In het interview dat Dental Tribune hield met Paul de Kok vertelt hij dat het bij de behandeling van een verkleurde tand vaak heel moeilijk is de balans te vinden tussen zo min mogelijk schade en een optimaal resultaat. Dit vanwege de geringe voorspelbaarheid voor de langere termijn. In bijgaande casus geeft Paul de Kok aan tot welke oplossing hij is gekomen bij een jonge vrouw met een (gerestaureerde) verkleurde voortand.
Vaak kan een verkleurde voortand minimaal invasief behandeld worden, door het element extern (vitaal) of intern (avitaal) te bleken. Soms is de verkleurde voortand echter al in een eerdere fase gerestaureerd en is opnieuw restauratief ingrijpen noodzakelijk om de esthetiek te verbeteren. In deze casus gaat het om een jonge vrouw met een hoge lachlijn die zich stoorde aan deze donker verkleurde 21. Het element is vitaal, geoblitereerd en in het verleden al eens met composiet gerestaureerd. Gezien haar prachtige verdere dentitie en hoge esthetische verwachtingen heb ik in dit geval gekozen voor herbehandeling met een adhesieve keramische restauratie.
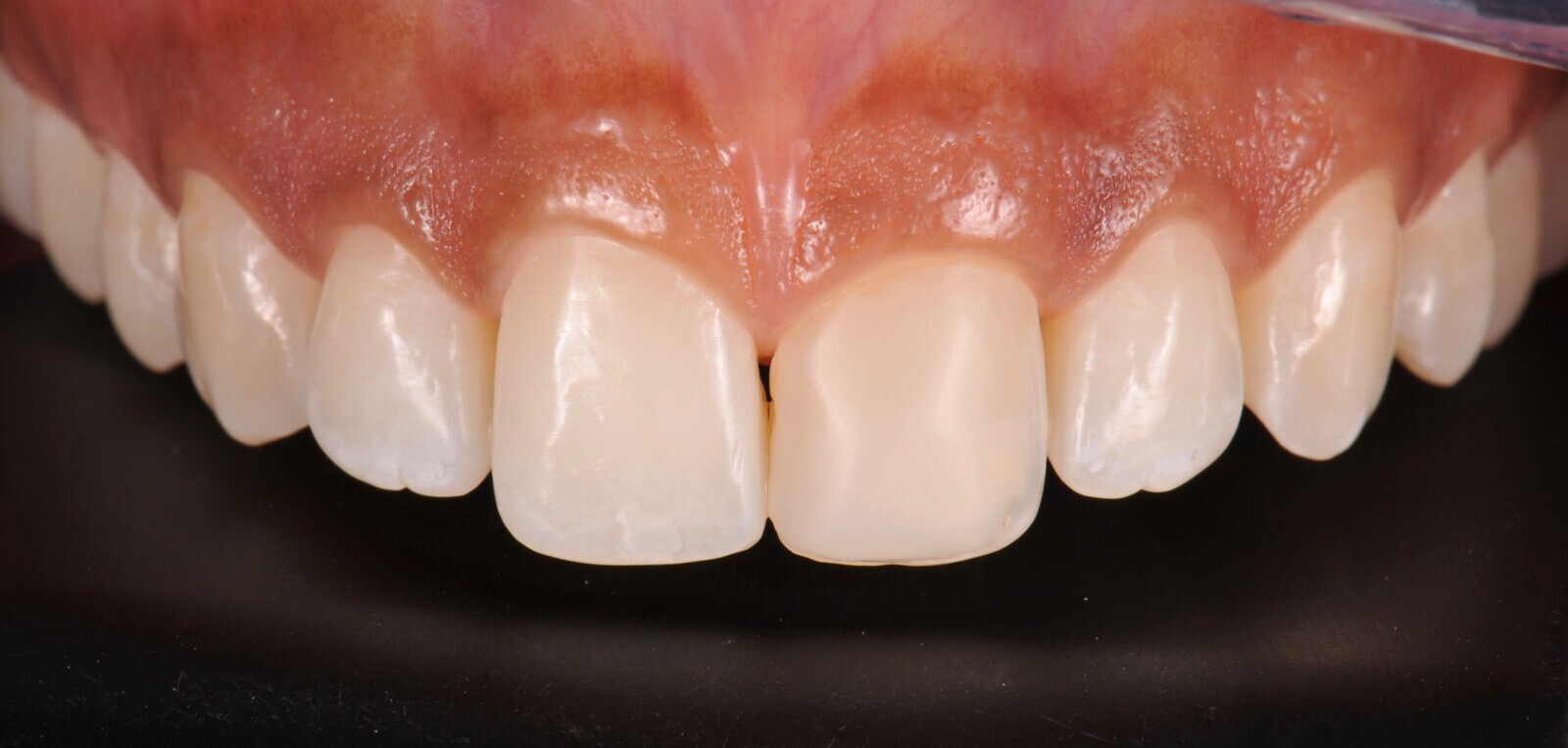
1. Situatie bij intake.
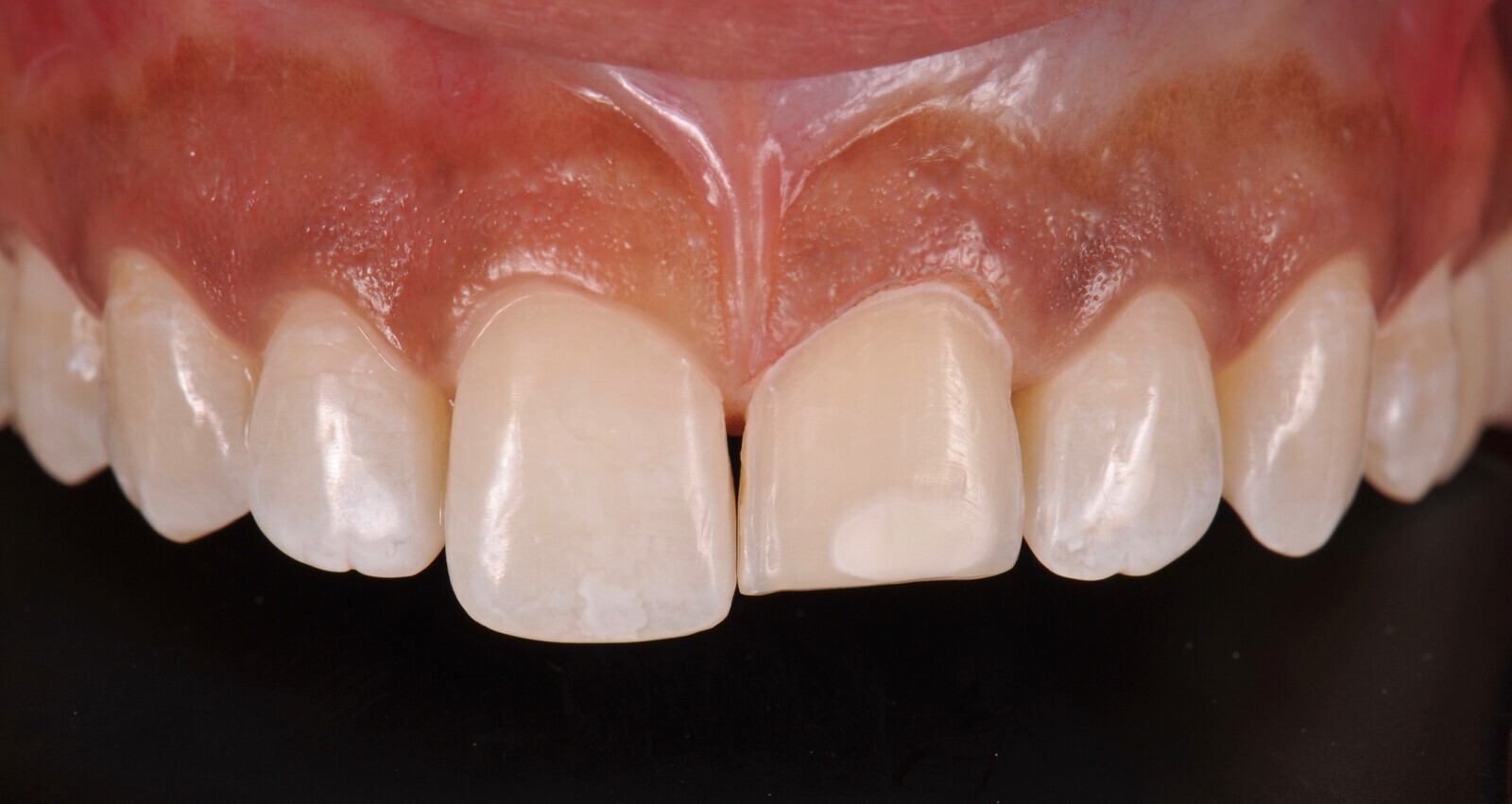
2. Na bonesounding bleek er voldoende afstand tot de botpiek aanwezig om de overmatige gingiva voorspelbaar te verwijderen met behulp van een gingivectomie met de elektrotoom.
3. Om een gelijkmatige dikte van 0,5 mm te verkrijgen over het gehele oppervlak wordt de preparatie buccaal gestart met deze deptcutter. Vooraf zijn er rillen van 1,5 mm incisaal geslepen om de keramist daar straks voldoende ruimte te geven voor het aanbrengen van mamelons en incisale transparantie.
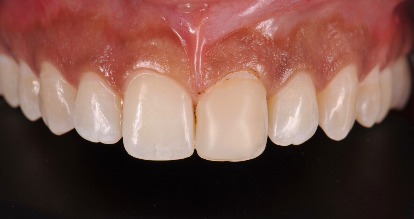
4. De preparatie na afronding met een equigingivale schouder van 0,5 mm, recht aflopend palatinaal en eindigend voor de contactpunten.
5. De restauratie van buccaal opgebakken lithiumdisilicaat wordt onder rubberdam geplaatst voor optimale controle over het adhesieve proces.
In 2018 werd patiënte naar de KvPA doorverwezen om te kijken of de esthetiek van met name het bovenfront verbeterd zou kunnen worden. Het betreft hier een ...
Monique is een jonge vrouw van 25 jaar met een licht verstandelijke beperking. Ze is één keer eerder voor een kennismaking bij tandarts Sanne geweest. Ze ...
Twee particuliere opleidingsinstellingen mogen het kwaliteitskeurmerk ABC Mondzorgassistenten gaan voeren. Het keurmerk geeft studenten de zekerheid dat ze ...
“You got to make time for your wellness or your body will make time for your sickness.” Die uitspraak hoorde ik onlangs tijdens mijn werk als associate ...
In onze vorige zzp-update in Dental Tribune schreven wij onder meer over de ontwikkeling van het wetsvoorstel Vbar.1 Voor meer duidelijkheid over de grens ...
To post a reply please login or register