In onze praktijk Tandzorg.nl te Rotterdam hebben we in 2011 onder begeleiding een omslag gemaakt naar niet-restauratieve caviteitsbehandeling (NRC) bij kinderen. Natuurlijk moesten er weerstanden worden overwonnen bij de praktijkmedewerkers en bij de ouders van de kinderen. Zij waren immers gewend dat gaatjes bijna automatisch worden gevuld. Gaandeweg werd de acceptatie voor een niet-restauratieve behandeling beter. Er werden allerlei initiatieven ontplooid, zoals het ontwerpen van een monitorsysteem, het maken van video-opnamen voor de evaluatie van de behandeling met betrekking tot de communicatie, casuïstiekbesprekingen, zoeken naar de beste opties voor het maken van klinische afbeeldingen en het introduceren van toepassing van zilverdiaminefluoride.
Dit artikel valt binnen de reeks klinische artikelen innovatie in de preventie. In deze serie komen early adopters die in het managen van cariës een hoger doel zien dan in het routinematig restaureren aan het woord. Ze vertellen over hun aanpak in de praktijk. We wensen u veel leesplezier, maar ook veel stof om over na te denken, te assimileren en te adopteren.
Een groot probleem bij het ontwikkelen van deze methode in onze praktijk was de vaak wisselende samenstelling van het kinderteam bestaande uit een tandarts en/of mondhygiënist en tandartsassistent. Net als een groep de aanpak onder de knie begon te krijgen kwam er een kink in de kabel door ziekte, zwangerschapsverlof, vertrek uit de praktijk of ontslag. Daardoor is veel van de geïnvesteerde energie verloren gegaan. We zijn inmiddels toe aan de vijfde poging om de gewenste behandelstrategie vorm te geven. Drie mondhygiënisten die de online AccreDidactcursus ‘Kindvriendelijke mondzorg’ hebben gevolgd, willen met veel enthousiasme wat ze geleerd hebben in praktijk gaan brengen. Ze hebben inmiddels ook de online AccreDidactcursus ‘Problematische mondzorg bij zorgafhankelijke patiënten’ gevolgd. Die cursus heeft betrekking op een categorie patiënten van alle leeftijden, maar in ieder geval ook op alle kinderen. Maar recent is een van de drie mondhygiënisten alweer vertrokken en één met zwangerschapsverlof. Hierdoor loopt het project opnieuw enige vertraging op. Maar we houden de moed erin.
Een ander probleem vormt de honorering voor een verrichting als de code M05. Die is niet in het basispakket opgenomen en dat betekent dat de behandeling niet wordt vergoed, hetgeen voor de minst draagkrachtigen, de meest kwetsbare groep, een probleem kan zijn. Vreemd genoeg zijn de zorgverzekeraars wel bereid vaak lange behandelingen onder algehele anesthesie voor deze kinderen te vergoeden, terwijl deze duur is en aan de doelmatigheid op zijn minst zeer vaak getwijfeld moet worden.
Ondanks de beren die wij op onze weg tegenkomen, willen wij zoeken naar wegen om het belang van het kind voorrang te geven in het streven naar verbetering van de mondgezondheid: het is een kwestie van volhouden!
Casus ‘NRC zonder problemen’
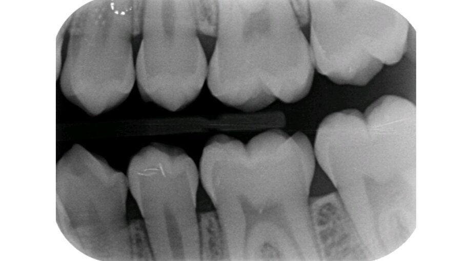
Het eerste kind waarbij wij NRC toepasten was 6 jaar. Op de bitewings werden cariëslaesies bij alle vlakken van de aangrenzende melkmolaren gediagnosticeerd. Met de ouders werd besproken wat onze plannen waren. Zij gingen hiermee akkoord. In de volgende zitting werden de 8 vlakken beslepen (afbeelding 1a-b). De behandeling verliep probleemloos en werd goed geaccepteerd. Maar in het vervolgtraject hebben we steken laten vallen. De voorlichtende communicatie gebeurde hoofdzakelijk traditioneel. De terugkomtermijn besloeg een paar keer achter elkaar een interval van bijna een jaar. Daar verander je geen gedrag mee. De verslaggeving ontbrak een aantal keren. Bijna 6 jaar later werd geconstateerd dat er veel plaque aanwezig was. De wisseling had inmiddels plaatsgevonden. Restauratief of chirurgisch ingrijpen is sinds NRC werd toegepast niet nodig geweest en de bitewings vertonen geen cariësactiviteit (afbeelding 2a-b). Ook waren geen sealants noodzakelijk geweest.
Afbeelding 1a. Beslepen melkmolaren in de bovenkaak (NB het verdient aanbeveling de distale vlakken schuiner te beslijpen dan de mesiale vlakken in verband met de toegankelijkheid voor de tandenborstel).
Afbeelding 1b. Beslepen melkmolaren in de bovenkaak (NB het verdient aanbeveling de distale vlakken schuiner te beslijpen dan de mesiale vlakken in verband met de toegankelijkheid voor de tandenborstel).
Afbeelding 2a. Bitewings van de blijvende dentitie.
Afbeelding 2b. Bitewings van de blijvende dentitie.
Leermomenten
- Ook al wordt NRC niet uitgevoerd volgens het 5-punten-concept, dan hoeft de behandeling niet per definitie te mislukken, zelfs niet als geen zilverdiaminefluoride wordt toegepast.
- Het is van belang in de praktijk protocollair te werk te gaan bij toepassing van causale therapie (accent op verbetering mondgedrag) om het succes te borgen en de risico’s op pijn en ontsteking te beperken.
Casus ‘Indicatie behandeling onder algehele anesthesie onterecht’
Een paar keer is het voorgekomen dat onze NRC-begeleider door een ouder werd benaderd met de vraag of hij een praktijk kende waar NRC werd toegepast. Elders was dan bij een pedodontologiepraktijk met narcosefaciliteiten de indicatie ‘behandeling onder algehele anesthesie’ gesteld. De ouders wilden ondanks de druk die op hen werd uitgeoefend deze behandeling vermijden. Zo kwamen ze in onze praktijk terecht.
Een meisje was net 4 jaar voordat ze naar onze praktijk kwam. Er waren diverse caviteiten in het melkgebit aanwezig, maar NRC was volgens ons mogelijk en we zijn ertoe overgegaan. Helaas bleef het meisje cariësactief en het is ons niet gelukt om het cariësproces volledig te stoppen. Wel weten we dat de moeder tegen fluoride is en daar wil ze niet veel over kwijt. De voeding is ook een punt van discussie: veel fruit en honing in de thee.
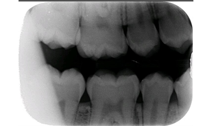
Er wordt bij periodiek mondonderzoek weinig plaque aangetroffen. Sommige laesies zijn inactief en andere worden of blijven actief (afbeelding 3a-c). De 75 werd na een half jaar van een Atraumatic Restorative Treatment (ART)-restauratie voorzien wegens gevoeligheid. Na 2 jaar trad ’s nachts pijn op aan de 64, maar deze verdween weer. Achteraf was het beter geweest als de 64 ook met ART was gerestaureerd (afbeelding 4a-b). Moeder is tevreden over de behandeling na 4 jaar, maar wij zullen nog beter ons best doen om meer zicht te krijgen op de mondverzorging thuis en daar de behandeling op afstemmen. Hoe dan ook, een narcosebehandeling is deze jonge patiënte gelukkig bespaard gebleven.
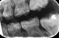
Afbeelding 3a. Cariëslaesies onderkaak rechts.
Afbeelding 3b. Cariëslaesies ruim half jaar later stabiel.
Afbeelding 3c. Cariëslaesie 64 na een half jaar nog actief.
Afbeelding 4a. Bitewings na 3 jaar. Laesie 74 distaal wordt beslepen.
Afbeelding 4b. Bitewings na 3 jaar. Laesie 74 distaal wordt beslepen.
Een ander meisje (6 jaar) kwam op dezelfde wijze in onze praktijk terecht. Ook deze ouders weigerden behandeling onder narcose. Er waren in de pedodontologiepraktijk bitewings gemaakt en ook een weinig fraaie panoramische opname, waarvan ons het nut ontging (afbeelding 5a-b). Wij gingen over tot NRC en het appliceren van zilverdiaminefluoride. Daarnaast werd aandacht aan de suikerrijke voeding besteed. De behandeling was effectief, de laesies stabiliseerden en ruim anderhalf jaar later moest alleen de 65 nog iets worden bijgeslepen wegens toenemende cariësactiviteit. Kort daarna verliet het meisje de praktijk wegens verhuizing naar Saoedi-Arabië.
Leermomenten
- Verwijzing naar een tandarts-pedodontoloog is niet per definitie in het belang van een kind en vergroot het risico op het maken van onnodige kosten.
- Narcose kan vaak vermeden worden. We streven naar prioritering van causale behandeling (zie concept Richtlijn KIMO) en ouders die trots kunnen zijn op de mondgezondheid die zij zelf hebben bereikt bij hun kind.
- De causale benadering stelt heel andere eisen aan de zorgverlener en de praktijk dan we gewend zijn. Het zoeken naar de juiste balans tussen causale en symptomatische therapie is essentieel.
- Het belang van het kind vraagt om een adequate honorering van prioritering van causale behandeling.
Over de auteur
Dick Smit is tandarts en praktijkhouder van Tandzorg.nl te Rotterdam, een praktijk met tien behandelkamers, een geavanceerde afdeling mondhygiëne, angstbegeleiding, cosmetische behandelingen, tandtechnisch laboratorium, voedingsdeskundige en de mogelijkheid tot kaakchirurgische behandelingen.
Referenties
-
- Gruythuysen R. Kindvriendelijke mondzorg. Houten: Accredidact; 2018/4.
- Gruythuysen RJM, Maarel-Wierink CD van der, Jasulaityte L. Problematische mondzorg bij zorgafhankelijke patiënten. Houten: Accredidact, 2019.
Bent u early adopter, spreekt dit initiatief u aan en wilt u een casus delen met collega’s? Meldt u zich dan bij de redactie van
Dental Tribune via
redactie@dental-tribune.nl.
Tags:
Mondzorg moet niet in de basisverzekering. Het aantal mondhygiënisten moet omhoog. En het experiment tijdelijke zelfstandige bevoegdheid voor de ...
NEW YORK - Onderzoek wijst uit dat dentale stamcellen mogelijk gebruikt kunnen worden bij de regeneratie van mondweefsel. Maar ook vernieuwing van ander ...
Grotere praktijken, meer tandarts-specialisten onder één dak en veel meer vrouwelijke tandartsen. Maar bovenal een grote rol voor ...
Een belangrijke zwakte van onze zorg is de focus op ziekte en het verlenen van zorg, schrijft VWS in de discussienota Zorg voor de Toekomst. Geldt dit ook ...
BRUSSEL, BELGIË – Uit een nieuwe analyse van de European Federation of Periodontology (EFP) blijkt dat preventie van parodontitis leidt tot toename van ...
UTRECHT – Het Ivoren Kruis stelde zijn voorjaarscongres, dat 20 april gehouden werd in de Jaarbeurs te Utrecht, in het teken van Gewoon Gaaf. Deze ...
Als zzp’er in loondienst gaan, is een scenario dat binnen onze beroepsgroep de laatste tijd weer vaker op tafel ligt. Daarbij staan we voor een lastige ...
LONDEN, VK Eerder dit jaar bevestigden onderzoekers van de Universiteit van Sheffield dat tandheelkundige patiënten met een hoog risico op infectieuze ...
Hebben we in Nederland te maken met een ‘vergeten’ groep in de mondzorg? Mensen die zelf niet (meer) goed hun mond kunnen onderhouden en jaren niet naar...
- Visies op taakherschikking in de Nederlandse mondzorg (2) -
De afgelopen tien jaar adviseerden diverse commissies een verregaande taakherschikking in de...
Live webinar
do. 14 mei 2026
6:00 (CET) Amsterdam
Live webinar
do. 14 mei 2026
8:00 (CET) Amsterdam
Prof. Hani Ounsi DDS PhD FICD
Live webinar
di. 19 mei 2026
5:00 (CET) Amsterdam
Live webinar
di. 19 mei 2026
7:00 (CET) Amsterdam
Prof. Dr. med. dent. Ivo Krejci
Live webinar
wo. 20 mei 2026
1:00 (CET) Amsterdam
Dr. Graham Carmichael BDSc (Hons), DClinDent (Pros), FRACDS, Dr. Robert Gottlander DDS
Live webinar
wo. 20 mei 2026
3:00 (CET) Amsterdam
Live webinar
wo. 20 mei 2026
7:00 (CET) Amsterdam
Prof. Dr. med. dent. Tim Joda PhD, MSc, eMBA
To post a reply please login or register