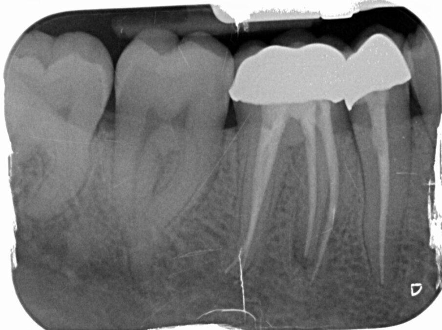
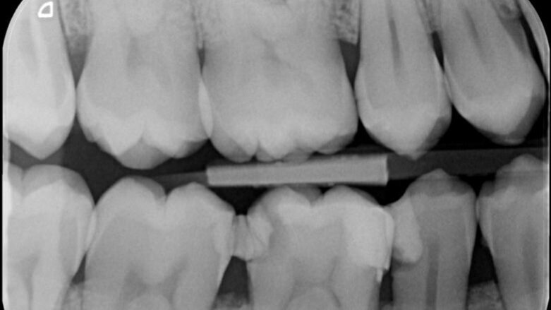
Vier jaar geleden meldde zich een patiënt in onze praktijk met heftige pijn in de regio 46. Na een blik op de bitewing en op de apicale röntgenopname (afbeelding 1 en 2) is de indicatie endodontische behandeling 46 snel gesteld.
Vier jaar geleden werd ook een nieuw roterend instrument geïntroduceerd op de Nederlandse tandheelkundige markt: WaveOne. Deze bestond al, maar in de uitvoering gemaakt van conventioneel nikkeltitanium. Het nieuwe eraan was destijds dat het instrument beschikbaar werd in de ‘gold’-versie. Het nikkel-titanium wordt dan blootgesteld aan een hittebehandeling die ervoor zorgt dat het materiaal beter weerstand kan bieden aan vermoeiing. Vermoeiing treedt onvermijdelijk op wanneer we het instrument gebruiken voorbij een curve in een radix. Het instrument werd ons door Dentsply welwillend ter beschikking gesteld om het uit te proberen.
Hoe werkt het? WaveOne-vijlen worden gebruikt in een 150°-rotatie tegen de klok in, gevolgd door een 30°-rotatie met de klok mee. De vijl is linksdraaiend gefabriceerd, zodat deze bij 150° tegen de klok in zichzelf het kanaal in werkt. De 30°-rotatie met de klok mee is de werkslag waarbij het dentine waarmee de vijl in aanraking is, wordt verspaand. Op de vijl moet, in tegenstelling tot ProTaper Universal, enige axiale druk uitgeoefend worden. De vijl werkt snel en produceert dus veel dentinevijlsel. Daarom moet er frequent gewisseld worden met de handvijl om dentinevijlsel in suspensie te houden.
De lengte van de kanalen was ongeveer 25 millimeter. Na openen en toegang verkregen te hebben tot het bovenste 2/3 gedeelte van de radix werd het apicale deel van de kanalen benaderd met behulp van SS K-vijlen 08 en 10. We maakten de kanalen doorgankelijk (‘patent’, een term van professor Herbert Schilder) en maakten het kanaal zodanig glad dat we een nieuwe rechte K-vijl zonder te manoeuvreren moeiteloos op de door de elektronische lengtemeter vastgestelde lengte kunnen laten glijden.
Dan zijn we klaar voor het introduceren van WaveOne Gold Primary. Volgens de fabrikant Dentsply kan in het merendeel van de gevallen deze vijl gebruikt worden en de kanalen geprepareerd: het 1-vijlconcept.
De eindfoto’s stemmen tot optimisme. Röntgenologisch lijkt voldaan aan al de eisen die Schilder aan de vorm van geprepareerde kanalen stelde.
1. Originele anatomie behouden
2. Continue taper
3. Foramen zo klein als praktisch
4. Positie van het foramen behouden
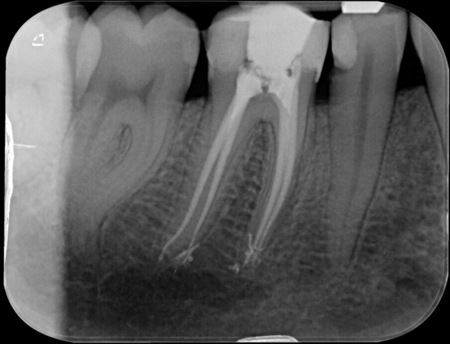
Er lijkt sprake van een gevuld systeem (afbeelding 3 en 4). De puffs in de laatste paar millimeter hebben geen klinische betekenis, maar zijn een normaal bijverschijnsel bij het obtureren van kanalen met een hydraulische obturatiemethode, gebruik makend van warme guttapercha. Hier kozen we voor Thermafil, wat een uitstekende reputatie heeft en de preferente vulmethode is van veel eminente clinici, zoals Buchanan en Ruddle. Vol vertrouwen presenteren we de resultaten aan de patiënt en we schrijven een brief aan de verwijzend tandarts dat het vervaardigen van een kroon nu kan geschieden zonder onaanvaardbare risico’s.
Vier jaar later: opspelende laesie
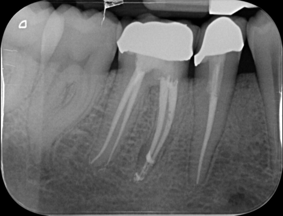
Vier jaar later bezoekt de patiënt wederom op verwijzing onze praktijk. Hij ondervindt wat ongemak van element 46 waar de tandarts 3 jaar geleden een kroon op heeft gemaakt. Bij kauwen is het element iets pijnlijk, iets wat hem sinds twee maanden opgevallen is. Afbeelding 5, 6 en 7 kunnen bevestigen wat de oorzaak is: Een opspelende laesie van endodontische origine (LEO) aan de mesio-buccale radix. Bittere teleurstelling aan onze zijde en een verdrietige patiënt.
Wat is de oorzaak en wat is eraan te doen? Meerdere verklaringen zijn mogelijk:
- Bacteriën veroorzaken de afweerreactie van het lichaam en de bacteriën vinden een vestigingsplaats in de kanalen. Er zou onvoldoende gereinigd kunnen zijn, waardoor er organische bestanddelen achterblijven die een dankbare voedingsbron zijn voor beestjes.
- Het kan zijn dat de obturatie niet 100% was, waardoor open ruimtes achterblijven waar bacteriën kunnen groeien.
- Het kan de anatomie zijn die we gemist hebben. 30% van deze elementen hebben een zogenaamde MidMesial.
Gelukkig komt het in onze praktijk niet zo vaak voor dat kanaalbehandelingen falen, zeker als wij de eerste behandelaar zijn. Wel zijn we ervan overtuigd dat we eerst de minst destructieve optie moeten omarmen in de vorm van een herbehandeling. Helaas zullen we daarvoor een toegang moeten maken door de nieuwe kroon heen. Toch geven we aan deze optie altijd de voorkeur boven een apexresectie. We gaan er in eerste instantie toch van uit dat we iets niet goed gedaan hebben.
Na anesthesie en rubberdam maken we de access (afbeelding 8 en 9). De zwarte plastic Thermafil carriers zijn duidelijk te zien. Na wat gutta verwijderd te hebben, blijft er op de isthmus iets guttapercha achter. Zou ik dan toch vier jaar geleden een MidMesial gemist hebben (afbeelding 10)? We richten onze inspanningen eerst op de midmesial. Een uur later geef ik het op. Ik durf ook niet verder af te dalen in het relatief smalste deel van de mesiale radix. Het gevaar op een perforatie wordt me te groot (afbeelding 11 en 12).
Afbeelding 8. Na anesthesie en rubberdam maken we de access.
Afbeelding 10. Het is mogelijk dat we 4 jaar geleden een MidMesial gemist hebben.
Afbeelding 11. Het gevaar op een perforatie wordt te groot.
Mesiobuccaal en mesiolinguaal ontdoen we de kanalen van de Thermafil-carrier en de achtergebleven guttapercha. Een glijbaan hadden we vier jaar geleden ook, dus dit deel van de behandeling blijft redelijk eenvoudig. Het is vooral belangrijk geduldig te blijven en net zo lang de oplosmiddelen voor guttapercha in te laten werken en te activeren dat de paperpoints die we gebruiken om de oplosmiddelen weer op te deppen er brandschoon uitkomen (afbeelding 13). Deze keer geen Thermafil, maar de Squirt-techniek waarbij we guttapercha direct in de kanalen spuiten (afbeelding 14 en 15).
Afbeelding 13. Het is belangrijk geduldig te blijven en de oplosmiddelen voor guttapercha in te laten werken en te activeren.
Afbeelding 14. Bij de Squirt-techniek wordt guttapercha direct in de kanalen gespoten.
De eindfoto’s zijn duidelijk: een iets vollere shape en wat nadrukkelijkere puffs. Fingers crossed! Over drie maanden weten we meer.
Tags:
PHILADELPHIA, VS – Uit onderzoek blijkt dat cariës de meest voorkomende en kostbare door biofilm veroorzaakte orale ziekte is. Fluoride is het ...
BioComp bestaat 25 jaar. Het jubileum is een mooi moment om de ontwikkeling van het bedrijf door de jaren heen onder de loep te nemen en te kijken hoe de ...
Na het prepareren en reinigen van het wortelkanaalsysteem volgt de obturatie. Deze fase van de endodontische behandeling is minstens zo belangrijk als de ...
Het verzegelen van wortelkanalen met een duurzaam materiaal dat hermetisch afsluit tegen bacteriën is een garantie voor een succesvolle endodontische ...
PELOTAS, Brazilië ‒ Volgens een recente scoping review worden wereldwijd steeds vaker vervalste nikkel-titanium (NiTi) endodontische vijlen aangeboden op...
Beroepsvereniging ANT viert dit jaar haar 25-jarig bestaan. Door de uitbraak van covid-19 wordt dit helaas gevierd zonder feestelijk lustrumcongres. Maar ...
Het kostte de voorselecteurs de nodige moeite om de acht genomineerden te kiezen voor de verkiezing Tandartspraktijk van het jaar 2018. Hierbij maken we ...
LONDEN, Engeland – In een consultatieperiode van twaalf weken wil de Britse regering nagaan wat men vindt van het voorstel op een verbod op de verkoop van...
UTRECHT – Binnenkort zal het enige wat nog over is van het lichaam van de in 1961 vermoorde premier van Congo, Patrice Lumumba, teruggegeven worden aan ...
Het congres Endodontische Complicaties is geheel gewijd aan zaken die een kanaalbehandeling lastig maken. Tandarts-endodontologen Marga Ree en Michiel de ...
Live webinar
do. 14 mei 2026
6:00 (CET) Amsterdam
Live webinar
do. 14 mei 2026
8:00 (CET) Amsterdam
Prof. Hani Ounsi DDS PhD FICD
Live webinar
di. 19 mei 2026
5:00 (CET) Amsterdam
Live webinar
di. 19 mei 2026
7:00 (CET) Amsterdam
Prof. Dr. med. dent. Ivo Krejci
Live webinar
wo. 20 mei 2026
1:00 (CET) Amsterdam
Dr. Graham Carmichael BDSc (Hons), DClinDent (Pros), FRACDS, Dr. Robert Gottlander DDS
Live webinar
wo. 20 mei 2026
3:00 (CET) Amsterdam
Live webinar
wo. 20 mei 2026
7:00 (CET) Amsterdam
Prof. Dr. med. dent. Tim Joda PhD, MSc, eMBA
Mooi ruim gedocumenteerd artikel.
Toch enige kanttekeningen.
Wat mij vooral opviel was de teleurstellende restauratieve begin situatie (46m+d en 45d).
Zeker in een verdere gave dentitie!
Heftige pijn in deze regio is zeker verklaarbaar.
Maar was er al sprake van een irreversibel proces?
Was goed restauratief ingrijpen op zowel 46 als 45 misschien al voldoende geweest?
Differentiaal diagnose pulpitis 45, (bij opname 5 is de 45 inderdaad ook endodontisch behandeld!)
Erg confronterend vond ik de, wederom, slechte approximale vormgeving na de endo’s op zowel 45+46
Met name de restauratie in de 45 is ruim onvoldoende, er is geen sprake van een anatomische vormgeving waardoor een perfecte bron voor voedselimpactie en ongemak is gecreëerd.
De kroon op de 45 lijkt hierdoor een “overtreatment”.
De beschrijving van de endodontische procedures, met bijbehorende foto’s is keurig verzorgd en daardoor inspirerend.