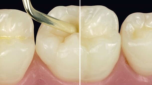
Dit nieuwe universele composiet van Dentsply Sirona combineert uitstekende handling met natuurlijke esthetiek. Dit wordt mogelijk gemaakt door de gepatenteerde SphereTEC vultechnologie. De spherische vullers zorgen voor uitstekende adaptatie en modelleerbaarheid, zonder dat het composiet aan het instrument blijft plakken! Het eenvoudige kleurensysteem dekt de hele VITA1 range af met slechts vijf kleuren dankzij het kameleoneffect.
Ceram.x universal wordt gekenmerkt door de nieuwe fillertechnologie SphereTEC; spherische, pregepolymeriseerde fillers die verantwoordelijk zijn voor de uitstekende en eenvoudige handling, eenvoudige extrusie uit de Compules Tips en uitstekende adaptatie aan de wanden van de caviteit. De mix van spherische en kleine vulpartikels zorgt voor ideale verwerking. SphereTEC heeft nog een voordeel: het oppervlak van de partikels bindt meer vrije hars dan conventionele vullers. Het resultaat is dat het materiaal niet kleeft aan handinstrumenten en daarom zeer eenvoudig te verwerken is.
Het nieuwe ceram.x universal is verkrijgbaar in vijf universele CLOUD-kleuren A1 tot A4. Deze dekken het hele VITA1-schema af en zorgen voor hoogesthetische klinische resultaten dankzij het kameleoneffect. De zeer fijne glasvullers maken eenvoudig polijsten en uitstekende glans mogelijk, wat bijdraagt aan de natuurlijke esthetiek.
Het materiaal voldoet ruimschoots aan alle huidige eisen van een modern composiet op het gebied van mechanische sterkte, gedocumenteerd in hoge buigsterkte, breukvastheid en weerstand tegen slijtage. Samengevat : ceram.x universal met SphereTEC technologie voldoet volledig aan de wensen van de tandarts!
Praktische voordelen ceram.x universal:
- Eenvoudige verwerking
- Makkelijk in gebruik en prettige modelleerbaarheid
- Adapteert uitstekend aan de caviteit
- Ingenieus en eenvoudig kleurensysteem: vijf kleuren volstaan voor de gehele VITA1 range
- Plakt niet aan instrumenten
- Snel en eenvoudig polijsten voor ongeëvenaarde glans
- Natuurlijke esthetiek
Voor meer informatie bezoekt u www.dentsply-spheretec.com. Voor bestellingen en/of vragen neemt u contact op met uw vertegenwoordiger of gaat u naar www.newceramx.nl.
Het lijkt soms of er wekelijks nieuwe composieten op de markt komen met elk een eigen set unieke eigenschappen. Welke keuze is wijsheid? Restauratief ...
Het nieuwe Ceram.X® combineert uitstekende handling met natuurlijke esthetiek. Dit wordt mogelijk gemaakt door de gepatenteerde SphereTEC™ ...
Op vrijdag 15 & zaterdag 16 mei 2020 vindt het Dental Practice Excellence event plaats met het thema ‘Jouw praktijk naar de top’. Het seminar gaat in op...
AIs praktijkhouder of -manager word je soms volledig in beslag genomen door de dagelijkse werkzaamheden. Hoe zorg je dat je actief en effectief bezig blijft...
Tijdens het eerste bezoek werd bij een 51-jarige patiënte bij rontgen- (afb. 1) en mondonderzoek een matige randaansluiting van de restauraties in de ...
Klinische evaluaties laten zien dat Scotchbond Universal voorspelbaar en veelzijdig is toe te passen met vrijwel geen post-operatieve gevoeligheid
Dezelfde succesvolle techniek, meer flexibiliteit.
Protaper Gold™ is de nieuwste toevoeging op de wereldberoemde Protaper®- familie, ontwikkeld ...
Het onderzoek aan het Academisch Centrum Tandheelkunde Amsterdam (ACTA) van de UvA en de VU is zeer goed tot excellent. Dat oordeelt een externe commissie ...
Live webinar
do. 30 april 2026
1:00 (CET) Amsterdam
Dr. Renato Leonardo D.M.D.
Live webinar
do. 30 april 2026
7:00 (CET) Amsterdam
Live webinar
zo. 3 mei 2026
6:00 (CET) Amsterdam
Dr. Rickard Brånemark MSc, MD, PhD, Dr. Robert Gottlander DDS
Live webinar
ma. 4 mei 2026
2:00 (CET) Amsterdam
Live webinar
di. 5 mei 2026
4:00 (CET) Amsterdam
Live webinar
di. 5 mei 2026
6:00 (CET) Amsterdam
Live webinar
di. 5 mei 2026
7:00 (CET) Amsterdam
Dr. Maximilian Dobbertin M.Sc
To post a reply please login or register