Wat kun je doen aan glazuurdefecten en -laesies? De Italiaanse mondhygiënist Daniele Modesti raadt het gebruik van mousses op calcium- en amorfe fosfaatbasis met toegevoegde fluoride (F-ACP) aan. Effectief en evidence based en ook nog eens niet duur, makkelijk verkrijgbaar én makkelijk aan te brengen.
Glazuurdefecten en -laesies komen steeds vaker voor onder de wereldbevolking en in de loop van de jaren is een groot aantal niet-invasieve benaderingen voor de behandeling van niet-caviterende laesies voorgesteld. De vroege stadia van caviteiten worden gekenmerkt door hypomineralisatie zonder caviteitsvorming door de productie van zure metabolieten. Dit fenomeen is in eerste instantie omkeerbaar, totdat – tenzij preventief en vroegtijdig actie wordt ondernomen – het een gecaviteerde laesie lijkt, waarnaar we zullen verwijzen als een caviteit.
Glazuurlaesies
Glazuurlaesies kunnen worden onderverdeeld in kwalitatieve en kwantitatieve defecten: Kwantitatieve defecten zijn defecten met een gebrek aan glazuur, dat zich manifesteert in putjes, kloven, verlagingen of gebieden op het oppervlak van de kroon met een volledige afwezigheid van weefsel: dit staat bekend als hypoplasie.
Kwalitatieve defecten daarentegen zijn defecten waarbij glazuur van normale dikte wordt gevormd, dat echter niet hard genoeg is: dit staat bekend als hypomineralisatie. Deze laesies zijn: witte of bruine vleklaesies, fluorose, MIH, traumatische laesies en postorthodontische laesies.
Glazuurleasies kunnen worden ingedeeld in pre-eruptieve en post-eruptieve defecten. Een pre-eruptief defect is een defect dat verband houdt met genetische aandoeningen, ontwikkelingsanomalieën, voedselintoleranties, tekorten aan voedingsstoffen, omgevingsfactoren, het gebruik van geneesmiddelen of supplementen (bijvoorbeeld systemisch toegediend fluoride) en andere factoren. Het element breekt in de mondholte door met de laesie al aanwezig en zichtbaar. Een post-eruptief defect daarentegen is een defect dat uitsluitend verband houdt met de ophoping van bacteriële biofilm en de resulterende productie van zuur op het glazuuroppervlak.
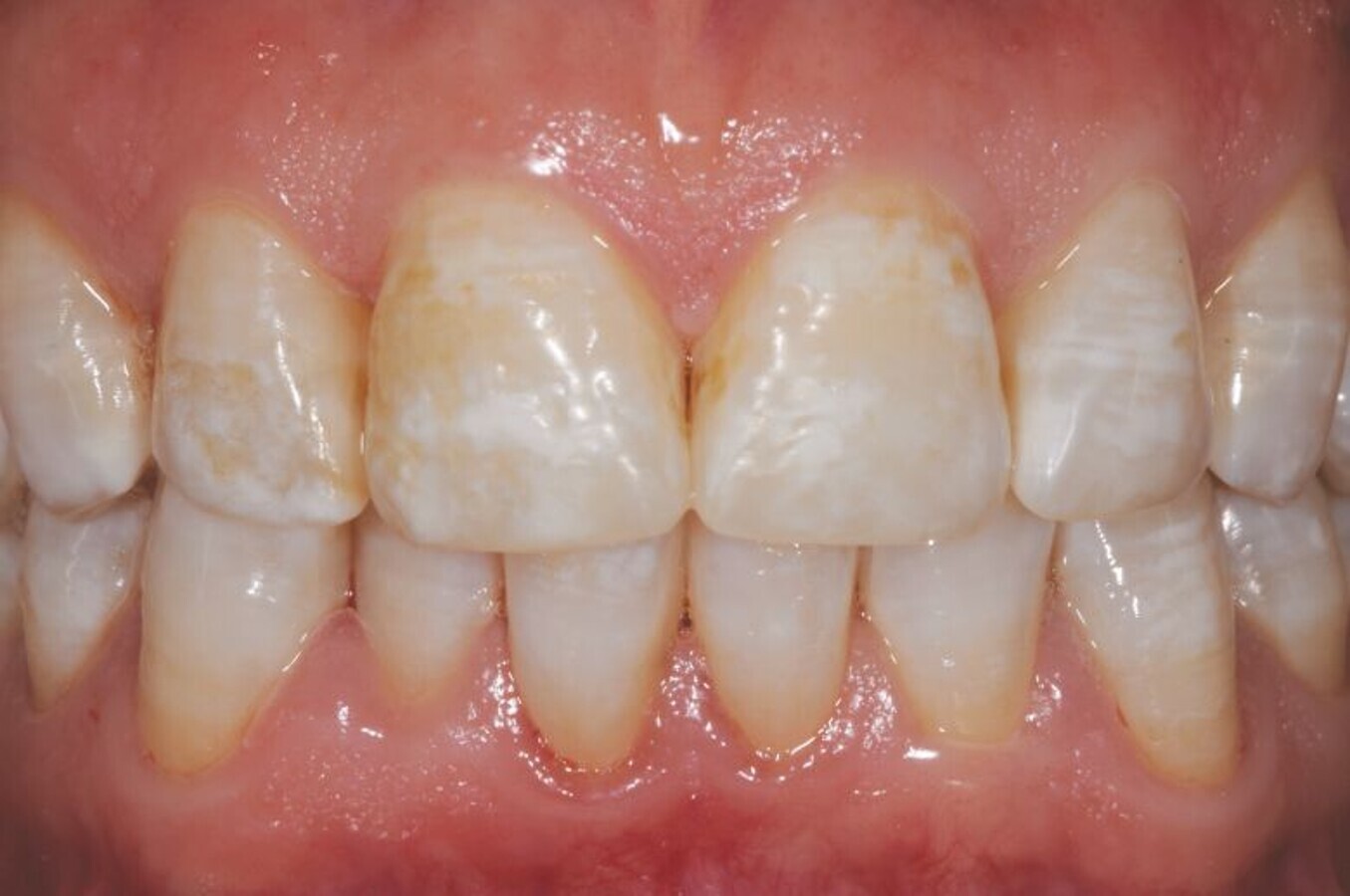
Afbeelding 1. Voor behandeling.
Mousse
Op dit moment bestaat er geen te verkiezen behandeling van deze defecten, maar de literatuur suggereert een zo veel mogelijk preventieve aanpak, uitbreidend met meer invasieve therapieën. Met betrekking tot preventie kunnen we gerust stellen dat het gebruik van mousses op calcium- en amorfe fosfaatbasis met toegevoegde fluoride (F-ACP) verreweg de meest veelbelovende aanpak is, en ook de minst dure voor de patiënt en in de meeste gevallen de enige die het defect in zijn oorspronkelijke staat kan herstellen.
Mousses hebben een breed scala aan effecten en toepassingen in de tandheelkunde: na het bleken van tanden, na een professionele mondhygiëne-reiniging of het polijsten van de wortels, bij hoge gevoeligheid voor gaatjes, gevoeligheid van de tanden, hyposalivatie, bij patiënten met gastro-oesofageale reflux of bij patiënten met hypomineralisatie van het glazuur. Mousses kunnen in vrijwel elke klinische situatie worden gebruikt, maar worden het meest gebruikt voor het behandelen van glazuurdefecten.
De toevoeging van citraat en fluoride aan de mousse versterkt de remineraliserende werking. In-vitro tests hebben zelfs aangetoond dat binnen vijf minuten na het aanbrengen de dentinetubuli minder toegankelijk worden en hydroxyapatiet opnieuw gevormd wordt. In feite wordt ACP beschouwd als een voorloper van hydroxyapatiet zelf, en door de aanwezigheid van amelogenine worden amorfe deeltjes omgezet in kristallijne mineralen.
Klinische casus
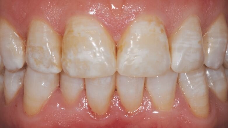
Afbeelding 2. Na 30 dagen.
De beste resultaten worden echter in vivo behaald. In deze klinische casus kwam een 37-jarige patiënt naar mij toe om haar glimlach te verbeteren. Na een grondige anamnese en de diagnose van tandfluorose (afbeelding 1), kreeg de patiënt een remineraliserende behandeling aangeboden op basis van F-ACP: Biosmalto Mousse Cavities, Abrasion & Erosion. Deze mousse wordt geplaatst in op maat gemaakte thermogevormde trays en wordt tweemaal per dag gebruikt, 20 minuten per applicatie. De patiënt kreeg het advies om het daarop volgende uur niet te spoelen, drinken, eten of roken. We vroegen de patiënt om de trays consequent aan te brengen, elke 30 dagen voor controle te komen en de behandeling aan te vullen met de remineraliserende tandpasta Biosmalto Cavities, Abrasion & Erosion en de zachte tandenborstel Curasept Soft 012, gebaseerd op de gemodificeerde Bass-techniek.
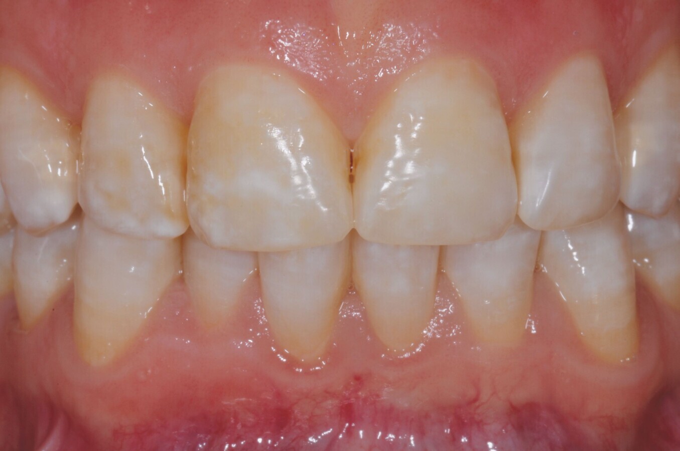
De patiënt toonde een hoge mate van therapietrouw. Ze merkte klinische verbeteringen op, niet alleen qua uiterlijk, maar ook op het gebied van gevoel (afbeelding 2 en 3). Ze rapporteerde verminderde gevoeligheid van de tanden. Tijdens controles werd een verbetering van de plaque-index waargenomen, evenals een verminderde porositeit bij gebruik van de sonde door een verbetering van de glazuur- en dentinetextuur.
Afbeelding 3. Na 70 dagen.
Omdat de mousse geen water bevat, heeft deze een veel snellere afgifte en zijn de vrijgekomen moleculen kleiner, wat een betere interactie met het tandoppervlak mogelijk maakt. Dit zorgt voor een grotere effectiviteit dan tandpasta. Bovendien heeft de mousse een hoge viscositeit en is deze gemakkelijk verkrijgbaar. Het protocol is gemakkelijk toe te passen en niet te duur voor de patiënt. Maar belangrijker nog, het is in overeenstemming met wetenschappelijk bewijs.
Wie als tandarts een eigen praktijk begint, wordt automatisch ook leidinggevende. Terwijl in de opleiding Tandheelkunde amper aandacht wordt besteed aan ...
MELBOURNE, AUSTRALIË – Tandverlies kan een grote invloed hebben op sociale interacties en zelfvertrouwen. Het is bekend dat een slechte mondgezondheid ...
Als zzp’er in loondienst gaan, is een scenario dat binnen onze beroepsgroep de laatste tijd weer vaker op tafel ligt. Daarbij staan we voor een lastige ...
De positieve effecten van muziek op de pijnbeleving en het welbevinden van patiënten zijn al lang bekend. Het in december 2025 verschenen proefschrift van ...
Het Q-Keurmerk en het Kwaliteitsregister Tandartsen (KRT) willen de kwaliteit van nascholing verhogen. Accreditatie is daarvoor het aangewezen instrument. ...
PARMA - Een gezondheidsclaim van FrieslandCampina, waarin gesteld wordt dat toevoeging van calcium aan zure vruchtensappen het risico op tanderosie ...
Hagay Shemesh is aangesteld als hoogleraar Endodontologie bij ACTA. Hiermee krijgt het vakgebied Endodontologie voor het eerst een eigen volwaardige ...
Studenten Tandheelkunde Anne Landwer Johan en Rosemarijn van de Woestijne zijn de winnaars geworden van de Backer Dirks Preventieprijs 2026. Ze kregen de ...
Een tandartspraktijk met bioscoop, speelhal en zelfs een heuse mascotte. Het klinkt als een bijzondere combinatie, maar bij het Amerikaanse Rodeo Dental ...
To post a reply please login or register