Samen met Mattijs Stalpers van Nederlandse Vereniging van Orthodontische Studie (NVOS) nam Natasha Lioubavina van de Nederlandse Vereniging voor Parodontologie (NVvP) het initiatief voor een congres over de raakvlakken tussen orthodontie en parodontologie. Bij goede samenwerking en overleg kunnen die elkaar versterken met betere behandelresultaten tot gevolg. Dental Tribune sprak met Natasha Lioubavina in aanloop naar het congres ‘De kracht van Samen’.
Hoe is het idee voor dit congres geboren? Parodontologie staat nooit alleen. Zeker bij de complexe gevallen hebben we andere specialisten nodig. We werken dus ook samen met orthodontisten. Samen met Mattijs Stalpers van de NVOS ben ik heel blij dat we dit congres kunnen organiseren. Het is bijvoorbeeld duidelijk dat het streven naar mooie gebitten en perfectie door orthodontie ook problemen met zich meebrengt. Bij onvoldoende ruimte in het kaakbot of bij genetisch niet optimale vormen kunnen elementen net buiten het bot gaan staan. Aanvankelijk ziet het tandvlees er mooi uit, maar na verloop van tijd kan het – vooral in de onderkaak – zich terugtrekken met kans op parodontale problematiek, zoals gingivale recessies.
Vaak kunnen de recessies goed behandeld worden door de elementen orthodontisch terug in een goede positie te zetten. Maar in sommige gevallen is dit niet mogelijk, omdat de botdikte onvoldoende is. Dat zou weer risico geven op teruggetrokken tandvlees aan de binnenzijde van het bot. Dat is nog lastiger te poetsen of te controleren en behandelen. Bij ernstige recessies gaat er veel tandvlees en bot verloren waardoor ontstekingen bij de lipplooi en wortelapex kunnen ontstaan. Orthodontisten of tandartsen die orthodontie doen weten dan niet altijd wat ze moeten doen. Overleg met een parodontoloog is dan raadzaam. Daarin ligt de kracht van samen; niet voor niets de titel van het congres.
Zijn de zorgprofessionals te weinig op de hoogte van deze problematiek? Een probleem is dat veel tandartsen die orthodontie doen soms maar een korte opleiding of een aantal cursussen hebben gevolgd. Wie met orthodontie start, heeft op dat moment de regie. Dat betekent dat hij of zij ook alles moet weten om de beste behandeling te kunnen bieden. Orthodontisten zijn al wel een tijdje bekend met complicaties door verkeerde spalken. Die kennis is er echter niet bij iedereen. Na afloop van een orthobehandeling moet alles vastzitten. Maar soms zijn spalkjes niet goed geplaatst of zijn ze nog actief en bewegen ze elementen. Ook wordt er soms verkeerd draadmateriaal gebruikt, waardoor de spalk zelf als orthodontische apparatuur werkt en tanden in de verkeerde richting stuurt met botafbraak en recessies tot gevolg. Op het congres gaat orthodontist prof. Katsaros de problematiek van diverse spalken breed toelichten.
Vroeger werd wel gezegd dat er parodontaal niets gedaan kon worden bij recessies en dat de tand eerst terug in het bot gezet moest worden. Maar dat is niet altijd zo. Soms kun je direct met mucogingivale chirurgie starten om recessies te bedekken. Een andere keer is juist eerst een orthodontische herbehandeling nodig. Dat vereist goede afstemming. Dus voor een optimale behandeling hebben orthodontisten en parodontologen elkaar nodig.
Bij orthodontie moet je er dus altijd rekening mee houden dat zich parodontale problemen kunnen voordoen? Dat willen we inderdaad breed communiceren. Je moet weten of er voldoende bot en voldoende ruimte is. En je moet vooraf, met name bij volwassenen, een brede ortho- en ook paro-analyse maken van de risico’s. Patiënten met dun tandvlees zijn bijvoorbeeld extra kwetsbaar voor krimp van tandvlees en recessie. Je moet dan goed kunnen analyseren of een orthodontische behandeling mogelijk is.
Is die analyse goed te doen? Goed te doen? Die analyse is noodzakelijk. Ik krijg in mijn verwijspraktijk vaak foto’s toegestuurd met botafbraak en de vraag of een orthodontische behandeling mogelijk is. Maar een foto alleen is niet voldoende. Je moet een klinisch beeld hebben, het type tandvlees bepalen, de structuur van tandvlees en de hoogte en dikte kennen. Er zijn criteria voor bijvoorbeeld plaquescores, de diepte van de pockets, ontstekingen en de kwaliteit van het parodontium. Prof. dr. Conchita Martin uit Spanje, de tweede spreker op het congres, loopt al die protocollen met ons langs. Ze gaat ook in op het type parodontitis en de behandelmogelijkheden voor orthodontie. Zeker bij fase III en IV van parodontitis zijn er heel strikte criteria voor orthodontische behandeling. Studies laten zien dat ook bij stadium IV van parodontitis met botafbraak je nog steeds gecontroleerde correcte orthodontie kunt doen met goed resultaat. Maar je moet wel weten hoe en samenwerken met mondhygiënisten en parodontologen.
Wordt er nu vaak te snel een orthodontische behandeling gestart zonder dat de – parodontale – risico’s in kaart zijn gebracht? Dat is punt 1. En punt 2: mondhygiënisten en ortho- en paro-assistenten moeten ook snel problemen kunnen signaleren. Die zien patiënten namelijk veel vaker dan tandartsen, ook in de retentieperiode na orthodontie. Die moeten weten waar ze op moeten letten. Waar begint een recessie, waar een ontsteking, wat is een indicatie dat het niet goed gaat? De Zwitserse dr. Christoph Ramseier gaat daar op het congres op in en vertelt hoe je gebruik kunt maken met mathematische algoritmes van megadata. Met AI kun je mede op basis daarvan gepersonaliseerde zorgprogramma’s maken. Om een simpel voorbeeld te geven: je kunt dan bepalen hoe vaak en in welke termijnen een patiënt terug moet komen voor controle.
Is er veel belangstelling voor het congres? We hopen van wel, omdat steeds meer tandartsen orthodontie doen. En ook omdat we zien dat steeds meer tandartsen serieuze vragen hebben over wat ze moeten doen. Soms hebben ze geen idee welke recessies wel of juist niet behandeld kunnen worden door middel van chirurgie. Welke ernstige recessies kunnen en moeten aangepakt worden om de tanden niet te verliezen? Dat willen we systematisch op een rijtje zetten. Op het congres komen alle belangrijke vragen aan bod.
Een van de belangrijke onderwerpen is de behandeling van een trauma. Parodontologie speelt daarin ook een enorme rol, want het parodontale ligament is de meest kwetsbare orgaansoort qua structuur na een acuut letseltrauma. Als je er veel kracht op zet, verkeerde orthodontie doet, of verkeerd spalkt, kun je necrose van het parodontale ligament veroorzaken met wortelresorptie en wortelankylose tot gevolg. Behandel je met beleid en met de juiste protocollen dan kun je de tanden rustig terugzetten met mooie resultaten en levend parodontaal ligament. Dan hoef je misschien ook niet direct een wortelkanaalbehandeling te doen. Dr. Nestor Tzimpoulas, een topspecialist uit Griekenland, gaat daar als eerste spreker uitgebreid op in.
Houden mondzorgverleners nu bij een trauma soms te weinig rekening met de parodontale situatie? Traumatologie is vaak een onderwerp bij endo-congressen. Ik vind het belangrijk om dit ook bij een parocongres te bespreken, omdat mondhygiënisten en assistenten niet zo snel endo- of kaakchirurgiecongressen bezoeken. Maar ook zij moeten weten wat ze bij een trauma moeten doen. Spalken zijn ook vereist bij tandletsel. Dus het onderwerp past ook prima op een paro-ortho-congres.
Waar gaat het in uw eigen lezing over? Ik ga praten over chirurgie bij recessies na orthodontische behandeling, in verschillende situaties en bij verschillende defecten. Ik laat zien wat er gebeurt bij gebruik van een verkeerde spalk of als risicofactoren niet goed zijn geanalyseerd of niet goed zijn gevolgd na orthodontie. Ik vertel ook wanneer we patiënten eerst kunnen behandelen met bijzondere parodontale chirurgie in combinatie met bindweefseltransplantatie (zie ook de casus over tandvleesreconstructie, red). In andere gevallen, met name bij inclinaties van de wortels, is het noodzakelijk om een eerst een orthobehandeling te herstarten en tanden in de juiste positie te zetten. Daarna kan een parodontoloog evalueren of mucogingivale chirurgie nodig is. Op dit moment lopen veel patiënten onnodig jaren met problemen rond. Samen kunnen wij hen met juiste informatie en behandeling helpen.
Is het niet een risico van dit congres dat parodontologen orthodontisten of tandartsen voor orthodontie gaan zeggen hoe ze het beter moeten doen? Nee, nee, het is geen vechtpartij. Het gaat om objectieve data en objectieve analyses op basis waarvan je samen het beste behandelplan kiest. Als wij dat netjes aankaarten heeft iedereen daar voordeel van. Veel studies hebben dat al aangetoond. Wij kunnen ook veel leren van de lezingen van prof. Yijin Ren en prof. Christos Katsaros over versnelde orthodontische tandverplaatsing en interdisciplinaire paro-ortho behandelstrategieën. Kortom, paro-ortho teams kunnen niet zonder samenwerking met elkaar.
Wat is de belangrijkste boodschap van het congres? Kennis opbouwen en delen met alle leden van ortho- of paroteams. Beter weten wat de mogelijkheden van parodontologie of orthodontie zijn. Weten wat de protocollen zijn en welke informatie voor patiënten belangrijk is. En van nieuwe ontwikkelingen en materialen op de hoogte zijn. Hoe doe je orthodontie bij paropatiënten en wat is ieders rol daarbij? En hoe doe je dat gecontroleerd? Dan leidt dat waarschijnlijk tot minder problemen en betere resultaten.
Biografie dr. Natasha Lioubavina-Hack
Na haar studie Tandheelkunde in Moskou volgde Natasha Lioubavina de opleiding voor parodontologie en implantologie in Århus, Denemarken. Ze deed daar haar promotie over botregeneratie met membraantechniek. Tijdens die opleiding leerde ze haar man Bernd Hack kennen, die de opleiding tot orthodontist volgde. In 1999 vestigde Lioubavina zich in Nederland, waar ze de eerste zes jaar in een groepspraktijk in Zaltbommel werkte. In die tijd behaalde ze ook haar certificaat als erkend NVvP-parodontoloog. Vervolgens werkte ze ook in de Praktijk voor Parodontologie in Rotterdam, om in 2005 met haar eigen verwijspraktijk Kliniek De Meern voor parodontologie en implantologie te starten. Sinds vijf jaar is ze bestuurslid van de NVvP als congresorganisator. Vanaf vorig jaar is ze ook vicepresident NVvP.
NVvP-NVOS congres 22 november De NVvP en de NVOS organiseren op 22 november het paro-ortho congres ‘De kracht van samen’ in Gooiland Hilversum. Het is Mattijs Stalpers en Natasha Lioubavina gelukt om een aantal internationale en nationale topexperts vast te leggen voor het congres. In de ochtend is er een plenair programma, ’s middags is er een parallelprogramma voor mondhygiënisten en assistenten. Maar het staat ieder vrij te volgen wat hij of zij interessant vindt.
Naast de al genoemde sprekers, vertelt logopedist Mayke Drost over de effecten van afwijkend tonggedrag op de groei van de kaken, mondademing en spraakfuncties. Ook spreekt zij over classificaties van tong- en lipbandjes en indicaties voor behandeling. Mondhygiënisten en assistenten hebben langdurig werk aan de stoel. Mondhygiënisten Pascale Hemelrijk houdt een voordracht over ergonomie. Uit persoonlijke ervaring vertelt zij hoe lichamelijke klachten voorkomen kunnen worden door het toepassen van juiste houding en specifieke oefeningen.
In een praktische voordracht belicht Bas Leempoel alle ins en outs over intraorale scanners, 3D-printers en 3D-beeldenanalyse en de meerwaarde van AI bij röntgenanalyse.
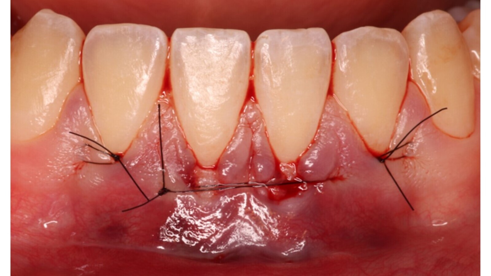
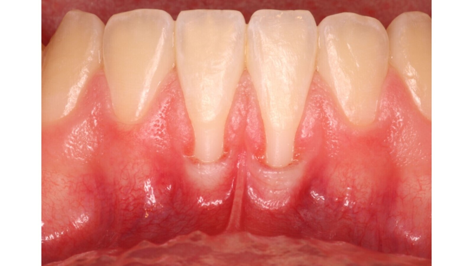
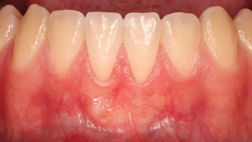
Casus tandvleesreconstructie Aan de hand van casussen gaat Natasha Lioubavina in op tandvleesreconstructie. Hier een van de voorbeelden.Een 16-jarige patiënt maakte zich veel zorgen over de recessies bij de ondertanden die binnen drie jaar na de orthobehandeling snel zijn ontwikkeld (fig. 1). De wortels van de 31-41 staan buiten het kaakbot maar wel parallel, zonder inclinaties.Zijn zelfzorg was optimaal. Daarom werd besloten, in overleg met zijn orthodontist, om mucogingivale chirurgie direct uit te voeren. Na een correctie van het korte frenulum waren beide wortels bedekt met een bindweefseltransplantaat uit het palatum door middel van een tunnelingtechniek (fig. 2). Deze behandeling was successul in de volledige eliminering van beide gingivale recessies. Orthoherbehandeling was hier niet nodig (fig. 3).
Figuur 1 Dubbele recessies bij centrale ondertanden bij een 16-jarige patiënt drie jaar na orthodontie. Zichtbaar zijn de buccale positie van de wortels buiten het kaakbot en de hoge aanhechting van het korte frenulum (foto: Natasha Lioubavina-Hack).
Figuur 2 Bedekking van beide recessies met palatinaal bindweefseltransplantaat tijdens tunneling mucogingivale chirurgie (foto: Natasha Lioubavina-Hack).
Figuur 3 Volledige eliminatie van recessies twee jaar na de chirurgie. Verbetering van het gingivale fenotype en de tandprognose, belangrijk bij de jeugd (foto: Natasha Lioubavina-Hack).
Kwetsbare ouderen, agressieve, angstige of intimiderende patiënten, kinderen die mogelijk misbruikt zijn, patiënten met een andere culturele achtergrond ...
LIVERPOOL, VK Volgens een onderzoek van de Britse regering uit 2023 heeft zo´n 17% van de Britse huishoudens te maken met voedselonzekerheid. Onvoldoende ...
LIVERPOOL, VK Volgens een onderzoek van de Britse regering uit 2023 heeft zo´n 17% van de Britse huishoudens te maken met voedselonzekerheid. Onvoldoende ...
Met de groei van het aantal implantaten is ook het aantal peri-implantaire ontstekingen toegenomen. Lange tijd werd dit probleem onvoldoende onderkend. Met ...
Hoogleraar Paul van der Stelt mag dan al sinds 2013 gepensioneerd zijn, hij is nog steeds gepassioneerd bezig met digitale beeldvorming en beeldverwerking. ...
Een moderne praktijk drijft op het team waarbij de cultuur op samenwerken en verbeteren is gericht. Dat is veel makkelijker gezegd dan gedaan. Maar het is ...
In 2017 organiseerde de European Federation of Periodontologie (EFP) in samenwerking met de American Academy for Periodontology (AAP) een World Workshop ...
AMSTERDAM Naar schatting ondervinden 500.000 mensen barrières in de toegang tot mondzorg als gevolg van financiële problemen. Met de campagne ‘Kiezen ...
Opleiding
Live webinar do. 30 april 2026 1:00 (CET) Amsterdam
Inmiddels heb ik de maatschap van helder achter mij gelaten en heb ik een eerste stap gezet om het leven als pensionado te ontdekken. Uit vrees mijn dagen ...
In het Verenigd Koninkrijk zijn in 2025 in ziekenhuizen 33.976 tandextracties bij kinderen uitgevoerd vanwege cariës. Dat komt neer op elk kwartier een ...
To post a reply please login or register