Dat moderne technieken en materialen niet altijd nodig zijn voor een goede langetermijnprognose bewijst deze casus, die ik drie jaar na mijn afstuderen behandelde, toen ik twee jaar als tandarts werkzaam was in mijn eigen praktijk.
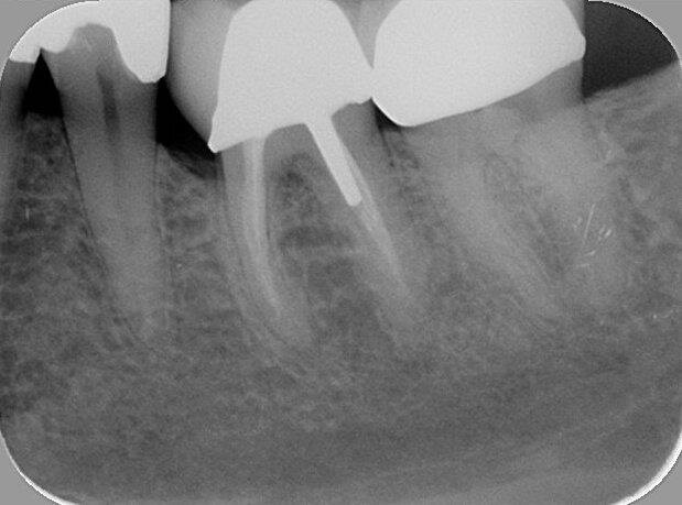
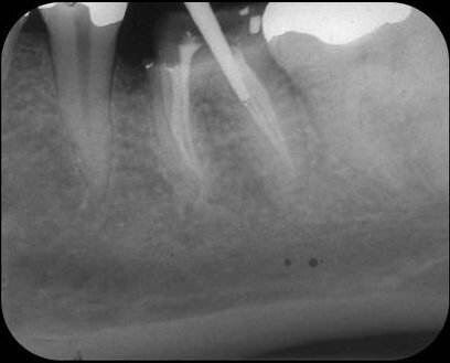
Een 23-jarige vrouw meldde zich bij mij in de praktijk met een pijnklacht aan de 36. Het element was sinds een paar dagen pijnlijk met koud, en intra-oraal onderzoek kon de klachten van de patiënt reproduceren. Röntgenologisch was een diepe amalgaamrestauratie met een para-pulpaire pin zichtbaar (afb. 1). De diagnose luidde een irreversibele pulpitis, en na het toedienen van lokale anesthesie werd het element onder rubberdam gebracht en werd een endo ingezet.
Tijdens het zoeken van de kanaalingangen met een ronde boor veroorzaakte ik een perforatie naar mesiaal (afb. 2), die zichtbaar werd nadat ik een lengtefoto had genomen, waarbij een vijl door de mesiale begrenzing van de mesiale radix stak.
Als jonge tandarts was ik volkomen ontdaan over deze iatrogene complicatie. Er waren in 1982 geen speciale cementen beschikbaar om een perforatie te sluiten, en dus besloot ik om het defect tijdelijk af te sluiten met amalgaam. De twee mesiale en twee distale kanalen werden met handvijlen geprepareerd, en de kanalen werden geïrrigeerd met 2,5% natriumhypochloriet. Daarna vulde ik de kanalen door middel van laterale condensatie met gutta-percha en AH26, waarbij in het distolinguale kanaal ruimte werd gemaakt voor een wortelstift (afb. 3). Volgens de toen geldende inzichten was een gegoten opbouw geïndiceerd alvorens er een volledige gouden kroon geplaatst zou worden.
Het plan was om de perforatie, die deels subcrestaal lag, op te nemen in de outline van de kroon (afb. 4). In een daaropvolgende zitting deed ik aan de mesiale zijde van de 36 een kroonverlenging, met als doel om het perforatieoppervlak supracrestaal te brengen, en zo beter toegankelijk te maken voor een volledige omslijping met een schouderbevelpreparatie. De wondgenezing verliep ongestoord en de patiënt kreeg instructie over de interdentale reiniging van het behandelde gebied. Een maand later werd met behulp van een edelmetalen wortelstift (afb. 5) een Duralay opbouw gemaakt, die vervolgens werd aangegoten tot een edelmetalen stiftopbouw en geplaatst werd met zinkfosfaat cement. Weer drie weken later werd de volledige gouden kroon gecementeerd met zinkfosfaat cement (afb. 6). De patiënt kon de interdentale ruimte uitstekend schoonhouden met ragers.
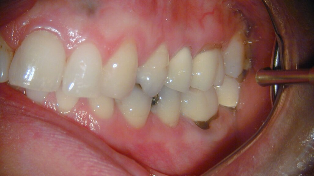
Twintig jaar later wilde de patiënt de gouden kroon laten vervangen door een goud-porseleinkroon. De wortelkanaalbehandeling en de gegoten opbouw werden hierbij opnieuw geëvalueerd, en goed bevonden als basis voor een nieuwe kroon (afb. 7).
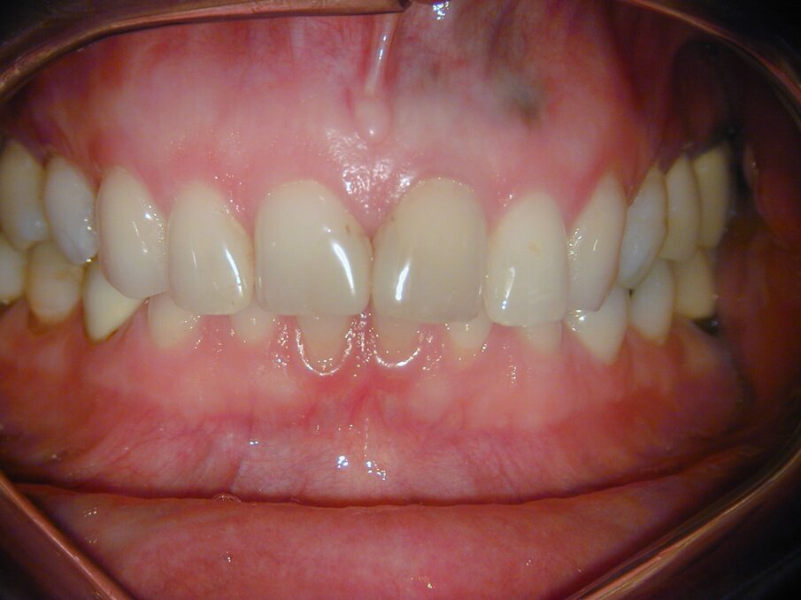
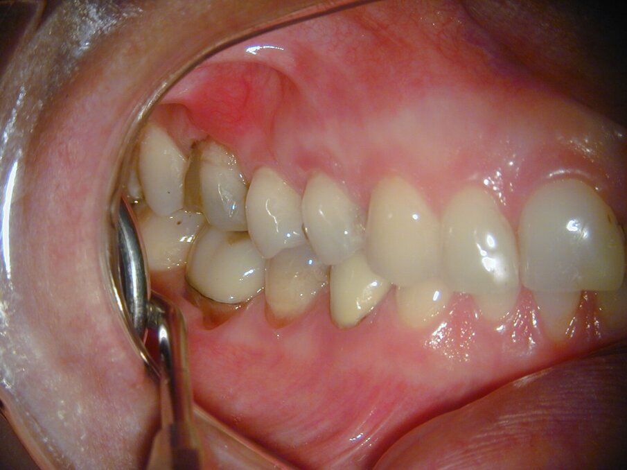
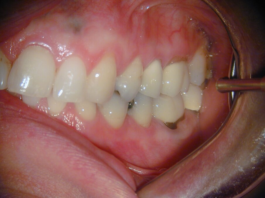
De laatste röntgenfoto en klinische foto’s laten een 37-jarige follow-up zien, waarbij op te merken valt dat ook de amalgaam vullingen 37 jaar geleden werden gelegd (afb. 8-11). De patiënt is volledig klachtenvrij en nog steeds tevreden met het tandheelkundige werk in haar mond.
Afb. 1: Bitewing van het tweede en derde kwadrant
Afb. 2: Lengtefoto van de mesiale kanalen, waarbij een handvijl in de perforatie steekt
Afb. 3: Kanaalvulling aanbracht en perforatie afgesloten met amalgaam
Afb. 4: Bitewing waarop lokalisatie en omvang van de perforatie zichtbaar zijn
Afb. 5: Edelmetalen stift in het distolinguale kanaal
Afb. 6: Volledige gouden kroon geplaatst op de 36
Afb. 7: Gouden kroon vervangen door goud-porseleinkroon, 20-jarige follow-up van de wortelkanaalbehandeling
Afb. 8: Röntgenfoto van de 37-jarige follow-up van de 36
Afb. 9-11: Klinische foto’s van de 37-jarige follow-up
Afb. 9-11: Klinische foto’s van de 37-jarige follow-up
Afb. 9-11: Klinische foto’s van de 37-jarige follow-up
Tags:
Behandel en voorkom een slechte adem met CB12. Kom langs op de stand van CB12 en ontvang een gratis toilettasje met CB12 Boost Kauwgom. Handig om zelf te ...
Als zzp’er in loondienst gaan, is een scenario dat binnen onze beroepsgroep de laatste tijd weer vaker op tafel ligt. Daarbij staan we voor een lastige ...
Halverwege het interview realiseert endodontoloog Marga Ree uit Purmerend zich opeens dat ze die week veertig jaar geleden haar tandartsdiploma in ontvangst...
UTRECHT – Wanneer een patiënt zijn eigen belangen niet kan behartigen, bijvoorbeeld vanwege een psychiatrische aandoening, kan een vertegenwoordiger ...
De Classic series I van Blueair biedt tandartsen en andere praktijken de oplossing voor beperkte geventileerde ruimtes.
In dit artikel beschrijft prof. dr. ir. Jef van der Zel het ontwikkelpad van chipresistente, natuurlijk gelaagde Primero-kronen en -bruggen op basis van ...
Tijdens het eerste bezoek werd bij een 51-jarige patiënte bij rontgen- (afb. 1) en mondonderzoek een matige randaansluiting van de restauraties in de ...
DRACHTEN ‒ In een mondzorgpraktijk moeten dagelijks heel veel taken en taakjes gedaan worden. Wie doet wat en wie heeft aan het einde van dag nog het ...
Praktijken hebben steeds meer stoelen, meer behandelaars en een groter team. Daarmee lukt het om de zorgverlening te differentiëren en meer aandacht te ...
“Ik zal de geneeskundige kennis van mijzelf en anderen bevorderen. Ik zal mij open en toetsbaar opstellen, en ik ken mijn verantwoordelijkheid voor de ...
Live webinar
do. 14 mei 2026
6:00 (CET) Amsterdam
Live webinar
do. 14 mei 2026
8:00 (CET) Amsterdam
Prof. Hani Ounsi DDS PhD FICD
Live webinar
di. 19 mei 2026
5:00 (CET) Amsterdam
Live webinar
di. 19 mei 2026
7:00 (CET) Amsterdam
Prof. Dr. med. dent. Ivo Krejci
Live webinar
wo. 20 mei 2026
1:00 (CET) Amsterdam
Dr. Graham Carmichael BDSc (Hons), DClinDent (Pros), FRACDS, Dr. Robert Gottlander DDS
Live webinar
wo. 20 mei 2026
3:00 (CET) Amsterdam
Live webinar
wo. 20 mei 2026
7:00 (CET) Amsterdam
Prof. Dr. med. dent. Tim Joda PhD, MSc, eMBA
To post a reply please login or register