De Belgische kindertandarts Thierry Boulanger paste dertig jaar lang regelmatig narcose toe bij kinderen, tot hij in aanraking kwam met niet-restauratieve caviteitsbehandeling (NRCT). Narcose is hierdoor vaak overbodig. In vijf verschillende casussen laat hij zien hoe je met prioritering van causale therapie de focus verlegt van reparatie naar gebitsgezondheid en wat dat oplevert voor kinderen, ouders én hemzelf als tandarts.
Mondzorg bij jeugdigen: ruimte voor early adopters
Het is een legitieme vraag wat de bedoeling is van de (kinder)tandheelkunde: cariësactieve kinderen afleveren met veel vullingen en extracties of cariës-inactieve kinderen afleveren die goed voor hun gebit zorgen?
Zoals bij elke paradigmaverschuiving heb je early adopters, de kwartiermakers, late en zeer late adopters die vertrouwen op de onjuiste zekerheden geleerd tijdens de studie. De early adopters kunnen een weg inslaan die aanvankelijk niet het gewenste resultaat levert, maar leren hiervan, sturen bij en geven niet op tot hun doel is bereikt. In deze serie willen we early adopters die in het managen van cariës een hoger doel zien dan in het routinematig restaureren aan het woord laten. Ze zullen vertellen over hun aanpak in de praktijk. We wensen u veel leesplezier, maar ook veel stof om over na te denken, te assimileren en te adopteren.
Bent u een early adopter, spreekt dit initiatief u aan en wilt u een casus delen met collega’s? Meldt u zich dan bij de initiatiefnemers en/of de redactie van Dental Tribune via redactie@dental-tribune.nl. De gevraagde bijdrage betreft vooral casuïstiek (600-700 woorden) en ondersteunend beeldmateriaal.
Cor van Loveren
James Huddleston Slater sr.
Jo Frencken
René Gruythuysen
Sinds 1984 ben ik actief als tandarts en sinds 1988 ook als tandarts-pedodontoloog in mijn praktijk te Andrimont en daarnaast in Le Centre Hospitalier de la Citadelle te Luik. Lang heb ik zoals veel collega’s de traditionele complete restauratieve zorg toegepast. Daarbij hoorde het veelvuldig toepassen van narcose.
Het boekje ‘Niet-Restauratieve Caviteitsbehandeling’ dat verscheen in 2012 bij AccreDidact wekte mijn nieuwsgierigheid en ik zag mogelijkheden om het NRCT-concept in praktijk te brengen (afb. 1). Van motivational interviewing wist ik nog weinig. Maar het is van essentieel belang om hier aan te werken, heb ik moeten ervaren. Ik raakte bevriend met René Gruythuysen en later met Lina Jasulaityte en we wisselden veel info met elkaar uit. Contacten met Amerikaanse collega’s brachten mij op het spoor van de mogelijkheden van zilverproducten zoals zilverdiaminefluoride (SDF). De indicatie ‘NRCT’ kon hierdoor drastisch worden uitgebreid. Als noodgrepen waren bovendien ART en Hall-kronen beschikbaar zonder dat hiervoor narcose nodig was.
De noodzaak om narcose toe te passen nam hierdoor drastisch af. Steeds vaker ben ik bij verwijzingen voor narcose overgegaan tot causale behandeling, daar waar nodig aangevuld met kindvriendelijke symptoombestrijding waarbij anesthesie geven tot het verleden behoort. Bij jonge kinderen is het front vaak aangetast. Bij behandelingen onder algehele anesthesie heb ik daarbij in het verleden veel keramische kroontjes toegepast, maar daar ben ik van afgestapt. De nadruk ligt nu op goede mondhygiëne en verantwoorde voeding. Esthetische behandelingen doe ik nu uitsluitend op verzoek van het kind als de mondverzorging op orde is en het kind de behandeling aankan. Een reden kan zijn dat het kind gepest wordt en dat is lang niet altijd het geval. Ook de indicatie pulpotomie stel ik veel minder vaak op basis van de literatuur.
Bij onderstaande casussen koos ik voor prioritering van causale therapie ondanks doorverwijzing voor een narcosebehandeling.
Zilvernitraat in het melkfront
Een kind van 4 jaar werd verwezen voor behandeling onder narcose (afb. 2a). Er was geen reden voor restauratie. Poetstraining met fluoridevernis waren misschien voldoende geweest, maar ik twijfelde hier sterk aan het vermogen van de ouders om dit snel onder de knie te krijgen. Daarom besloot ik SDF toe te passen.
Zilvernitraat kan het (tijdelijke) onvermogen van ouders om adequaat te poetsen compenseren. Hoewel de mondhygiëne bij evaluatie na 2 maanden onvoldoende was, bleek zilvernitraat ondertussen een cariostatische werking te hebben (afb. 2b).
In deze tijden van veronderstelde absolute noodzaak van esthetiek, ben ik verheugd te merken dat, mits zorgvuldig uitgelegd, ouders niet-esthetische procedures accepteren, zoals roestvrijstalen kronen en het zwart kleurende zilvernitraat in het voordeel van de kinderen.
Veel ouders zijn erg dankbaar als ik een alternatieve behandeling voorstel voor narcose of invasieve procedures, ook al zijn ze esthetisch minder fraai.
Als de mondverzorging op orde is kan alsnog tot adhesieve restauratie worden overgegaan zonder zelfs lokale anesthesie toe te passen (afb. 3). Bij dit kind dat ook verwezen was voor narcose is onder andere gebruik gemaakt van een opaquer om de verkleuring door zilvernitraat te maskeren. Het resultaat na twee jaar is niet perfect, maar volledig naar tevredenheid van moeder en kind. Die waren blij dat narcose niet nodig was. De centrale melkincisieven staan al wat losser vanwege de aanstaande wisseling.
Leermoment
- Restauratieve behandeling in het melkfront is zelden nodig omdat meestal volstaan kan worden met poetstraining en fluoridevernis.
- Als toch op goede gronden voor restauratie wordt gekozen kan deze plaatsvinden met eenvoudige adhesieve middelen zonder gebruik te maken van welke vorm van anesthesie dan ook.
Casus kaasmolaar in de tijdelijke dentitie
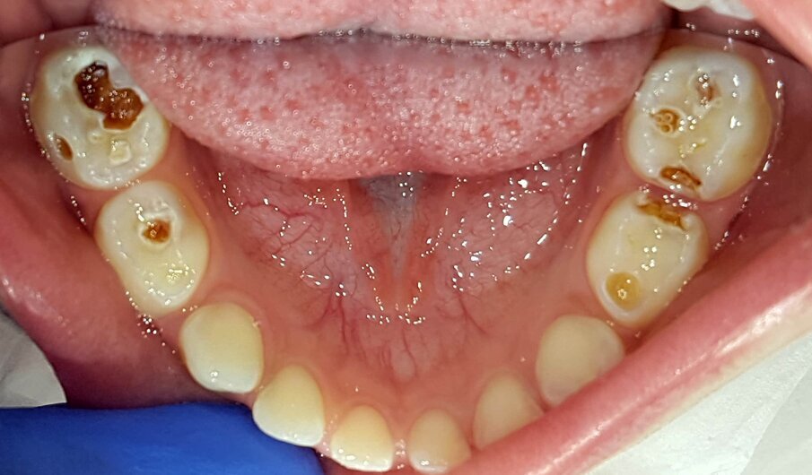
Een jong kind werd in 2016 verwezen voor behandeling met een kroon onder narcose van de 55. Ik zag daar geen reden toe en behandelde de molaar volgens de ART-methode. Bij een ander kind met dezelfde indicatie paste ik SMART toe: SDF in combinatie met ART. Bij evaluatie na 3 jaar was het resultaat bij beiden bevredigend (afb. 4a-b).
De SMART-methode heb ik ook bij een meisje van tweeënhalf jaar uit de VS toegepast. Diagnose: amelogenesis imperfecta. De klacht: hypersensitiviteit en cariës. In de VS luidde de indicatie: 20 kronen plaatsen onder narcose. In plaats van de behandeling met kronen werden zonder narcose bij het kind in twee zittingen behandelingen uitgevoerd met de SMART-methode. Dat was afdoende om de klachten te bestrijden. Een paar maanden later stuurden de ouders uit de VS het bericht dat het goed ging met hun kind. De laag glasionomeercement was ook nog aanwezig. Na 27 maanden zag ik het kind weer. Zij was klachtenvrij. De coating met glasionomeercement was geheel of gedeeltelijk verloren gegaan, maar de laesies zijn stabiel en restauratieve herbehandeling is vooralsnog overbodig (afb. 5a-b).
Casus omslag in cariësbehandeling
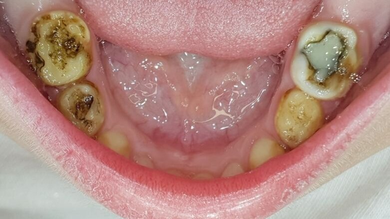
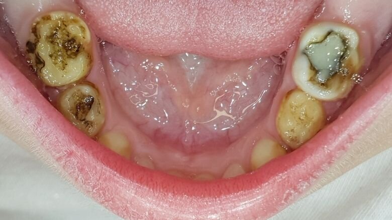
Een kind van vierenhalf jaar met multi-cariës werd verwezen voor behandeling onder narcose (afb. 6a-e). Klacht: lichte gevoeligheid .
Bij deze eerste sessie trainde ik het poetsen, opende ik de laesies voorzichtig en behandelde de laesies met SDF. Bij het monitoren zal blijken of er aanvullende behandelingen nodig zijn zoals herhalen SDF, SMART, Hall-kroon of lokaal een conventionele behandeling.
Het kind ging glimlachend weg. De ‘brandhaard’ in haar mond was gedoofd. Er bestaan inmiddels zoveel kindvriendelijke mogelijkheden om tanden vitaal te houden, waarom zouden we die afwijzen?Het lijkt me dat deze benadering zoveel logischer is dan wat ik de in voorafgaande dertig jaar deed. Ook bij patiënten met een handicap pas ik narcose veel minder vaak toe dan in het verleden.
Het is mooi dat in Nederland de nieuwe richtlijn Mondzorg voor Jeugdigen preventie en behandeling van cariës de nadruk legt op prioritering van een etiologische behandeling en ik hieraan kon bijdragen met door mij aangeleverde casuïstiek.
Leermomenten
- Ik weet dat er veel collega’s zijn die er moeite mee hebben om van de traditionele zorg af te stappen, maar wat is mooier dan kinderen een meer kindvriendelijk perspectief te bieden en te focussen op gebitsgezondheid in plaats van op reparatie.
- Als je de stap naar het remmen van het cariësproces door steun aan ouders en kinderen te geven eenmaal hebt gezet is wat je ervoor terugkrijgt van de kinderen en ouders een welkom geschenk. Dat besef ik des te meer sinds ik zes kleinkinderen heb (afb. 7).
Afbeelding 1. NRCT toegepast bij zeer angstig kind.
Afbeelding 2a. Zeer cariësactieve laesies.
Afbeelding 2b. Zilvernitraat had een cariësremmend effect ondanks de aanwezigheid van plaque.
Afbeelding 3. Maskering naar tevredenheid door adhesieve behandeling van de zwarte verkleuring na twee jaar zonder toepassing van anesthesie.
Afbeelding 4a. Resultaat ART in plaats van narcosebehandeling na drie jaar.
Afbeelding 4b. Resultaat SMART-methode in plaats van narcosebehandeling na drie jaar.
Afbeelding 5a. Diverse SMART-restauraties na 27 maanden verloren gegaan, maar de laesies zijn geïnactiveerd; reparatie daarom niet nodig.
Afbeelding 5b. Diverse SMART-restauraties na 27 maanden verloren gegaan, maar de laesies zijn geïnactiveerd; reparatie daarom niet nodig.
Afbeelding 6a. Multi-cariës bij intake.
Afbeelding 6b. Multi-cariës bij intake.
Afbeelding 6c. Multi-cariës bij intake.
Afbeelding 6d. Cariëslaesies vrijgelegd en SDF aangebracht. Evaluaties van de zelfzorg bepalen de balans tussen causale therapie en symptoombestrijding.
Afbeelding 6e. Cariëslaesies vrijgelegd en SDF aangebracht. Evaluaties van de zelfzorg bepalen de balans tussen causale therapie en symptoombestrijding.
Afbeelding 7. Ik hoop dat ik de goede antwoorden kan geven op de vragen van mijn kleinkinderen over de behandeling van Early Childhood Caries.
Referenties
- Duffin S, Juhl J, Schwab J, Duffin M. SMART Oral Health: the medical management of caries.
- Gruythuysen RJM. Kindvriendelijke mondzorg. Houten: Accredidact; 2018/4.
- Gruythuysen RJM, Maarel-Wierink CD van der, Jasulaityte L. Problematische mondzorg bij zorgafhankelijke patiënten. Houten: Accredidact, 2019.
Tags:
De afgelopen maanden was in algemene media veel aandacht voor de slechte staat van veel Nederlandse kindergebitten. Vaak gevolgd door de opmerking dat ...
SAMSUN, TURKIJE – Jonge kinderen die blootgesteld worden aan sigarettenrook door ‘meeroken’ vertonen een langzamere gebitsontwikkeling dan...
KARNATAKA, INDIA – De vernauwde luchtweg van kinderen met astma is van invloed op hun dento-alveolaire morfologie. Als gevolg van mondademen is bij ...
NIJMEGEN – ‘Elk kind kost je een tand’. Het is een veelgehoord bakerpraatje, maar wetenschappers hebben nu daadwerkelijk een verband ontdekt tussen ...
JERUZALEM, ISRAËL – De prevalentie van dental developmental anomalies (DDA) bij kinderen die kanker gehad hebben verschilt door het type ...
CAMBRIDGE, VS – Specifieke biomarkers uit speeksel van kinderen kunnen gebruikt worden om het risico op diabetes mellitus type II te bepalen. ...
HOUTEN – De niet-restauratieve caviteitsbehandeling (NRC) is een aanbevelenswaardige strategie bij kinderen met cariës. Dat blijkt uit de nieuwe ...
KOPENHAGEN, DENEMARKEN – Traumatisch tandletsel aan het melkgebit, met name luxaties zoals intrusie, avulsie, laterale luxatie en subluxatie, leidt tot ...
GÖTEBORG, ZWEDEN – Ondanks dat mondzorg voor kinderen en jongvolwassenen al jarenlang gratis is in Zweden, toont onderzoek aan dat er grote verschillen ...
BALTIMORE – Het is algemeen bekend dat het onbeperkt consumeren van zure drankjes, zoals vruchtensap en frisdrank, een belangrijke oorzaak is van ...
Live webinar
do. 14 mei 2026
6:00 (CET) Amsterdam
Live webinar
do. 14 mei 2026
8:00 (CET) Amsterdam
Prof. Hani Ounsi DDS PhD FICD
Live webinar
di. 19 mei 2026
5:00 (CET) Amsterdam
Live webinar
di. 19 mei 2026
7:00 (CET) Amsterdam
Prof. Dr. med. dent. Ivo Krejci
Live webinar
wo. 20 mei 2026
1:00 (CET) Amsterdam
Dr. Graham Carmichael BDSc (Hons), DClinDent (Pros), FRACDS, Dr. Robert Gottlander DDS
Live webinar
wo. 20 mei 2026
3:00 (CET) Amsterdam
Live webinar
wo. 20 mei 2026
7:00 (CET) Amsterdam
Prof. Dr. med. dent. Tim Joda PhD, MSc, eMBA
To post a reply please login or register