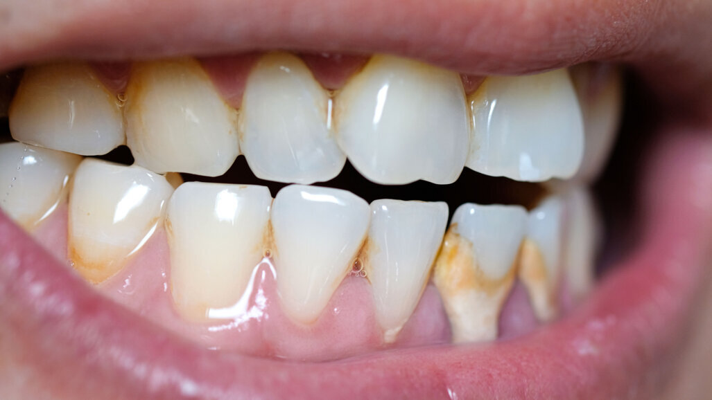
Charlotte Jorna van Tandartsenpraktijk Jorna in Deventer dong mee naar de PreventiePrijs 2024 van het Ivoren Kruis en Dental Tribune. Ze won met haar inzending geen prijs. Maar de manier waarop ze haar patiënten uitlegt hoe tandplak eruit ziet is beeldend en de moeite van het vermelden waard.
Al sinds mensenheugenis voert het menselijk lichaam een strijd met bacteriën, en tandplak is daar een bijzonder product van, zo schrijft ze in haar inzending. Om te vervolgen met: “Bacteriën in de mond hebben ontdekt dat het slim is om een kleverige substantie uit te scheiden, waar ze hun gezinnen in kunnen stichten en uitbreiden, voedsel kunnen vangen en naar hartenlust kunnen muteren tot een agressief volkje dat tandmateriaal en kaakbot op knabbelt om zo door de beschermlaag van de menselijke afweer heen te breken.”
Maar hoe leg je dat simpel uit aan een patiënt? Jorna trekt de vergelijking met een spinnenweb dat je met de tuinslang niet weg krijgt. Daar is echt wat noeste arbeid met een borstel of doek voor nodig en soms ook een keukentrapje als het web hoog zit. Zo laat tandplak zich ook slechts moeizaam verwijderen van het tandoppervlak, vooral in de interdentale ruimtes en aan de achterkant van elementen. Jorna: “Zoals de spin zich tot haar web verhoudt, zo verhoudt de bacterie zich tot tandplak. Niet alleen met het kunnen plakken, maar ook met het vangen van voedsel.”
Ze heeft ook een vergelijking paraat over het vormen van tandsteen. Dat is als met een kalkkring in de wasbak, aldus Jorna. Zo’n plek in de wasbak ontstaat vaak rond de plek waar het water het eerst het oppervlakte raakt. Tandsteen ontstaat doordat kalk zich vastzet in de tandplak, waarbij speekselklieren als het ware fungeren als kraantjes. In de wasbak kun je dat verhelpen door flink te schuren met een spons of met anti-kalk-middelen. Maar meestal wordt de wasbak daar niet mooier van. Ook in de mond pakken die middelen en extreem schuren niet zo goed uit, omdat het tandoppervlak dan wordt aangetast. Jorna adviseert daarom met beleid tanden te poetsen. Dat geeft het beste resultaat. Net zoals het beter is elke dag met een doek de wasbak schoon te houden.
Als het gaat om tandplak verwijderen en mondhygiëne, zweert Jorna bij grootmoeders opvoedkundige advies: rust, reinheid en regelmaat. Mocht er toch tandsteen ontstaan, laat dit dan met regelmaat door een mondzorgprofessional verwijderen. Maar de patiënt die de adviezen ter harte neemt en de juiste hulpmiddelen inzet, zou die in principe hiervoor niet nodig moeten hebben, aldus Jorna.
Sinds dit jaar werkt Casper Bots om de week twee dagen in tandartspraktijk Dr. Rez Dental in het Engelse Liverpool. In zijn columns in dit blad verhaalt hij...
De groeiende stroom vluchtelingen naar Nederland is niet alleen logistiek en politiek een uitdaging, maar vraagt ook veel van de (mond)zorg. In deze voor de...
AMSTERDAM – Eind september namen twintig jonge ambitieuze tandartsen deel aan een hackathon, een bijeenkomst waar in een korte tijd een innovatieve ...
Een doodgewone avondopening in een tandartspraktijk. De laatste patiënten lopen in en uit, de voorbereidingen voor de volgende dag beginnen al. Tot de ...
Het vergt de nodige lef om psychiatrisch patiënten te willen behandelen, ook de ‘ernstige’ gevallen. Wat komt de mondzorgprofessional bij ...
DEN HAAG – Zoals gebruikelijk in formatietijd wordt breeduit gespeculeerd over welke ideeën wel en niet een plaats krijgen in het regeerakkoord. ...
Vorig jaar bestond de Nijmeegse opleiding Tandheelkunde aan het Radboudumc zestig jaar. Met een vertraging van een jaar wordt dat in mei gevierd met een ...
UTRECHT – Vrijdagochtend 25 maart stak een man een tandarts in de hals, omdat hij het niet eens was met een eerdere spoedbehandeling. De man eiste zijn ...
KATHMANDU, NEPAL – Een verwoestende aardbeving op 25 april, de ergste in meer dan 80 jaar, kostte ongeveer 10.000 Nepalezen het leven. Huizen en ...
LEEUWARDEN – Kinderboeken worden gezien als een belangrijk onderdeel van de opvoeding. Zij geven het opgroeiende kind een – vaak pedagogisch ...
Live webinar
wo. 15 april 2026
2:00 (CET) Amsterdam
Dr. Bruce McFarlane Certified Specialist in Orthodontics Fellow: Royal College of Dentists of Canada Diplomate: American Board of Orthodontics
Live webinar
wo. 15 april 2026
8:00 (CET) Amsterdam
Live webinar
do. 16 april 2026
2:00 (CET) Amsterdam
Linda Hecker MS, BSDH, RDH
Live webinar
do. 16 april 2026
6:00 (CET) Amsterdam
Dr. Pär-Olov Östman, Dr. Robert Gottlander DDS
Live webinar
vr. 17 april 2026
6:00 (CET) Amsterdam
Live webinar
vr. 17 april 2026
7:00 (CET) Amsterdam
Dr. Stuart Yeaton BDentSc, MOrth
Live webinar
ma. 20 april 2026
7:00 (CET) Amsterdam
Dr. Alberto Monje DDS, MS, PhD
To post a reply please login or register