Werkt het schoonpoetsen van dentinecaviteiten en het restaureren van kleine caviteiten door atraumatic restorative treatment (ART) net zo goed als het restaureren met de boor of handinstrumenten? Ja, toont onderzoek aan. Bovendien is deze zogenaamde ultra-conservative treatment (UCT) minder pijnlijk en geeft deze minder zichtbare plaque.
Algemene inleiding
Causale therapie staat voor doelmatige zorg. Cariës is een gedragsziekte. De praktijk (bevestigd in onderzoek) heeft geleerd dat het behandelen van een gedragsziekte met technische middelen niet heeft geleid tot bevredigende resultaten. Zo is nog onvoldoende bekend wat er mogelijk is met het verlenen van prioriteit aan een etiologische behandeling bij alle kinderen vanaf het eerste contact. De kunst is om ouders zelfvertrouwen te geven in de verzorging van het gebit van hun kinderen. Dat is niet eenvoudig, maar wel mogelijk, zelfs bij kinderen met veel carieuze laesies van ouders met een lage sociaal-economische status.
Natuurlijk verloopt dit proces met vallen en opstaan. Het is echter een bijzondere ervaring om te zien hoe ouders in kleine stappen de regie in eigen hand nemen onder de begeleiding van een betrokken mondzorgverlener. Kinderen worden daardoor nog maar zelden blootgesteld aan de risico’s van farmacologische en invasieve interventies en met name behandeling onder algehele anesthesie. Uiteraard zijn naast causale behandeling als basiszorg regelmatig maatregelen nodig als de causale zorg niet toereikend is zonder onacceptabele risico’s te nemen. Daarbij hebben behandelingen die zo weinig mogelijk schade toebrengen aan het individu de voorkeur. In de mondzorg voor kinderen hebben kindvriendelijke behandelingen als ART en Hall-kronen de voorkeur boven traditionele restauratieve behandeling. Bij diepe cariëslaesies kan in 95% van de gevallen worden volstaan met een indirecte overkapping in plaats van een pulpotomie.
De kunst is en blijft echter om de symptomatische zorg te beperken ten gunste van de causale aanpak. Dat stelt hoge eisen aan de communicatieve vaardigheden en vele tandartsen en mondhygiënisten zullen behoefte hebben aan bij- en nascholing op dit terrein. Daarnaast is het een kwestie van langdurige training om ingesleten gewoonten te vervangen door een effectieve vorm van communicatie. Hoe meer collega’s deze weg gaan volgen, hoe groter de druk op de overheid en de zorgverzekeraars zal worden om doelmatige zorg adequaat te honoreren. Aan de hand van casuïstiek wordt getoond hoe prioritering van de etiologische behandeling de doorslag kan geven in het bevorderen van de mondgezondheid, zoals ook aan de orde kwam tijdens Voorkomen is de beste zorg, het congres van het Ivoren Kruis (november 2019). Met dat congres liep het Ivoren Kruis vooruit op de klinische praktijkrichtlijn Mondzorg voor Jeugdigen ‘preventie en behandeling van cariës’ (KNMT 2021).
In deze uitgave de bijdrage van collega Jo Frencken over de succesvolle combinatie van niet-restauratieve cariësbehandeling (NRCT) en atraumatische restoratieve behandeling (ART).
De redactie
Het is bekend dat tandcariës kan worden voorkomen door een geringe en laagfrequente inname van fermenteerbare suikers tezamen met het adequaat verwijderen van plaque van het tandoppervlak met een tandenborstel en fluoridetandpasta.
Tandenpoetsen doen veel mensen, ook al verschilt de mate van grondigheid ervan. Weinig suiker gebruiken is veel lastiger. Immers mensen moeten iets lekkers achterwege laten en dat is moeilijk. Het is belangrijk om goede hoofdmaaltijden te gebruiken om niet te hoeven snoepen voor energie. Wil je dit bereiken dan is verwijzing naar een diëtist misschien wel de geëigende weg. Daarom is het altijd belangrijk om het grondig reinigen van tandoppervlakken te benadrukken in het voorkomen van tandcariës. In veel gevallen lukt het ouders en kind(eren) om tanden en kiezen gaaf te houden. Bij anderen is dat moeilijker. Dentinecaviteiten ontstaan en de aanjager ervan moet beteugeld worden. Die aanjager is cariogene plaque. In een caviteit is die plaque op de bodem en aan de wanden te vinden. Om dezelfde reden als voor het gezond houden van gave tandoppervlakken moet plaque uit de caviteit verwijderd worden. De meest voor de hand liggende manier om dat te bereiken is door het schoonpoetsen met tandenborstel en fluoridehoudende tandpasta. Echter, de caviteit moet dan wel toegankelijk zijn. Het is duidelijk dat de toegankelijkheid in kleine caviteiten moeilijk tot onmogelijk is. Grote caviteiten kunnen gemakkelijk worden bereikt en middelgrote caviteiten kunnen vergroot worden. Dat laatste kan gebeuren met een diamantfineerboortje (afbeelding 1) of met een glazuurmes (afbeelding 2). Door het glazuurmes te plaatsen op onondersteund glazuur fractureert dit glazuur onder geringe druk en wordt voldoende toegang gecreëerd (afbeelding 3a-b). Deze poetsbehandeling van cariës wordt causale behandeling genoemd.
Mondzorg bij jeugdigen: ruimte voor early adopters
Het is een legitieme vraag wat de bedoeling is van de (kinder)tandheelkunde: cariësactieve kinderen afleveren met veel vullingen en extracties of cariës-inactieve kinderen afleveren die goed voor hun gebit zorgen?
Zoals bij elke paradigmaverschuiving heb je early adopters, de kwartiermakers, late en zeer late adopters die vertrouwen op de onjuiste zekerheden geleerd tijdens de studie. De early adopters kunnen een weg inslaan die aanvankelijk niet het gewenste resultaat levert, maar leren hiervan, sturen bij en geven niet op tot hun doel is bereikt. In deze serie willen we early adopters die in het managen van cariës een hoger doel zien dan in het routinematig restaureren aan het woord laten. Ze zullen vertellen over hun aanpak in de praktijk. We wensen u veel leesplezier, maar ook veel stof om over na te denken, te assimileren en te adopteren.
Bent u een early adopter, spreekt dit initiatief u aan en wilt u een casus delen met collega’s? Meldt u zich dan bij de initiatiefnemers en/of de redactie van Dental Tribune via redactie@dental-tribune.nl. De gevraagde bijdrage betreft vooral casuïstiek (600-700 woorden) en ondersteunend beeldmateriaal.
Cor van Loveren
James Huddleston Slater sr.
Jo Frencken
René Gruythuysen
Afbeelding 1. De diamantfineerboor FG 257/018F.
Afbeelding 2. Het glazuurmes 10-6-12.
Afbeelding 3a. Het glazuurmes wordt op het onondersteund, gedemineraliseerde glazuur van de caviteitsrand geplaatst.
Afbeelding 3b. Door geringe druk uit te oefenen fractureert het glazuur en wordt de caviteit groter en toegankelijk voor de tandenborstel.
Afbeelding 4. Tandenborstel heeft toegang tot de caviteit en de cariogene plaque kan worden verwijderd.
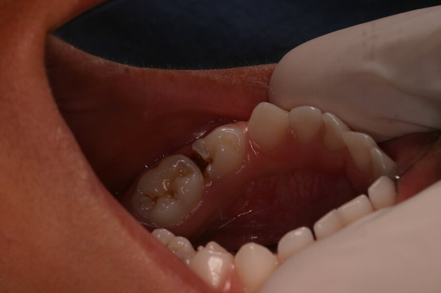
Afbeelding 5a. Onvoldoende toegankelijke caviteit mesiaal in de 65, distaal in de 64 en mesiaal in de 64.
Afbeelding 5b. De gedemineraliseerde caviteitsranden zijn onondersteund en fractureren gemakkelijk door met een glazuurmes erop te drukken.
Afbeelding 5c. De kleine mesiale caviteit in de 64 is door middel van de ART-methode gerestaureerd. De andere twee caviteiten zijn nu toegankelijk voor tandenborstel en fluoridetandpasta.
Afbeelding 6. Resultaat van de UCT-behandeling na twee jaar. De mond en caviteiten zijn schoon en het ziekteproces is tot stilstand gekomen. De ART-restauraties zien er goed uit.
De causale behandeling van gecaviteerde dentinelaesies in de tijdelijke dentitie bestaat dus uit:
- Schoonpoetsen met tandenborstel en fluoridehoudende tandpasta van toegankelijke caviteiten (afbeelding 4).
- Toegankelijk maken van middelgrote niet-toegangelijke caviteiten, behandelen volgens 1.
Kleine caviteiten kunnen gerestaureerd worden volgens de atraumatic restorative treatment (ART) (afbeelding 5a-c).
Deze gecombineerde behandelaanpak (ART en caviteit schoonpoetsen) wordt de ultra-conservative treatment (UCT) genoemd en is onderzocht in Brazilië. Bij de kinderen in de controlegroepen werden alle dentinecaviteiten in tijdelijke gebitselementen gerestaureerd met amalgaam of door middel van de ART-methode behandeld. In de experimentele groep werden de kinderen dus behandeld met de UCT-methode. De klinische uitkomstmaat was het exfoliëren van de melkmolaren en -cuspidaten zonder pathologie. Andere uitkomstmaten waren: mate van angst en ongerief, mate van zelfzorg en mate van malocclusie in het blijvende gebit.
Het onderzoek vond op basisscholen plaats. Om zeker te weten of kinderen uit de UCT-groep ook daadwerkelijk de caviteiten schoonpoetsten werd, gedurende de schoolperiode drie en een half jaar lang, het poetsen bewaakt door een medewerker.
Na drie en een half jaar moesten 9,1% van de amalgaamrestauraties, 9,6% van de ART-restauraties en 10% van de UCT behandelde gebitselementen geëxtraheerd worden (afbeelding 6).1 Dit verschil is statistisch niet significant en toont aan dat het schoonpoetsen van toegankelijke dentinecaviteiten en het restaureren van kleine caviteiten door middel van de ART-methode niet verschilt van het restaureren met de boor of met alleen handinstrumenten. Daarbij komt dat de UCT-aanpak minder pijnlijk was en niet meer malocclusie veroorzaakte dan de twee andere behandelmethoden.2,3 Maar wellicht de grootste winst voor de lange termijn werd geboekt bij de UCT-kinderen. Want de mate van zichtbare plaque bij blijvende elementen was na vier jaar significant lager dan bij kinderen van wie de caviteiten gerestaureerd waren.4 Zelfzorg door plaqueverwijdering met fluoridehoudende tandpasta loont en met een matige suikerinname (zie advies cariëspreventie van het Ivoren Kruis) zal het blijvende gebit lang meegaan.
Over de auteur
Dr. Jo E. Frencken was voor zijn pensioen in 2015 universitair hoofddocent in Weefselsparende Tandheelkunde aan de Radboud Universiteit en hoofd van de afdeling Internationale Mondgezondheid. Frencken ontwikkelde het atraumatic restorative treatment (ART)-concept. Hij werkte tussen 1977 en 1997 dertien jaar als tandarts, onderzoeker en docent in Malawi, Tanzania en Zimbabwe.
Literatuur
- MijanM, de Amorim RG, Leal SC, Mulder J, Oliveira L, Creugers NHJ, Frencken The 3.5-year survival rates of primary molars treated according to three treatment protocols: a controlled clinical trial. Clin Oral Investig. 2014 May;18(4):1061-1069.
- de Menezes AbreuDM, Leal SC, Mulder J, Frencken Pain experience after conventional, atraumatic, and ultraconservative restorative treatments in 6- to 7-yr-old children. Eur J Oral Sci. 2011 Apr;119(2):163-8.
- Gomide R, Frencken JE, J. Faber J, Kuijpers-Jagtman AM, Leal S. Cavity Treatment in Primary Molars and Malocclusion: Quasi-Randomised Clinical Trial. PeerJ. 2020.
- HilgertLA, Leal SC, Bronkhorst EM, Frencken Long-term Effect of Supervised Toothbrushing on Levels of Plaque and Gingival Bleeding Among Schoolchildren. Oral Health Prev Dent. 2017;15(6):537-542.
- Ivoren Kruis: Advies cariëspreventie (2011). ivorenkruis.nl bezocht 7 februari 2020.
Tags:
Demi Ultra van Kerr is de eerste en enige polymerisatielamp uitgerust met ultracapacitator-technologie die zich volledig herlaadt in minder dan veertig ...
UTRECHT – Volgens het Jaarverslag Tuchtcolleges voor de Gezondheidszorg 2024 werden vorig jaar 22 klachten gegrond verklaard in de 43 tuchtrechtelijke ...
Als operatieassistent ziet Rebecca Banens dagelijks de enorme hoeveelheid afval die de zorg produceert. Als kunstenaar gebruikt ze dat afval nu in haar ...
Verwissel geen batterijen, vervang polymerisatielampen: Demi Ultra LED Ultracapacitor Curing Light System
Dentsply Sirona introduceert haar nieuwe toonaangevende afdrukmateriaal Aquasil Ultra+ Smart Wetting Impression Material. Het materiaal is volledig herzien ...
WEST LAFAYETTE, Ind., VS – Xerostomie komt vaak voor bij patiënten die hemodialyse, chemotherapie of radiotherapie ondergaan en wordt sterk geassocieerd ...
Wereldwijd vormen verwondingen door naalden een van de meeste voorkomende en meest ernstige risico’s voor gezondheidswerkers. Daarom introduceert ...
Iedere vrijdag dat ik in Liverpool werk als tandarts ga ik om 06:45 uur, voorafgaand aan mijn werkdag bij Dr. Rez Dental, naar de gym. Laatst was het een ...
Wanneer je je eerste huis wilt kopen, komt er veel op je af. Wij helpen je alvast een beetje met oriënteren en zetten een aantal vragen voor je op een rij....
Wanneer je je eerste huis wilt kopen, komt er veel op je af. Arjan Wijnands, Nancy Jonkman en Thera Evers van ABN AMRO helpen je alvast een beetje met ...
Live webinar
zo. 3 mei 2026
6:00 (CET) Amsterdam
Dr. Rickard Brånemark MSc, MD, PhD, Dr. Robert Gottlander DDS
Live webinar
ma. 4 mei 2026
2:00 (CET) Amsterdam
Live webinar
di. 5 mei 2026
4:00 (CET) Amsterdam
Live webinar
di. 5 mei 2026
6:00 (CET) Amsterdam
Live webinar
di. 5 mei 2026
7:00 (CET) Amsterdam
Dr. Maximilian Dobbertin M.Sc
Live webinar
di. 5 mei 2026
9:00 (CET) Amsterdam
Live webinar
wo. 6 mei 2026
7:00 (CET) Amsterdam
To post a reply please login or register