gebruik van een EMG-apparaat, konden de onderzoekers niet met zekerheid concluderen dat bruxisme leidt tot parodontitis.
Het onderzoek, getiteld ‘Relationship between severity of periodontitis and masseter muscle activity during waking and sleeping hours’ werd op 1 maart 2018 gepubliceerd in het wetenschappelijke tijdschrift Archives of Oral Biology.
Tags:
GUANGZHOU, CHINA – Mannen met parodontitis lopen drie keer meer kans op erectiestoornissen. Dat blijkt uit onderzoek van de Jinan University in Guangzhou....
DUNEDIN, NIEUW-ZEELAND – De gezondheidseffecten en bijwerkingen van marihuanagebruik zijn al lang en breed besproken door artsen, wetenschappers, ...
MADRID, SPANJE/ PORTO ALEGRE, BRAZILIË – Hoewel wetenschappers de relatie tussen parodontitis en obesitas al eerder onderzochten, werd daarbij nooit veel...
BALTIMORE, VS – Onderzoekers van Johns Hopkins hebben nieuw bewijs gevonden voor een mogelijk verband tussen chronische parodontitis en ...
NEW YORK – De ziekte van Alzheimer staat in sommige gevallen in verband met chronische parodontitis. Dat blijkt uit Deens-Amerikaans ...
OKAYAMA, JAPAN – Aangezien parodontitis in verband is gebracht met systematische gezondheidscondities, waaronder hartaandoeningen, diabetes, kanker en ...
De jaarlijkse publicatieprijs van de Vereniging Medisch Tandheelkundige Interactie (VMTI) is uitgereikt aan ACTA-promovenda Laura Ziukaite. Zij ontving de ...
STOCKHOLM, ZWEDEN – Interdisciplinaire communicatie tussen zorgverleners is van steeds groter belang. Recent onderzoek heeft aangetoond dat patiënten met...
TURKU, Finland – Tandartsangst heeft gevolgen voor tandheelkundige behandelingen, omdat het ervoor kan zorgen dat patiënten de zorg uitstellen. Dit ...
HELSINKI, FINLAND – Sommige wetenschappers geloven dat chronische orale en tandheelkundige infecties een rol kunnen spelen bij de ontwikkeling van ...
Live webinar
wo. 14 januari 2026
6:00 (CET) Amsterdam
Dr. Théo Laplane, Dr. Robert Gottlander DDS
Live webinar
vr. 16 januari 2026
6:00 (CET) Amsterdam
Live webinar
ma. 19 januari 2026
7:00 (CET) Amsterdam
Philipp Kopp, Michael Seeber
Live webinar
do. 22 januari 2026
3:00 (CET) Amsterdam
Prof. Judith Jones D.D.S; M.P.H., Prof. Kakuhiro Fukai D.D.S., Ph.D, Dr. Bathsheba (Bethy) Turton
Live webinar
do. 22 januari 2026
8:00 (CET) Amsterdam
Dr. Nicola M. Grande DDS, PhD
Live webinar
wo. 28 januari 2026
2:00 (CET) Amsterdam
Live webinar
wo. 28 januari 2026
5:00 (CET) Amsterdam
Prof. Dr. Jan-Frederik Güth
To post a reply please login or register